Shopping Cart
Remove All
Your shopping cart is currently empty
Anti-CD86 Polyclonal Antibody is a Rabbit antibody targeting CD86. Anti-CD86 Polyclonal Antibody can be used in FCM, ICC/IF, IF, IHC-Fr, IHC-P, WB.
| Pack Size | Price | USA Warehouse | Global Warehouse | Quantity |
|---|---|---|---|---|
| 50 μL | $221 | 7-10 days | 7-10 days | |
| 100 μL | $374 | 7-10 days | 7-10 days | |
| 200 μL | $529 | 7-10 days | 7-10 days |
| Description | Anti-CD86 Polyclonal Antibody is a Rabbit antibody targeting CD86. Anti-CD86 Polyclonal Antibody can be used in FCM, ICC/IF, IF, IHC-Fr, IHC-P, WB. |
| Synonyms | LAB72, CD86 antigen, CD28LG2, B7-2, B70, B7.2 |
| Ig Type | IgG |
| Reactivity | Human,Mouse,Rat |
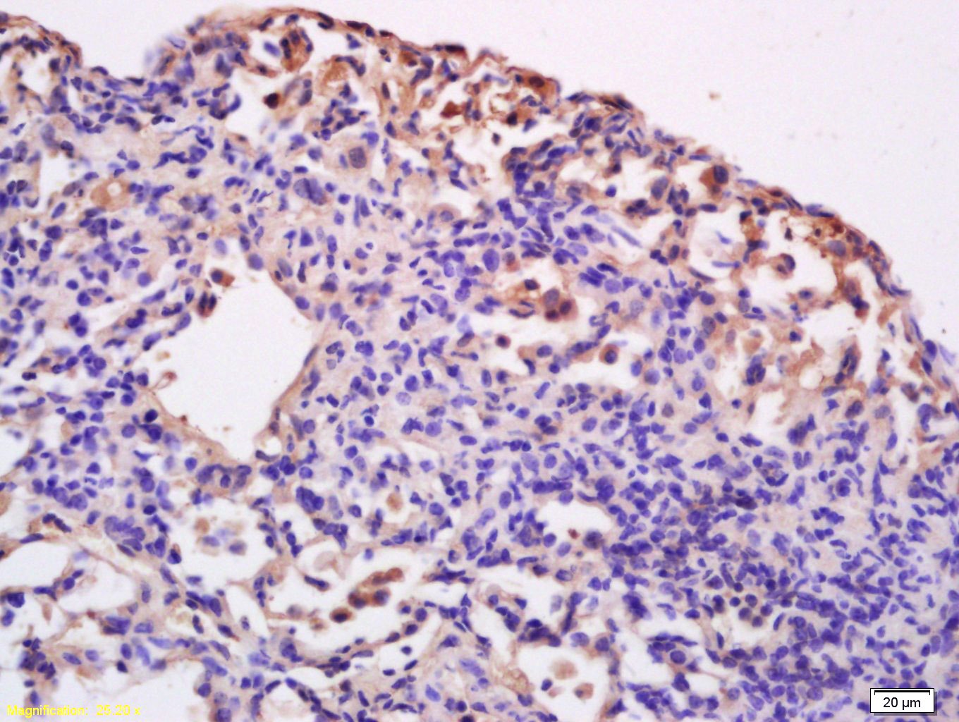
| Verified Activity | 1. Tissue/cell: rat lung tissue; 4% Paraformaldehyde-fixed and paraffin-embedded; Antigen retrieval: citrate buffer (0.01M, pH6.0), Boiling bathing for 15 min; Block endogenous peroxidase by 3% Hydrogen peroxide for 30 min; Blocking buffer (normal goat serum) at 37°C for 20 min; Incubation: Anti-CD86/B7-2 Polyclonal Antibody, Unconjugated (TMAB-00396) 1:200, overnight at 4°C, followed by conjugation to the secondary antibody and DAb staining. 2. Sample: Lane 1: HepG2 (Human) Cell Lysate at 30 μg Lane 2: U937 (Human) Cell Lysate at 30 μg Lane 3: Spleen (Rat) Lysate at 40 μg Lane 4: Spleen (Mouse) Lysate at 40 μg Lane 5: HL-60 (Human) Cell Lysate at 30 μg Primary: Anti-CD86 (TMAB-00396) at 1/1000 dilution Secondary: IRDye800CW Goat Anti-Rabbit IgG at 1/20000 dilution Predicted band size: 72-74 kDa Observed band size: 72 kDa ![]() ![]() |
| Application | |
| Recommended Dose | FCM=1 μg/Test; ICC/IF=1:50-200; IF=1:100-500; IHC-Fr=1:100-500; IHC-P=1:100-500; WB=1:500-2000 |
| Antibody Type | Polyclonal |
| Host Species | Rabbit |
| Subcellular Localization | Cell membrane; Single-pass type I membrane protein. |
| Tissue Specificity | Expressed by activated B-lymphocytes and monocytes. |
| Construction | Polyclonal Antibody |
| Purification | Protein A purified |
| Appearance | Liquid |
| Formulation | 0.01M TBS (pH7.4) with 1% BSA, 0.02% Proclin300 and 50% Glycerol. |
| Concentration | 1 mg/mL |
| Research Background | This gene encodes a type I membrane protein that is a member of the immunoglobulin superfamily. This protein is expressed by antigen-presenting cells, and it is the ligand for two proteins at the cell surface of T cells, CD28 antigen and cytotoxic T-lymphocyte-associated protein 4. Binding of this protein with CD28 antigen is a costimulatory signal for activation of the T-cell. Binding of this protein with cytotoxic T-lymphocyte-associated protein 4 negatively regulates T-cell activation and diminishes the immune response. Alternative splicing results in several transcript variants encoding different isoforms.[provided by RefSeq, May 2011]. |
| Immunogen | KLH conjugated synthetic peptide: the middle of rat CD86 |
| Antigen Species | Rat |
| Gene Name | CD86 |
| Gene ID | |
| Protein Name | T-lymphocyte activation antigen CD86 |
| Biology Area | Monocytic Lineage,Dendritic Cell Lineage,B Lymphocytic Lineage,Host Virus Interaction,CD markers ELISA kits,Non-lineage,CD,Regulatory T Cells |
| Function | Receptor involved in the costimulatory signal essential for T-lymphocyte proliferation and interleukin-2 production, by binding CD28 or CTLA-4. May play a critical role in the early events of T-cell activation and costimulation of naive T-cells, such as deciding between immunity and anergy that is made by T-cells within 24 hours after activation. Isoform 2 interferes with the formation of CD86 clusters, and thus acts as a negative regulator of T-cell activation. |
| Molecular Weight | Theoretical: 31 kDa. Actual: 72-74 kDa. |
| Stability & Storage | Store at -20°C or -80°C for 12 months. Avoid repeated freeze-thaw cycles. |
| Transport | Shipping with blue ice. |
| Size | Quantity | Unit Price | Amount | Operation |
|---|

Copyright © 2015-2026 TargetMol Chemicals Inc. All Rights Reserved.