Shopping Cart
Remove All
Your shopping cart is currently empty
Anti-Phospho-YAP1 (Ser127) Polyclonal Antibody is a Rabbit antibody targeting Phospho-YAP1 (Ser127). Anti-Phospho-YAP1 (Ser127) Polyclonal Antibody can be used in IF,IHC,WB.
| Pack Size | Price | USA Warehouse | Global Warehouse | Quantity |
|---|---|---|---|---|
| 50 μL | $218 | 7-10 days | 7-10 days | |
| 100 μL | $317 | 7-10 days | 7-10 days |
| Description | Anti-Phospho-YAP1 (Ser127) Polyclonal Antibody is a Rabbit antibody targeting Phospho-YAP1 (Ser127). Anti-Phospho-YAP1 (Ser127) Polyclonal Antibody can be used in IF,IHC,WB. |
| Synonyms | YAP1 (p-Ser127), YAP1 (p-S127), p-YAP1 (Ser127), p-YAP1 (S127), Phospho-YAP1 (S127) |
| Ig Type | IgG |
| Reactivity | Human,Mouse,Rat |
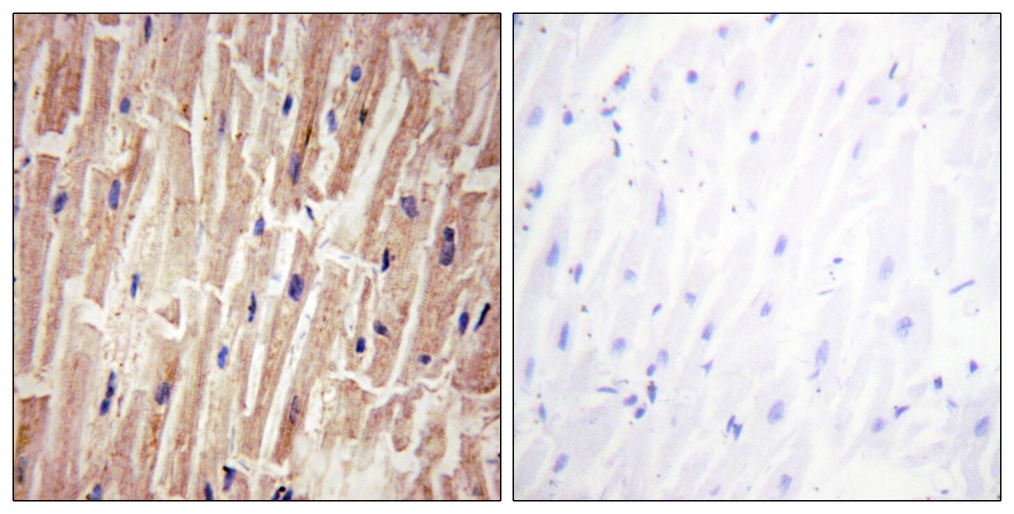
| Verified Activity | 1. Western blot analysis of extracts from COS7 tissue using YAP (Phospho-Ser127) antibody TMAC-04305. The lane on the right is treated with the antigen-specific peptide. 2. Immunofluorescence analysis of Hela cell. 1,YAP (phospho Ser127) Polyclonal Antibody (red) was diluted at 1:200 (4°C overnight). 3. Immunohistochemistry analysis of paraffin-embedded human heart , using YAP (Phospho-Ser127) Antibody. The picture on the right is blocked with the phospho peptide. ![]() ![]() ![]() |
| Application | |
| Recommended Dose | WB: 1:500-1000; IF: 1:50-200; IHC: 1:100-300 |
| Antibody Type | Polyclonal |
| Host Species | Rabbit |
| Construction | Polyclonal Antibody |
| Purification | Antibodies were produced by immunizing rabbits with synthetic phosphopeptide and KLH conjugates. Antibodies were purified by affinity-chromatography using epitope-specific phosphopeptide. Non-phospho specific antibodies were removed by chromatogramphy using non-phosphopeptide. |
| Appearance | Liquid |
| Formulation | Rabbit IgG in phosphate buffered saline (without Mg2+ and Ca2+), pH 7.4, 150mM NaCl, 0.02% sodium azide and 50% glycerol. |
| Research Background | Transcriptional regulator which can act both as a coactivator and a corepressor and is the critical downstream regulatory target in the Hippo signaling pathway that plays a pivotal role in organ size control and tumor suppression by restricting proliferation and promoting apoptosis. The core of this pathway is composed of a kinase cascade wherein STK3/MST2 and STK4/MST1, in complex with its regulatory protein SAV1, phosphorylates and activates LATS1/2 in complex with its regulatory protein MOB1, which in turn phosphorylates and inactivates YAP1 oncoprotein and WWTR1/TAZ. Plays a key role to control cell proliferation in response to cell contact. |
| Conjucates | Unconjugated |
| Others Formats | Phospho |
| Immunogen | Peptide sequence around phosphorylation site of serine127(A-H-S(p)-S-P) derived from Human YAP |
| Antigen Species | human |
| Uniprot ID |
| Molecular Weight | Actual: 65 kDa. |
| Stability & Storage | Store at -20°C or -80°C for 12 months. Avoid repeated freeze-thaw cycles. |
| Transport | Shipping with blue ice. |
| Size | Quantity | Unit Price | Amount | Operation |
|---|

Copyright © 2015-2026 TargetMol Chemicals Inc. All Rights Reserved.