Shopping Cart
Remove All
Your shopping cart is currently empty
Anti-Phospho-FAK (Tyr397) Polyclonal Antibody is a Rabbit antibody targeting Phospho-FAK (Tyr397). Anti-Phospho-FAK (Tyr397) Polyclonal Antibody can be used in ICC/IF, IF, IHC-Fr, IHC-P, WB.
| Pack Size | Price | USA Stock | Global Stock | Quantity |
|---|---|---|---|---|
| 50 μL | $221 | 7-10 days | 7-10 days | |
| 100 μL | $372 | 7-10 days | 7-10 days | |
| 200 μL | $528 | 7-10 days | 7-10 days |
| Description | Anti-Phospho-FAK (Tyr397) Polyclonal Antibody is a Rabbit antibody targeting Phospho-FAK (Tyr397). Anti-Phospho-FAK (Tyr397) Polyclonal Antibody can be used in ICC/IF, IF, IHC-Fr, IHC-P, WB. |
| Synonyms | PTK 2, Protein-tyrosine kinase 2, Protein Tyrosine Kinase Cytoplasmic, Protein tyrosine kinase 2, Protein phosphatase 1 regulatory subunit 71, PPP1R71, pp125FAK, p-FAK (Y397), p-FAK (Tyr397), p125FAK, FRNK, Focal adhesion kinase-related nonkinase, Focal adhesion kinase 1, FAK1, FAK related non kinase polypeptide, FAK 1, FAK (p-Y397), FAK (p-Tyr397), FADK 1, FADK |
| Ig Type | IgG |
| Reactivity | Human,Mouse,Rat (predicted:Chicken,Dog,Cow,Horse,Rabbit) |
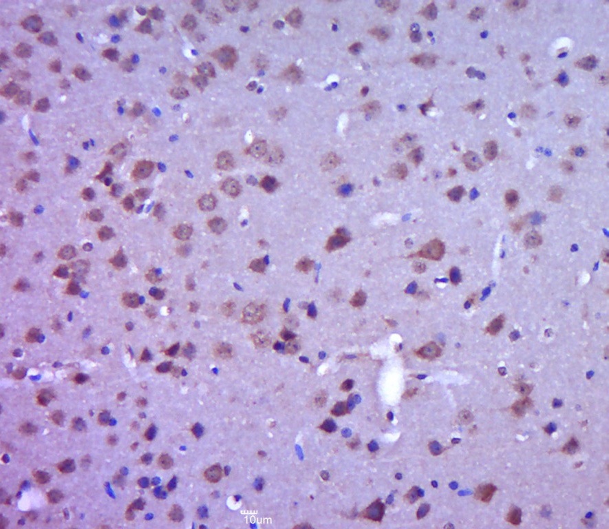
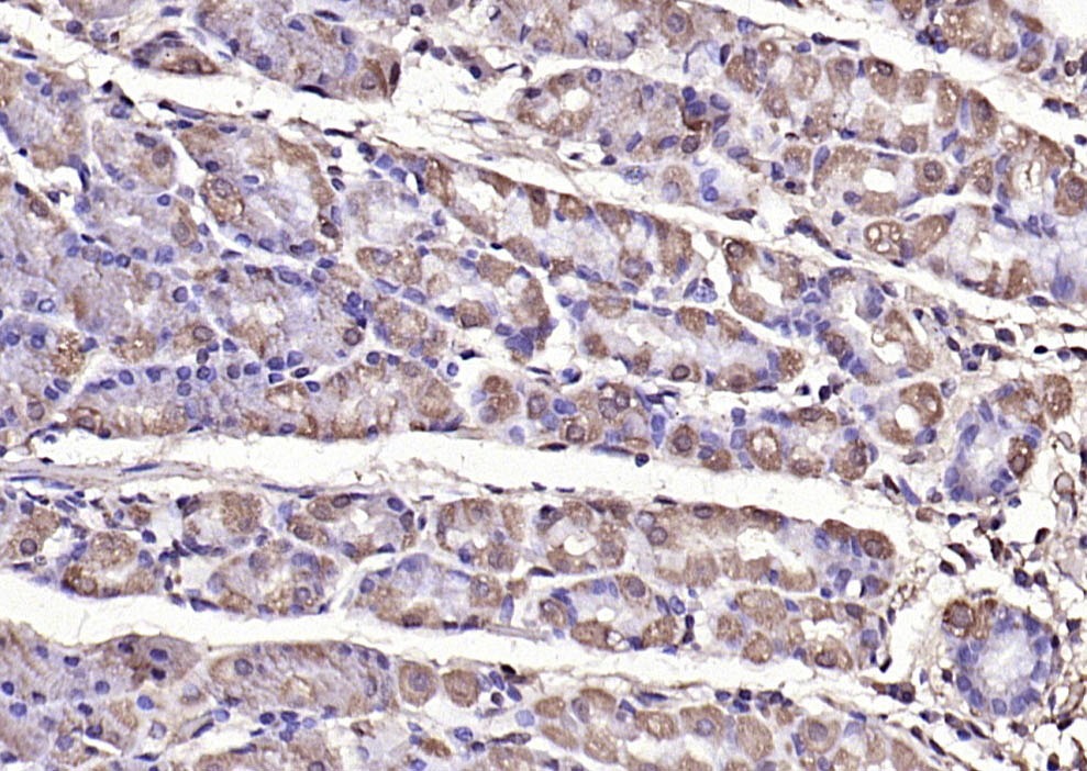
| Verified Activity | 1. Sample: Thymus (Mouse) Lysate at 40 μg Primary: Anti-p-FAK (Tyr397) (TMAB-01411) at 1/300 dilution Secondary: IRDye800CW Goat Anti-Rabbit IgG at 1/20000 dilution Predicted band size: 116 kDa Observed band size: 116 kDa 2. Paraformaldehyde-fixed, paraffin embedded (mouse brain tissue); Antigen retrieval by boiling in sodium citrate buffer (pH6.0) for 15 min; Block endogenous peroxidase by 3% hydrogen peroxide for 20 min; Blocking buffer (normal goat serum) at 37°C for 30 min; Antibody incubation with (P-FAK (Tyr397)) Polyclonal Antibody, Unconjugated (TMAB-01411) at 1:400 overnight at 4°C, followed by a conjugated secondary for 20 min and DAB staining. 3. Sample: Lane 1: Cerebrum (Mouse) Lysate at 40 μg Lane 2: Testis (Mouse) Lysate at 40 μg Lane 3: NIH/3T3 (Mouse) Cell Lysate at 30 μg Lane 4: Cerebrum (Rat) Lysate at 40 μg Lane 5: Adrenal gland (Rat) Lysate at 40 μg Lane 6: Testis (Rat) Lysate at 40 μg Lane 7: 293T (Human) Cell Lysate at 30 μg Lane 8: A431 (Human) Cell Lysate at 30 μg Lane 9: Huvec (Human) Cell Lysate at 30 μg Lane 10: MDA-MB-231 (Human) Cell Lysate at 30 μg Lane 11: A549 (Human) Cell Lysate at 30 μg Primary: Anti-Phospho-FAK (Tyr397) (TMAB-01411) at 1/1000 dilution Secondary: IRDye800CW Goat Anti-Rabbit IgG at 1/20000 dilution Predicted band size: 125 kDa Observed band size: 125 kDa 4. Paraformaldehyde-fixed, paraffin embedded (human gastric carcinoma); Antigen retrieval by boiling in sodium citrate buffer (pH6.0) for 15 min; Block endogenous peroxidase by 3% hydrogen peroxide for 20 min; Blocking buffer (normal goat serum) at 37°C for 30 min; Antibody incubation with (Phospho-FAK (Tyr397)) Polyclonal Antibody, Unconjugated (TMAB-01411) at 1:200 overnight at 4°C, followed by operating according to SP Kit (Rabbit) instructionsand DAB staining. 