Shopping Cart
Remove All
Your shopping cart is currently empty
Anti-Phospho-PIK3CA (Tyr317) Polyclonal Antibody is a Rabbit antibody targeting Phospho-PIK3CA (Tyr317). Anti-Phospho-PIK3CA (Tyr317) Polyclonal Antibody can be used in IF,IHC-Fr,IHC-P,WB.
| Pack Size | Price | USA Stock | Global Stock | Quantity |
|---|---|---|---|---|
| 50 μL | $222 | 7-10 days | 7-10 days | |
| 100 μL | $374 | 7-10 days | 7-10 days | |
| 200 μL | $527 | 7-10 days | 7-10 days |
| Description | Anti-Phospho-PIK3CA (Tyr317) Polyclonal Antibody is a Rabbit antibody targeting Phospho-PIK3CA (Tyr317). Anti-Phospho-PIK3CA (Tyr317) Polyclonal Antibody can be used in IF,IHC-Fr,IHC-P,WB. |
| Synonyms | p-PIK3CA (Y317), p-PIK3CA (Tyr317), PIK3CA (p-Y317), PIK3CA (p-Tyr317) |
| Ig Type | IgG |
| Reactivity | Human,Mouse (predicted:Rat) |
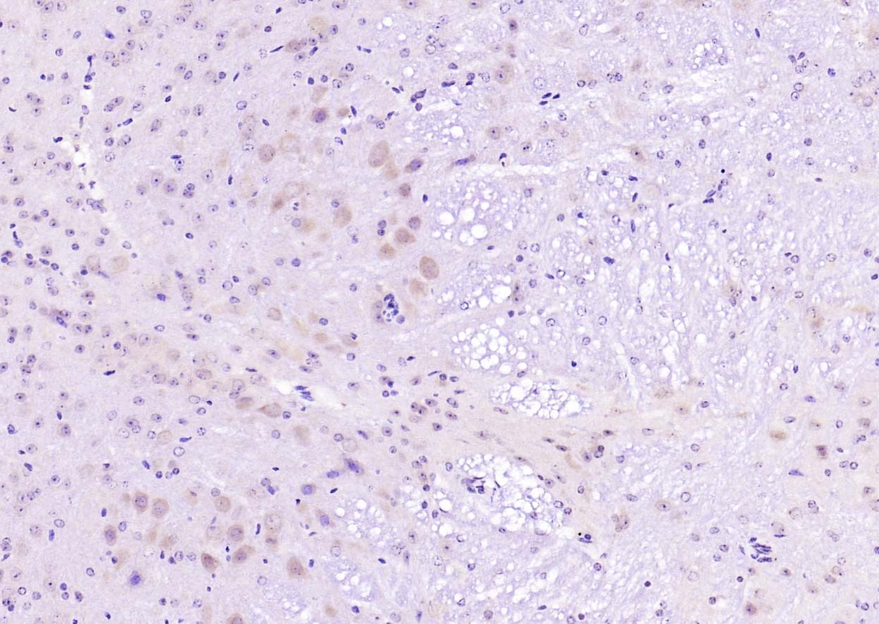
| Verified Activity | 1. Paraformaldehyde-fixed, paraffin embedded (mouse brain); Antigen retrieval by boiling in sodium citrate buffer (pH6.0) for 15 min; Block endogenous peroxidase by 3% hydrogen peroxide for 20 min; Blocking buffer (normal goat serum) at 37°C for 30 min; Antibody incubation with (phospho-PI3KCA (Tyr317)) Polyclonal Antibody, Unconjugated (TMAB-01480) at 1:200 overnight at 4°C, followed by operating according to SP Kit (Rabbit) instructionsand DAB staining. 2. Sample: Lane 1: NIH/3T3 (Mouse) Cell Lysate at 30 μg Lane 2: Raw264.7 (Mouse) Cell Lysate at 30 μg Lane 3: Jurkat (Human) Cell Lysate at 30 μg Lane 4: MCF-7 (Human) Cell Lysate at 30 μg Lane 5: A431 (Human) Cell Lysate at 30 μg Lane 6: Siha (Human) Cell Lysate at 30 μg Primary: Anti-phospho-PI3KCA (Tyr317) (TMAB-01480) at 1/1000 dilution Secondary: IRDye800CW Goat Anti-Rabbit IgG at 1/20000 dilution Predicted band size: 110/120 kDa Observed band size: 110 kDa ![]() ![]() |
| Application | |
| Recommended Dose | WB: 1:500-2000; IHC-P: 1:100-500; IHC-Fr: 1:100-500; IF: 1:100-500 |
| Antibody Type | Polyclonal |
| Host Species | Rabbit |
| Construction | Polyclonal Antibody |
| Purification | Protein A purified |
| Appearance | Liquid |
| Formulation | 0.01M TBS (pH7.4) with 1% BSA, 0.02% Proclin300 and 50% Glycerol. |
| Concentration | 1 mg/mL |
| Research Background | PI3-Kinases (PI3-Ks) are a family of lipid kinases that are implicated in signal transduction. Phosphatidylinositol 3-kinase is composed of an 85 kDa regulatory subunit and a 110 kDa catalytic subunit. The p85 subunit localize PI3-K activity to the plasma membrane while the p110 subunit contains the catalytic domain of PI3-K which uses ATP to phosphorylate PtdIns, PtdIns4P and PtdInsP2. Four isoforms of p110 has been found; alpha, beta, gamma, and the delta subunit. The alpha isoform, also known as PI3KCA, is a transforming oncogene that was shown to have activating mutations in nine types of cancers such as colon, brain, breast and stomach. |
| Immunogen | KLH conjugated Synthesised phosphopeptide: human PI3KCA around the phosphorylation site of Tyr317 |
| Antigen Species | Human |
| Gene Name | PIK3CA |
| Gene ID | |
| Protein Name | Phosphatidylinositol 4, 5-bisphosphate 3-kinase catalytic subunit alpha isoform |
| Uniprot ID | |
| Biology Area | Signal transducers,Signal transduction,TLR Signaling,Lipid Kinases |
| Function | PI3K that phosphorylates PtdIns, PtdIns4P and PtdIns(4,5)P2 to generate PIP3. PIP3 plays a key role by recruiting PH domain-containing proteins to the membrane, including AKT1 and PDPK1, activating signaling cascades involved in cell growth, survival, proliferation, motility and morphology. Participates in cellular signaling in response to various growth factors. Involved in the activation of AKT1 upon stimulation by receptor tyrosine kinases ligands such as EGF, insulin, IGF1, VEGFA and PDGF. Involved in signaling via insulin-receptor substrate proteins. Essential in endothelial cell migration during vascular development through VEGFA signaling, possibly by regulating RhoA activity. Required for lymphatic vasculature development, possibly by binding to RAS and by activation by EGF and FGF2, but not by PDGF. Regulates invadopodia formation in breast cancer cells through the PDPK1-AKT1 pathway. Participates in cardiomyogenesis in embryonic stem cells through a AKT1 pathway. Participates in vasculogenesis in embryonic stem cells through PDK1 and protein kinase C pathway. Has also serine-protein kinase activity: phosphorylates PIK3R1, EIF4EBP1 and HRAS. |
| Molecular Weight | Theoretical: 124 kDa. Actual: 110 kDa. |
| Stability & Storage | Store at -20°C or -80°C for 12 months. Avoid repeated freeze-thaw cycles. |
| Transport | Shipping with blue ice. |
| Size | Quantity | Unit Price | Amount | Operation |
|---|

Copyright © 2015-2026 TargetMol Chemicals Inc. All Rights Reserved.