Shopping Cart
Remove All
Your shopping cart is currently empty
Anti-Coagulation Factor VIII/FVIII/F8 Polyclonal Antibody is a Rabbit antibody targeting Coagulation Factor VIII/FVIII/F8. Anti-Coagulation Factor VIII/FVIII/F8 Polyclonal Antibody can be used in IF, IHC-Fr, IHC-P.
| Pack Size | Price | USA Warehouse | Global Warehouse | Quantity |
|---|---|---|---|---|
| 50 μL | $221 | 7-10 days | 7-10 days | |
| 100 μL | $374 | 7-10 days | 7-10 days | |
| 200 μL | $528 | 7-10 days | 7-10 days |
| Description | Anti-Coagulation Factor VIII/FVIII/F8 Polyclonal Antibody is a Rabbit antibody targeting Coagulation Factor VIII/FVIII/F8. Anti-Coagulation Factor VIII/FVIII/F8 Polyclonal Antibody can be used in IF, IHC-Fr, IHC-P. |
| Synonyms | THPH13, HEMA, FVIII, F8C, F8B, DXS1253E, AHF |
| Ig Type | IgG |
| Reactivity | Rat (predicted:Human,Mouse,Dog,Rabbit) |
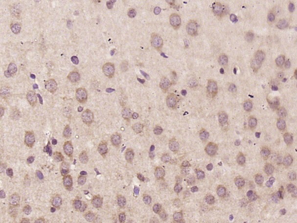
| Verified Activity | Paraformaldehyde-fixed, paraffin embedded (rat brain tissue); Antigen retrieval by boiling in sodium citrate buffer (pH6.0) for 15 min; Block endogenous peroxidase by 3% hydrogen peroxide for 20 min; Blocking buffer (normal goat serum) at 37°C for 30 min; Antibody incubation with (factor VIII) Polyclonal Antibody, Unconjugated (TMAB-00453) at 1:400 overnight at 4°C, followed by operating according to SP Kit (Rabbit) instructionsand DAB staining. ![]() |
| Application | |
| Recommended Dose | IHC-P: 1:100-500; IHC-Fr: 1:100-500; IF: 1:100-500 |
| Antibody Type | Polyclonal |
| Host Species | Rabbit |
| Subcellular Localization | Secreted, extracellular space. |
| Construction | Polyclonal Antibody |
| Purification | Protein A purified |
| Appearance | Liquid |
| Formulation | 0.01M TBS (pH7.4) with 1% BSA, 0.02% Proclin300 and 50% Glycerol. |
| Concentration | 1 mg/mL |
| Research Background | This gene encodes coagulation factor VIII, which participates in the intrinsic pathway of blood coagulation; factor VIII is a cofactor for factor IXa which, in the presence of Ca+2 and phospholipids, converts factor X to the activated form Xa. This gene produces two alternatively spliced transcripts. Transcript variant 1 encodes a large glycoprotein, isoform a, which circulates in plasma and associates with von Willebrand factor in a noncovalent complex. This protein undergoes multiple cleavage events. Transcript variant 2 encodes a putative small protein, isoform b, which consists primarily of the phospholipid binding domain of factor VIIIc. This binding domain is essential for coagulant activity. Defects in this gene results in hemophilia A, a common recessive X-linked coagulation disorder. [provided by RefSeq, Jul 2008]. |
| Immunogen | KLH conjugated synthetic peptide: rat factor VIII |
| Antigen Species | Rat |
| Gene Name | F8 |
| Protein Name | Coagulation factor VIII |
| Biology Area | Intrinsic |
| Function | Factor VIII, along with calcium and phospholipid, acts as a cofactor for factor IXa when it converts factor X to the activated form, factor Xa. |
| Molecular Weight | Theoretical: 267 kDa. |
| Stability & Storage | Store at -20°C or -80°C for 12 months. Avoid repeated freeze-thaw cycles. |
| Transport | Shipping with blue ice. |
| Size | Quantity | Unit Price | Amount | Operation |
|---|

Copyright © 2015-2026 TargetMol Chemicals Inc. All Rights Reserved.