5. Hela cell; 4% Paraformaldehyde-fixed; Triton X-100 at room temperature for 20 min; Blocking buffer (normal goat serum) at 37°C for 20 min; Antibody incubation with (Phospho-FAK (Tyr397)) polyclonal Antibody, Unconjugated (TMAB-01411) 1:50, 90 minutes at 37°C; followed by a conjugated Goat Anti-Rabbit IgG antibody at 37°C for 90 minutes, DAPI (blue) was used to stain the cell nucleus. ![]() ![]() ![]() ![]() ![]() |
| Application | |
| Recommended Dose | ICC/IF=1:100-500; IF=1:100-500; IHC-Fr=1:100-500; IHC-P=1:100-500; WB=1:500-2000 |
| Antibody Type | Polyclonal |
| Host Species | Rabbit |
| Subcellular Localization | Cell junction, focal adhesion. Cell membrane; Peripheral membrane protein; Cytoplasmic side. Cytoplasm, cell cortex. Cytoplasm, cytoskeleton. Cytoplasm, cytoskeleton, centrosome. Nucleus. Note=Constituent of focal adhesions. Detected at microtubules. |
| Tissue Specificity | Detected in B and T-lymphocytes. Isoform 1 and isoform 6 are detected in lung fibroblasts (at protein level). Ubiquitous. |
| Construction | Polyclonal Antibody |
| Purification | Protein A purified |
| Appearance | Liquid |
| Formulation | 0.01M TBS (pH7.4) with 1% BSA, 0.02% Proclin300 and 50% Glycerol. |
| Concentration | 1 mg/mL |
| Research Background | Non-receptor protein-tyrosine kinase implicated in signaling pathways involved in cell motility, proliferation and apoptosis. Activated by tyrosine-phosphorylation in response to either integrin clustering induced by cell adhesion or antibody cross-linking, or via G-protein coupled receptor (GPCR) occupancy by ligands such as bombesin or lysophosphatidic acid, or via LDL receptor occupancy. Plays a potential role in oncogenic transformations resulting in increased kinase activity. [SUBCELLULAR LOCATION] Cell junction, focal adhesion. Cell membrane; Peripheral membrane protein; Cytoplasmic side. Note=Constituent of focal adhesions. |
| Immunogen | KLH cunjugated Synthesised phosphopeptide: human FAK around the phosphorylation site of Tyr397 |
| Antigen Species | Human |
| Gene Name | PTK2 |
| Gene ID | |
| Protein Name | Focal adhesion kinase 1 |
| Uniprot ID | |
| Biology Area | FAK family,Integrins,Focal Adhesions,FAK / PYK |
