Shopping Cart
Remove All
Your shopping cart is currently empty
Anti-GSN Antibody (3E486) is a Rabbit antibody targeting GSN. Anti-GSN Antibody (3E486) can be used in FCM,ICC,IF,IHC,WB.
| Pack Size | Price | USA Warehouse | Global Warehouse | Quantity |
|---|---|---|---|---|
| 50 μL | $297 | 7-10 days | 7-10 days | |
| 100 μL | $497 | 7-10 days | 7-10 days |
| Description | Anti-GSN Antibody (3E486) is a Rabbit antibody targeting GSN. Anti-GSN Antibody (3E486) can be used in FCM,ICC,IF,IHC,WB. |
| Ig Type | IgG |
| Clone | 3E486 |
| Reactivity | Human,Mouse |
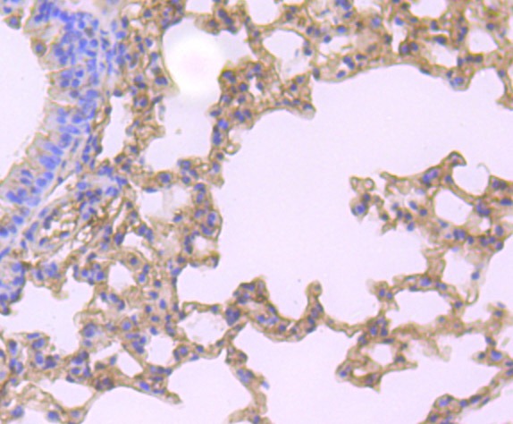
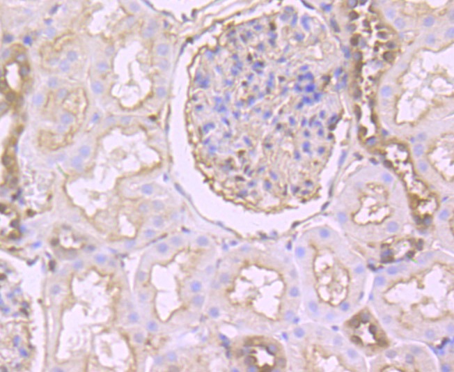
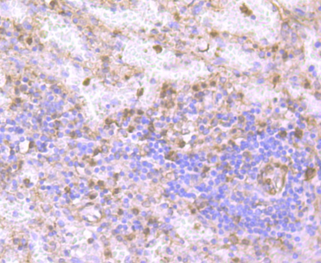
| Verified Activity | 1. Western blot analysis of Gelsolin on different lysates using anti-Gelsolin antibody at 1/500 dilution. Positive control: Lane 1: Mouse thymus, Lane 2: Mouse lung, Lane 3: THP-1, Lane 4: HepG2. 2. Immunohistochemical analysis of paraffin-embedded human kidney tissue using anti-Gelsolin antibody. Counter stained with hematoxylin. 3. Immunohistochemical analysis of paraffin-embedded mouse lung tissue using anti-Gelsolin antibody. Counter stained with hematoxylin. 4. Immunohistochemical analysis of paraffin-embedded human spleen tissue using anti-Gelsolin antibody. Counter stained with hematoxylin. 5. ICC staining Gelsolin in NIH-3T3 cells (green). The nuclear counter stain is DAPI (blue). Cells were fixed in paraformaldehyde, permeabilised with 0.25% Triton X100/PBS. 6. ICC staining Gelsolin in SiHa cells (green). The nuclear counter stain is DAPI (blue). Cells were fixed in paraformaldehyde, permeabilised with 0.25% Triton X100/PBS. 7. Flow cytometric analysis of THP-1 cells with Gelsolin antibody at 1/100 dilution (red) compared with an unlabelled control (cells without incubation with primary antibody; black). Alexa Fluor 488-conjugated goat anti-rabbit IgG was used as the secondary antibody. ![]() ![]() ![]() ![]() ![]() ![]() ![]() |
| Application | |
| Recommended Dose | WB: 1:500-2000; IHC: 1:50-200; ICC: 1:50-200; FCM: 1:50-100 |
| Antibody Type | Monoclonal |
| Host Species | Rabbit |
| Construction | Recombinant Antibody |
| Purification | ProA affinity purified |
| Appearance | Liquid |
| Formulation | 1*TBS (pH7.4), 1%BSA, 40%Glycerol. Preservative: 0.05% Sodium Azide. |
| Research Background | Gelsolin (also known as brevin, Actin-depolymerizing factor or ADF), a protein of leukocytes, platelets and other cells, severs Actin filaments in the presence of submicromolar calcium, thereby isolating cytoplasmic Actin gels. A calcium-independent mechanism reverses the process. A Gelsolin variant with 23 more amino-terminal amino acids is a plasma component probably involved in the clearance of Actin, the most abundant human protein, from the circulation. It has been suggested that a single gene encodes both cell and plasma gelsolins. Gelsolin may be unique in that it is made for both secretion and intracytoplasmic location. Amino acid homology was identified between Gelsolin and the amyloid of the Finnish variety of amyloidosis. The amyloid in this disorder is antigenically and structurally related to Gelsolin. Gelsolin is the principal intracellular and extracellular Actin-severing protein. Gelsolin and Gc protein together constitute the extracellular Actin-scavenger system which prevents the toxic effects of Actin release into the extracellular space under circumstances of cell necrosis. |
| Conjucates | Unconjugated |
| Immunogen | Recombinant Protein |
| Uniprot ID |
| Molecular Weight | Theoretical: 86 kDa. |
| Stability & Storage | Store at -20°C or -80°C for 12 months. Avoid repeated freeze-thaw cycles. |
| Transport | Shipping with blue ice. |
| Size | Quantity | Unit Price | Amount | Operation |
|---|

Copyright © 2015-2026 TargetMol Chemicals Inc. All Rights Reserved.