Shopping Cart
Remove All
Your shopping cart is currently empty
Anti-CXCL10 Antibody (9G778) is a Rabbit antibody targeting CXCL10. Anti-CXCL10 Antibody (9G778) can be used in ICC/IF,IHC,WB.
| Pack Size | Price | USA Warehouse | Global Warehouse | Quantity |
|---|---|---|---|---|
| 50 μL | $296 | 7-10 days | 7-10 days | |
| 100 μL | $497 | 7-10 days | 7-10 days |
| Description | Anti-CXCL10 Antibody (9G778) is a Rabbit antibody targeting CXCL10. Anti-CXCL10 Antibody (9G778) can be used in ICC/IF,IHC,WB. |
| Synonyms | IP-10), CXCL10, 10 kDa interferon gamma-induced protein (Gamma-IP10 |
| Ig Type | IgG |
| Clone | 9G778 |
| Reactivity | Human |
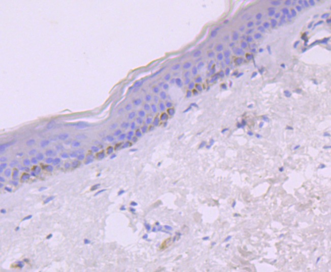
| Verified Activity | 1. Immunohistochemical analysis of paraffin-embedded human skin tissue using anti-IP10 antibody. Counter stained with hematoxylin. 2. ICC staining IP10 in N2A cells (red). The nuclear counter stain is DAPI (blue). Cells were fixed in paraformaldehyde, permeabilised with 0.25% Triton X100/PBS. 3. ICC staining IP10 in HepG2 cells (red). The nuclear counter stain is DAPI (blue). Cells were fixed in paraformaldehyde, permeabilised with 0.25% Triton X100/PBS. 4. ICC staining IP10 in SH-SY5Y cells (red). The nuclear counter stain is DAPI (blue). Cells were fixed in paraformaldehyde, permeabilised with 0.25% Triton X100/PBS. ![]() ![]() ![]() ![]() |
| Application | |
| Recommended Dose | WB: 1:500-1000; IHC: 1:50-200; ICC/IF: 1:50-100 |
| Antibody Type | Monoclonal |
| Host Species | Rabbit |
| Construction | Recombinant Antibody |
| Purification | ProA affinity purified |
| Appearance | Liquid |
| Formulation | 1*TBS (pH7.4), 1%BSA, 40%Glycerol. Preservative: 0.05% Sodium Azide. |
| Research Background | Chemokines are members of a superfamily of inducible, secreted, pro-inflammatory cytokines. Members of the chemokine family exhibit 20% to 50% homology in their predicted amino acid sequences and are divided into four subfamilies: C-C, C-X-C, C and C-X3-C. In the C-X-C or α subfamily, the first two of four cysteine motifs are separated by another amino acid residue. In the second subfamily, designated C-C or β, the first cysteines are adjacent. C subfamily members, also designated γ chemokines, lack the first and third cysteine residues of the conserved motif. In the C-X3-C, or δ subfamily, members have three amino acids between the two cysteines. The C-X-C chemokine subfamily includes IL-8, GROα/β/γ (and the murine homologs KC, MIP-2α and MIP-2β), platelet basic protein, ENA-78, GCP-2, PF4, IP-10 (and its murine homolog, CRG) and MIG. |
| Conjucates | Unconjugated |
| Immunogen | Recombinant Protein |
| Uniprot ID |
| Molecular Weight | Theoretical: 10 kDa. |
| Stability & Storage | Store at -20°C or -80°C for 12 months. Avoid repeated freeze-thaw cycles. |
| Transport | Shipping with blue ice. |
| Size | Quantity | Unit Price | Amount | Operation |
|---|

Copyright © 2015-2026 TargetMol Chemicals Inc. All Rights Reserved.