| Function | Non-receptor protein-tyrosine kinase that plays an essential role in regulating cell migration, adhesion, spreading, reorganization of the actin cytoskeleton, formation and disassembly of focal adhesions and cell protrusions, cell cycle progression, cell proliferation and apoptosis. Required for early embryonic development and placenta development. Required for embryonic angiogenesis, normal cardiomyocyte migration and proliferation, and normal heart development. Regulates axon growth and neuronal cell migration, axon branching and synapse formation; required for normal development of the nervous system. Plays a role in osteogenesis and differentiation of osteoblasts. Functions in integrin signal transduction, but also in signaling downstream of numerous growth factor receptors, G-protein coupled receptors (GPCR), EPHA2, netrin receptors and LDL receptors. Forms multisubunit signaling complexes with SRC and SRC family members upon activation; this leads to the phosphorylation of additional tyrosine residues, creating binding sites for scaffold proteins, effectors and substrates. Regulates numerous signaling pathways. Promotes activation of phosphatidylinositol 3-kinase and the AKT1 signaling cascade. Promotes activation of MAPK1/ERK2, MAPK3/ERK1 and the MAP kinase signaling cascade. Promotes localized and transient activation of guanine nucleotide exchange factors (GEFs) and GTPase-activating proteins (GAPs), and thereby modulates the activity of Rho family GTPases. Signaling via CAS family members mediates activation of RAC1. Recruits the ubiquitin ligase MDM2 to P53/TP53 in the nucleus, and thereby regulates P53/TP53 activity, P53/TP53 ubiquitination and proteasomal degradation. Phosphorylates SRC; this increases SRC kinase activity. Phosphorylates ACTN1, ARHGEF7, GRB7, RET and WASL. Promotes phosphorylation of PXN and STAT1; most likely PXN and STAT1 are phosphorylated by a SRC family kinase that is recruited to autophosphorylated PTK2/FAK1, rather than by PTK2/FAK1 itself. Promotes phosphorylation of BCAR1; GIT2 and SHC1; this requires both SRC and PTK2/FAK1. Promotes phosphorylation of BMX and PIK3R1. Isoform 6 (FRNK) does not contain a kinase domain and inhibits PTK2/FAK1 phosphorylation and signaling. Its enhanced expression can attenuate the nuclear accumulation of LPXN and limit its ability to enhance serum response factor (SRF)-dependent gene transcription. |
| Molecular Weight | Theoretical: 116 kDa. Actual: 125 kDa. |
| Stability & Storage | Store at -20°C or -80°C for 12 months. Avoid repeated freeze-thaw cycles. |
| Transport | Shipping with blue ice. |
| Size | Quantity | Unit Price | Amount | Operation |
|---|

Copyright © 2015-2026 TargetMol Chemicals Inc. All Rights Reserved.