Shopping Cart
Remove All
Your shopping cart is currently empty
Anti-TRXR1/TXNRD1 Antibody (8M522) is a Rabbit antibody targeting TRXR1/TXNRD1. Anti-TRXR1/TXNRD1 Antibody (8M522) can be used in FCM,ICC,IHC,IP,WB.
| Pack Size | Price | USA Warehouse | Global Warehouse | Quantity |
|---|---|---|---|---|
| 50 μL | $297 | 7-10 days | 7-10 days | |
| 100 μL | $496 | 7-10 days | 7-10 days |
| Description | Anti-TRXR1/TXNRD1 Antibody (8M522) is a Rabbit antibody targeting TRXR1/TXNRD1. Anti-TRXR1/TXNRD1 Antibody (8M522) can be used in FCM,ICC,IHC,IP,WB. |
| Synonyms | TXNR, TRXR1, TR1, TR, thioredoxin reductase 1, GRIM-12 |
| Ig Type | IgG |
| Clone | 8M522 |
| Reactivity | Human,Mouse,Rat |
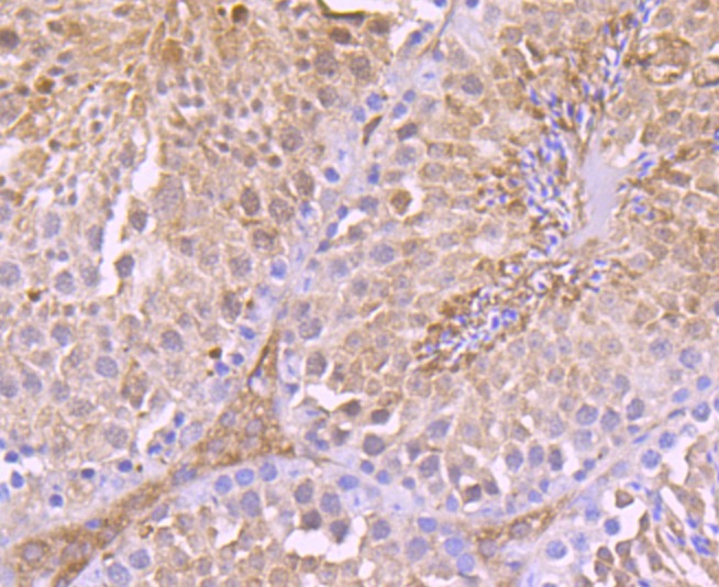
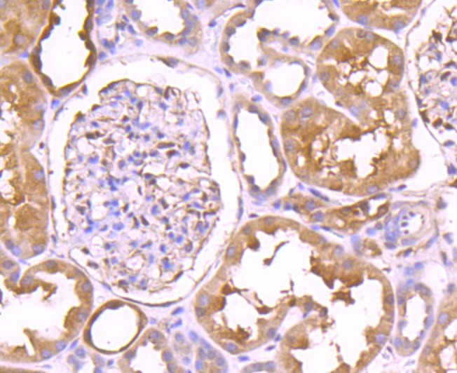
| Verified Activity | 1. Western blot analysis of TXNRD1 on Hela (1) and human liver tissue lysate (2) using anti-TXNRD1 antibody at 1/1,000 dilution. 2. Immunohistochemical analysis of paraffin-embedded human kidney tissue using anti-TXNRD1 antibody. Counter stained with hematoxylin. 3. Immunohistochemical analysis of paraffin-embedded mouse testes tissue using anti-TXNRD1 antibody. Counter stained with hematoxylin. 4. ICC staining TXNRD1 in HUVEC cells (green). The nuclear counter stain is DAPI (blue). Cells were fixed in paraformaldehyde, permeabilised with 0.25% Triton X100/PBS. 5. Flow cytometric analysis of SH-SY5Y cells with TXNRD1 antibody at 1/100 dilution (red) compared with an unlabelled control (cells without incubation with primary antibody; black). ![]() ![]() ![]() ![]() ![]() |
| Application | |
| Recommended Dose | WB: 1:500-2000; IHC: 1:50-200; ICC: 1:50-200; FCM: 1:50-100 |
| Antibody Type | Monoclonal |
| Host Species | Rabbit |
| Construction | Recombinant Antibody |
| Purification | ProA affinity purified |
| Appearance | Liquid |
| Formulation | 1*TBS (pH7.4), 1%BSA, 40%Glycerol. Preservative: 0.05% Sodium Azide. |
| Research Background | Thioredoxin (Trx) is a redox protein that is found in several species, such as bacteria, plants and mammals, and contains a conserved active site, consisting of Trp-Cys-Gly-Pro-Cys. Trx reductases (TrxR1 and TrxR2) are ubiquitous Ly noble flavoproteins that catalyze the NADPH-dependent reduction of Trx as well as several other oxidized cellular components. Mammalian Trx reductases are a part of a selenium-containing pyridine nucleotide-disulphide oxidoreductase family, which has a conserved catalytic site of Cys-Val- Asn-Val-Gly-Cys. TrxR1 and TrxR2 are also involved in the prevention of oxidative stress. Inhibition of TrxR activity may provide for potential treatments of cancer, AIDS and other autoimmune diseases as well as bacterial infections and parasitic diseases. |
| Conjucates | Unconjugated |
| Immunogen | Recombinant Protein |
| Uniprot ID |
| Molecular Weight | Theoretical: 55 kDa. |
| Color | Transparent |
| Appearance | Liquid |
| Stability & Storage | Store at -20°C or -80°C for 12 months. Avoid repeated freeze-thaw cycles. |
| Transport | Shipping with blue ice. |
| Size | Quantity | Unit Price | Amount | Operation |
|---|

Copyright © 2015-2026 TargetMol Chemicals Inc. All Rights Reserved.