Shopping Cart
Remove All
Your shopping cart is currently empty
Anti-Tyrosine Hydroxylase Antibody (9P45) is a Rabbit antibody targeting Tyrosine Hydroxylase. Anti-Tyrosine Hydroxylase Antibody (9P45) can be used in FCM,ICC,IHC,WB.
| Pack Size | Price | USA Warehouse | Global Warehouse | Quantity |
|---|---|---|---|---|
| 50 μL | $297 | 7-10 days | 7-10 days | |
| 100 μL | $498 | 7-10 days | 7-10 days |
| Description | Anti-Tyrosine Hydroxylase Antibody (9P45) is a Rabbit antibody targeting Tyrosine Hydroxylase. Anti-Tyrosine Hydroxylase Antibody (9P45) can be used in FCM,ICC,IHC,WB. |
| Synonyms | tyrosine hydroxylase |
| Ig Type | IgG |
| Clone | 9P45 |
| Reactivity | Human,Mouse,Rat |
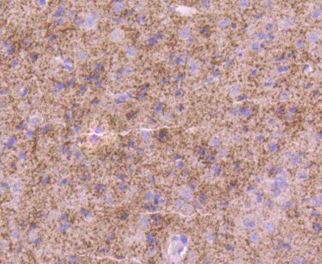
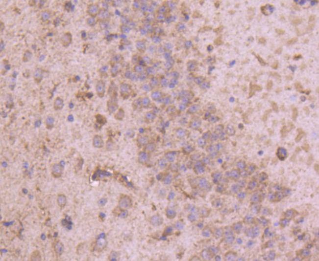
| Verified Activity | 1. Western blot analysis of Tyrosine Hydroxylase on different lysates using anti-Tyrosine Hydroxylase antibody at 1/50,000 dilution. Positive control: Lane 1: PC-12, Lane 2: Mouse brain. 2. Immunohistochemical analysis of paraffin-embedded rat brain tissue using anti-Tyrosine Hydroxylase antibody. Counter stained with hematoxylin. 3. Immunohistochemical analysis of paraffin-embedded mouse brain tissue using anti-Tyrosine Hydroxylase antibody. Counter stained with hematoxylin. 4. ICC staining Tyrosine Hydroxylase in N2A cells (green). The nuclear counter stain is DAPI (blue). Cells were fixed in paraformaldehyde, permeabilised with 0.25% Triton X100/PBS. 5. ICC staining Tyrosine Hydroxylase in SH-SY-5Y cells (green). The nuclear counter stain is DAPI (blue). Cells were fixed in paraformaldehyde, permeabilised with 0.25% Triton X100/PBS. 6. Flow cytometric analysis of SH-SY-5Y cells with Tyrosine Hydroxylase antibody at 1/50 dilution (red) compared with an unlabelled control (cells without incubation with primary antibody; black). Alexa Fluor 488-conjugated goat anti rabbit IgG was use as the secondary antibody. ![]() ![]() ![]() ![]() ![]() ![]() |
| Application | |
| Recommended Dose | WB: 1:50000-100000; IHC: 1:50-200; ICC: 1:100-500; FCM: 1:50-100 |
| Antibody Type | Monoclonal |
| Host Species | Rabbit |
| Construction | Recombinant Antibody |
| Purification | ProA affinity purified |
| Appearance | Liquid |
| Formulation | 1*TBS (pH7.4), 1%BSA, 40%Glycerol. Preservative: 0.05% Sodium Azide. |
| Research Background | The enzyme tyrosine hydroxylase (TH), also designated tyrosine 3-monooxygenase (TY3H), catalyzes the conversion of tyrosine to L-dopa, which is the rate limiting step in the biosynthesis of catecholamines such as dopamine, adrenalin and noradrenalin. TH is thought to play a role in the pathogenesis of Parkinson??s disease, which is associated with reduced dopamine levels. Two transcription factor binding sites in the proximal region of the TH gene, the TPA-responsive element (TRE) and the c-AMP responsive element (CRE), have been implicated in the complex regulation of the TH gene. TH is also known to be upregulated by the glia maturation factor (GMF), a Cdc 10/SWI6 motif-containing protein called V-1, and a variety of additional compounds. |
| Conjucates | Unconjugated |
| Immunogen | Recombinant Protein |
| Uniprot ID |
| Molecular Weight | Theoretical: 59 kDa. |
| Stability & Storage | Store at -20°C or -80°C for 12 months. Avoid repeated freeze-thaw cycles. |
| Transport | Shipping with blue ice. |
| Size | Quantity | Unit Price | Amount | Operation |
|---|

Copyright © 2015-2026 TargetMol Chemicals Inc. All Rights Reserved.