Shopping Cart
Remove All
Your shopping cart is currently empty
Anti-SEMA7A Polyclonal Antibody is a Rabbit antibody targeting SEMA7A. Anti-SEMA7A Polyclonal Antibody can be used in IF,IHC-Fr,IHC-P,WB.
| Pack Size | Price | USA Warehouse | Global Warehouse | Quantity |
|---|---|---|---|---|
| 50 μL | $220 | 7-10 days | 7-10 days | |
| 100 μL | $373 | 7-10 days | 7-10 days | |
| 200 μL | $527 | 7-10 days | 7-10 days |
| Description | Anti-SEMA7A Polyclonal Antibody is a Rabbit antibody targeting SEMA7A. Anti-SEMA7A Polyclonal Antibody can be used in IF,IHC-Fr,IHC-P,WB. |
| Synonyms | Semaphorin-L, Semaphorin-K1, Semaphorin-7A, SEMAL, SEMAK1, Sema7A, Sema L, MGC126692, JMH, H-Sema-L, H-SEMA-K1, CDw108, CD108MGC126696, CD108 |
| Ig Type | IgG |
| Reactivity | Human (predicted:Mouse,Rat,Dog,Cow) |
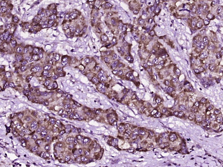
| Verified Activity | 1. Paraformaldehyde-fixed, paraffin embedded (human liver carcinoma); Antigen retrieval by boiling in sodium citrate buffer (pH6.0) for 15 min; Block endogenous peroxidase by 3% hydrogen peroxide for 20 min; Blocking buffer (normal goat serum) at 37°C for 30 min; Antibody incubation with (CD108) Polyclonal Antibody, Unconjugated (TMAB-01676) at 1:400 overnight at 4°C, followed by operating according to SP Kit (Rabbit) instructionsand DAB staining. 2. 25 μg total protein per Lane of various lysates probed with CD108 polyclonal antibody, unconjugated (TMAB-01676) at 1:1000 dilution and 4°C overnight incubation. Followed by conjugated secondary antibody incubation at RT for 60 min. ![]() ![]() |
| Application | |
| Recommended Dose | WB: 1:500-2000; IHC-P: 1:100-500; IHC-Fr: 1:100-500; IF: 1:100-500 |
| Antibody Type | Polyclonal |
| Host Species | Rabbit |
| Subcellular Localization | Cell membrane; Lipid-anchor, GPI-anchor; Extracellular side. Note=Detected in a punctate pattern on the cell membrane of basal and supra-basal skin keratinocytes. |
| Tissue Specificity | Detected in skin keratinocytes and on endothelial cells from skin blood vessels (at protein level). Expressed in fibroblasts, keratinocytes, melanocytes, placenta, testis, ovary, spleen, brain, spinal chord, lung, heart, adrenal gland, lymph nodes, thymus |
| Construction | Polyclonal Antibody |
| Purification | Protein A purified |
| Appearance | Liquid |
| Formulation | 0.01M TBS (pH7.4) with 1% BSA, 0.02% Proclin300 and 50% Glycerol. |
| Concentration | 1 mg/mL |
| Research Background | Semaphorin 7a is required for central and peripheral axon growth and is required for proper axon tract formation during embryonic development. Semaphorin 7a is also involved in modulating immune function. Semaphorin 7a expression is highest in the brain and increases in late embryonic and postnatal stages. The Semaphorins constitute a large family of secreted and membrane-tethered cell signaling molecules. They have functions in neural development, immunology, cardiac growth, vascular development, lung morphogenesis and axial bone patterning. Semaphorins are defined by the presence of a conserved Sema domain at the N-terminus. These proteins can be classified into eight classes depending on their structure and species origin. Classes 3 through 7 are found in vertebrates; class 3 are secreted, class 7 are GPI-anchored, and class 4 through 6 are transmembrane proteins. |
| Immunogen | KLH conjugated synthetic peptide: human Sema7A |
| Antigen Species | Human |
| Gene Name | SEMA7A |
| Gene ID | |
| Protein Name | Semaphorin-7A |
| Uniprot ID | |
| Biology Area | Neurogenesis,Axonal Guidance Proteins,Blood |
| Function | Plays an important role in integrin-mediated signaling and functions both in regulating cell migration and immune responses. Promotes formation of focal adhesion complexes, activation of the protein kinase PTK2/FAK1 and subsequent phosphorylation of MAPK1 and MAPK3. Promotes production of proinflammatory cytokines by monocytes and macrophages. Plays an important role in modulating inflammation and T cell-mediated immune responses. Promotes axon growth in the embryonic olfactory bulb. Promotes attachment, spreading and dendrite outgrowth in melanocytes. |
| Molecular Weight | Theoretical: 75 kDa. |
| Stability & Storage | Store at -20°C or -80°C for 12 months. Avoid repeated freeze-thaw cycles. |
| Transport | Shipping with blue ice. |
| Size | Quantity | Unit Price | Amount | Operation |
|---|

Copyright © 2015-2025 TargetMol Chemicals Inc. All Rights Reserved.