Shopping Cart
Remove All
Your shopping cart is currently empty
Anti-Phospho-POLR2A (Ser2) Antibody (2B504) is a Rabbit antibody targeting Phospho-POLR2A (Ser2). Anti-Phospho-POLR2A (Ser2) Antibody (2B504) can be used in FCM,ICC/IF,IHC,IP,WB.
| Pack Size | Price | USA Warehouse | Global Warehouse | Quantity |
|---|---|---|---|---|
| 50 μL | $298 | 7-10 days | 7-10 days | |
| 100 μL | $498 | 7-10 days | 7-10 days |
| Description | Anti-Phospho-POLR2A (Ser2) Antibody (2B504) is a Rabbit antibody targeting Phospho-POLR2A (Ser2). Anti-Phospho-POLR2A (Ser2) Antibody (2B504) can be used in FCM,ICC/IF,IHC,IP,WB. |
| Synonyms | RPOL2, RPO2, RpIILS, RPBh1, RPB1, RNA-directed RNA polymerase II subunit RPB1, RNA polymerase II subunit B1, p-POLR2A (Ser2), p-POLR2A (S2), Polymerase (RNA) II (DNA directed) polypeptide A 220kDa, POLRA, POLR2A (p-Ser2), POLR2A (p-S2), Polr2a, POLR2, Phospho-POLR2A (S2), hsRPB1, hRPB220, DNA-directed RNA polymerase III largest subunit, DNA-directed RNA polymerase II subunit RPB1, DNA-directed RNA polymerase II largest subunit RNA polymerase II 220 kd subunit, DNA directed RNA polymerase II A |
| Ig Type | IgG |
| Clone | 2B504 |
| Reactivity | Human,Mouse,Rat |
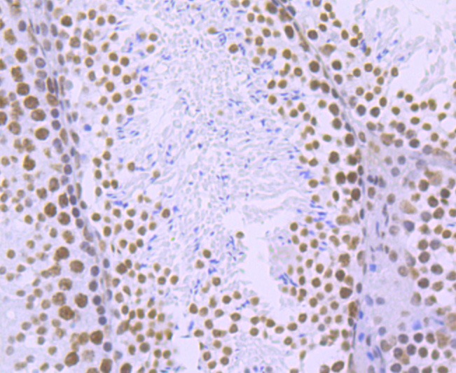
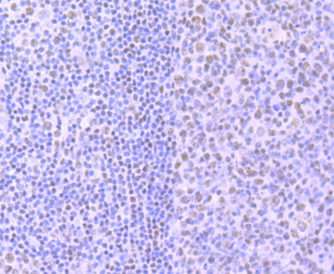
| Verified Activity | 1. Western blot analysis of Phospho-POLR2A (S2) on differnt cells lysates using anti-Phospho-POLR2A (S2) antibody at 1/500 dilution. Positive control: Line 1: Hela, Line 2: MCF-7. 2. Immunohistochemical analysis of paraffin-embedded human tonsil tissue using anti-Phospho-POLR2A (S2) antibody. Counter stained with hematoxylin. 3. Immunohistochemical analysis of paraffin-embedded rat brain tissue using anti-Phospho-POLR2A (S2) antibody. Counter stained with hematoxylin. 4. Immunohistochemical analysis of paraffin-embedded mouse testis tissue using anti-Phospho-POLR2A (S2) antibody. Counter stained with hematoxylin. 5. ICC staining Phospho-POLR2A (S2) in Hela cells (red). The nuclear counter stain is DAPI (blue). Cells were fixed in paraformaldehyde, permeabilised with 0.25% Triton X100/PBS. 6. ICC staining Phospho-POLR2A (S2) in MCF-7 cells (red). The nuclear counter stain is DAPI (blue). Cells were fixed in paraformaldehyde, permeabilised with 0.25% Triton X100/PBS. 7. ICC staining Phospho-POLR2A (S2) in PC-12 cells (red). The nuclear counter stain is DAPI (blue). Cells were fixed in paraformaldehyde, permeabilised with 0.25% Triton X100/PBS. 8. Flow cytometric analysis of Hela cells with Phospho-POLR2A (S2) antibody at 1/50 dilution (red) compared with an unlabelled control (cells without incubation with primary antibody; black). Alexa Fluor 488-conjugated goat anti rabbit IgG was used as the secondary antibody. ![]() ![]() ![]() ![]() ![]() ![]() ![]() ![]() |
| Application | |
| Recommended Dose | WB: 1:500-2000; IHC: 1:50-200; ICC/IF: 1:100-500; FCM: 1:50-100 |
| Antibody Type | Monoclonal |
| Host Species | Rabbit |
| Construction | Recombinant Antibody |
| Purification | ProA affinity purified |
| Appearance | Liquid |
| Formulation | 1*TBS (pH7.4), 1%BSA, 40%Glycerol. Preservative: 0.05% Sodium Azide. |
| Research Background | DNA-dependent RNA polymerase catalyzes the transcription of DNA into RNA using the four ribonucleoside triphosphates as substrates. Largest and catalytic component of RNA polymerase II which synthesizes mRNA precursors and many functional non-coding RNAs. Forms the polymerase active center together with the second largest subunit. Pol II is the central component of the basal RNA polymerase II transcription machinery. It is composed of mobile elements that move relative to each other. RPB1 is part of the core element with the central large cleft, the clamp element that moves to open and close the cleft and the jaws that are thought to grab the incoming DNA template. At the start of transcription, a single-stranded DNA template strand of the promoter is positioned within the central active site cleft of Pol II. A bridging helix emanates from RPB1 and crosses the cleft near the catalytic site and is thought to promote translocation of Pol II by acting as a ratchet that moves the RNA-DNA hybrid through the active site by switching from straight to bent conformations at each step of nucleotide addition. During transcription elongation, Pol II moves on the template as the transcript elongates. Elongation is influenced by the phosphorylation status of the C-terminal domain (CTD) of Pol II largest subunit (RPB1), which serves as a platform for assembly of factors that regulate transcription initiation, elongation, termination and mRNA processing. Acts as an RNA-dependent RNA polymerase when associated with small delta antigen of Hepatitis delta virus, acting both as a replicate and transcriptase for the viral RNA circular genome. |
| Conjucates | Unconjugated |
| Others Formats | Phospho |
| Immunogen | A synthesized phosphopeptide: human POLR2A around the phosphorylation site of Ser2 |
| Antigen Species | human |
| Uniprot ID |
| Molecular Weight | Theoretical: 250 kDa. |
| Stability & Storage | Store at -20°C or -80°C for 12 months. Avoid repeated freeze-thaw cycles. |
| Transport | Shipping with blue ice. |
| Size | Quantity | Unit Price | Amount | Operation |
|---|

Copyright © 2015-2026 TargetMol Chemicals Inc. All Rights Reserved.