Shopping Cart
Remove All
Your shopping cart is currently empty
Anti-LY75 Antibody (7T586) is a Rabbit antibody targeting LY75. Anti-LY75 Antibody (7T586) can be used in IHC,IP,WB.
| Pack Size | Price | USA Warehouse | Global Warehouse | Quantity |
|---|---|---|---|---|
| 50 μL | $296 | 7-10 days | 7-10 days | |
| 100 μL | $498 | 7-10 days | 7-10 days |
| Description | Anti-LY75 Antibody (7T586) is a Rabbit antibody targeting LY75. Anti-LY75 Antibody (7T586) can be used in IHC,IP,WB. |
| Synonyms | Renal Cell Carcinoma (gp200), Lymphocyte antigen 75, LY75_HUMAN, Ly-75, LY75, LY 75, gp200-MR6, gp200 MR6, gp200, DEC-205, DEC205, DEC 205, C-type lectin domain family 13 member B, CLEC13B, CLEC 13B, CD205 antigen, CD205, CD 205 |
| Ig Type | IgG |
| Clone | 7T586 |
| Reactivity | Human,Mouse |
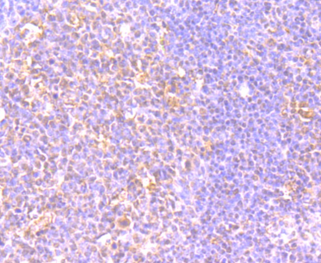
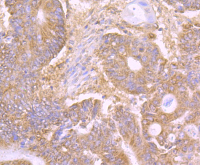
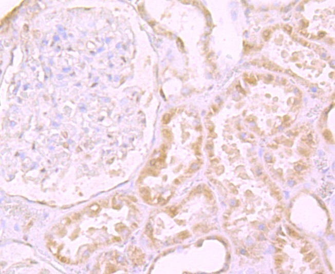
| Verified Activity | 1. Immunohistochemical analysis of paraffin-embedded human tonsil tissue using anti-LY75 antibody. Counter stained with hematoxylin. 2. Immunohistochemical analysis of paraffin-embedded human colon cancer tissue using anti-LY75 antibody. Counter stained with hematoxylin. 3. Immunohistochemical analysis of paraffin-embedded human kidney tissue using anti-LY75 antibody. Counter stained with hematoxylin. 4. Immunohistochemical analysis of paraffin-embedded mouse colon tissue using anti-LY75 antibody. Counter stained with hematoxylin. ![]() ![]() ![]() ![]() |
| Application | |
| Recommended Dose | IHC: 1:50-200 |
| Antibody Type | Monoclonal |
| Host Species | Rabbit |
| Construction | Recombinant Antibody |
| Purification | ProA affinity purified |
| Appearance | Liquid |
| Formulation | 1*TBS (pH7.4), 1%BSA, 40%Glycerol. Preservative: 0.05% Sodium Azide. |
| Research Background | DEC-205 (LY75, lymphocyte antigen 75, GP200-MR6) is a 1,695 residue (mature form) multilectin receptor that belongs to the MMR (macrophage mannose receptor) family of multidomain molecules. MMR family molecules mediate membrane receptor targeting to endosomes or lysosomes rich in major histocompatibility complex class II (MHC II) products. Expressed in mature dendritic cells (DC), DEC-205 contains an extracellular N-terminal cysteine-rich domain, a fibronectin type II domain, ten C-type carbohydrate recognition domains, a single transmembrane region and a small cytoplasmic C-terminal domain (31 amino acids) containing a tyrosine at 1679. DEC-205 elicits either an agonistic or antagonistic effect on IL-4 function, which is demonstrated by the ability of DEC-205 to imitate IL-4-induced maturation of epithelium or to inhibit IL-4-induced proliferation of T cells, respectively. |
| Conjucates | Unconjugated |
| Immunogen | Recombinant Protein |
| Uniprot ID |
| Molecular Weight | Theoretical: 198 kDa. |
| Stability & Storage | Store at -20°C or -80°C for 12 months. Avoid repeated freeze-thaw cycles. |
| Transport | Shipping with blue ice. |
| Size | Quantity | Unit Price | Amount | Operation |
|---|

Copyright © 2015-2026 TargetMol Chemicals Inc. All Rights Reserved.