Shopping Cart
Remove All
Your shopping cart is currently empty
Anti-TLR5 Antibody (3K965) is a Rabbit antibody targeting TLR5. Anti-TLR5 Antibody (3K965) can be used in IHC,WB.
| Pack Size | Price | USA Warehouse | Global Warehouse | Quantity |
|---|---|---|---|---|
| 50 μL | $298 | 7-10 days | 7-10 days | |
| 100 μL | $497 | 7-10 days | 7-10 days |
| Description | Anti-TLR5 Antibody (3K965) is a Rabbit antibody targeting TLR5. Anti-TLR5 Antibody (3K965) can be used in IHC,WB. |
| Synonyms | Toll-like receptor 5, Toll/interleukin-1 receptor-like protein 3, TLR 5, TIL3 |
| Ig Type | IgG |
| Clone | 3K965 |
| Reactivity | Human,Mouse,Rat |
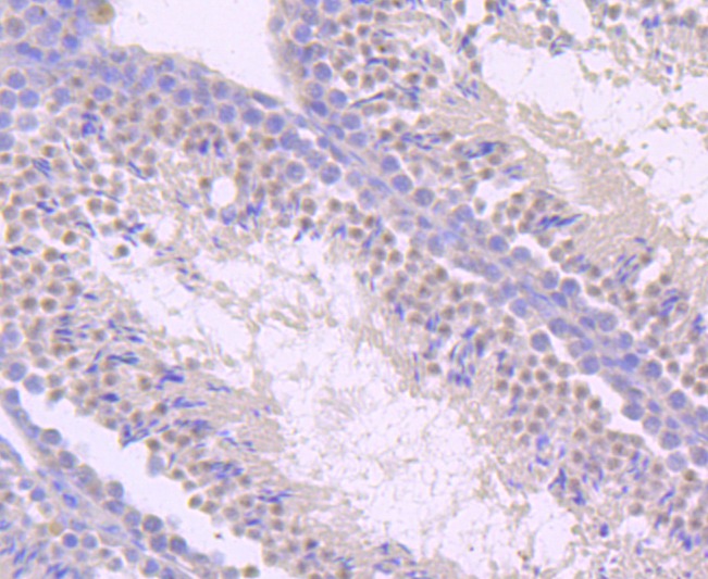
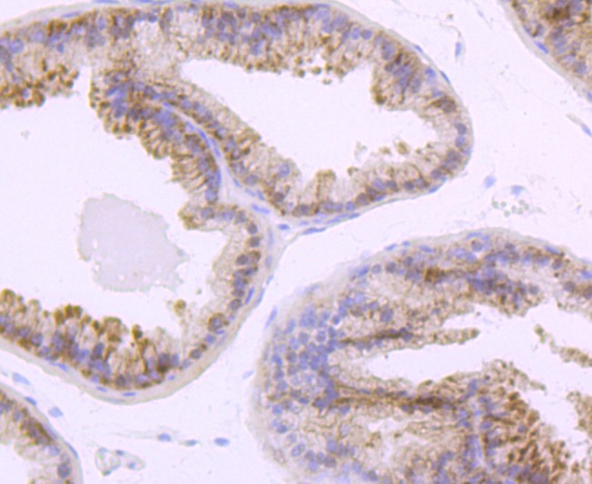
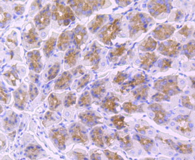
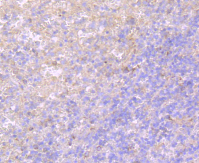
| Verified Activity | 1. Western blot analysis of TLR5 on Hela cells lysates using anti-TLR5 antibody at 1/500 dilution. 2. Immunohistochemical analysis of paraffin-embedded mouse testis tissue using anti-TLR5 antibody. Counter stained with hematoxylin. 3. Immunohistochemical analysis of paraffin-embedded mouse prostate tissue using anti-TLR5 antibody. Counter stained with hematoxylin. 4. Immunohistochemical analysis of paraffin-embedded mouse stomack tissue using anti-TLR5 antibody. Counter stained with hematoxylin. 5. Immunohistochemical analysis of paraffin-embedded human spleen tissue using anti-TLR5 antibody. Counter stained with hematoxylin. ![]() ![]() ![]() ![]() ![]() |
| Application | |
| Recommended Dose | WB: 1:1000-2000; IHC: 1:50-200 |
| Antibody Type | Monoclonal |
| Host Species | Rabbit |
| Construction | Recombinant Antibody |
| Purification | ProA affinity purified |
| Appearance | Liquid |
| Formulation | 1*TBS (pH7.4), 1%BSA, 40%Glycerol. Preservative: 0.05% Sodium Azide. |
| Research Background | Six human homologs of the Drosophila Toll receptor were initially identified based on their sequence similarities and designated toll-like receptors (TLR). Toll receptors are involved in mediating dorsoventral polarization in the developing Drosophila embryo and also participate in the host immunity. The TLR family of proteins are characterized by a highly conserved Toll homology (TH) domain, which is essential for Toll-induced signal transduction. TLR1, as well as the other TLR family members, are type I transmembrane receptors that characteristically contain an extracellular domain consisting of several leucine-rich regions along with a single cytoplasmic Toll/IL-1R-like domain. TLR2 and TLR4 are activated in response to lipopolysacchride (LPS) stimulation, which results in the activation and translocation of NFkB and suggests that these receptors are involved in mediating inflammatory responses. TLR5 specifically participates in the innate immune response to microbial agents. TLR5 is highly expressed in ovary and in peripheral blood leukocytes, most abundantly in monocytes and, to a lesser extent, in prostate and testis. |
| Conjucates | Unconjugated |
| Immunogen | Recombinant Protein |
| Uniprot ID |
| Molecular Weight | Theoretical: 97 kDa. |
| Stability & Storage | Store at -20°C or -80°C for 12 months. Avoid repeated freeze-thaw cycles. |
| Transport | Shipping with blue ice. |
| Size | Quantity | Unit Price | Amount | Operation |
|---|

Copyright © 2015-2026 TargetMol Chemicals Inc. All Rights Reserved.