Shopping Cart
Remove All
Your shopping cart is currently empty
Anti-CCR7 Antibody (8C836) is a Rabbit antibody targeting CCR7. Anti-CCR7 Antibody (8C836) can be used in ICC/IF,IHC,IP,WB.
| Pack Size | Price | USA Warehouse | Global Warehouse | Quantity |
|---|---|---|---|---|
| 50 μL | $297 | 7-10 days | 7-10 days | |
| 100 μL | $498 | 7-10 days | 7-10 days |
| Description | Anti-CCR7 Antibody (8C836) is a Rabbit antibody targeting CCR7. Anti-CCR7 Antibody (8C836) can be used in ICC/IF,IHC,IP,WB. |
| Synonyms | MIP3 beta Receptor, MIP 3 beta receptor, MGC108519, Lymphocyte Specific G Protein Coupled Peptide Receptor, EVI1, EVI 1, Epstein Barr virus induced gene 1, Epstein Barr virus induced G protein coupled receptor, EBV Induced G Protein Coupled Receptor 1, Ebi1h, EBI1, EBI 1, Chemokine receptor 7-like protein, Chemokine C C receptor 7, Chemokine C C motif receptor 7, CDW197, CD197 antigen, CD197, CD 197, CCR7, CCR 7, CCCKR7, CC CKR 7, CC chemokine receptor type 7, CC chemokine receptor 7, C C CKR 7, C C chemokine receptor type 7, BLR2, BLR 2 |
| Ig Type | IgG |
| Clone | 8C836 |
| Reactivity | Human,Mouse,Rat |
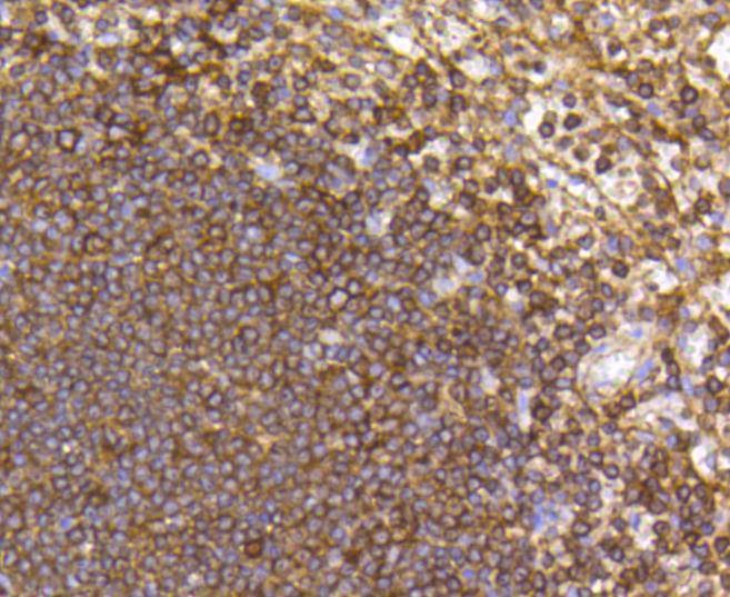
| Verified Activity | 1. Western blot analysis of CCR7 on different cell lysates using anti-CCR7 antibody at 1/1,000 dilution. Positive control: Lane 1: MCF-7, Lane 2: PC-12, Lane 3: Daudi, Lane 4: Jurkat. 2. Immunohistochemical analysis of paraffin-embedded human tonsil tissue using anti-CCR7 antibody. Counter stained with hematoxylin. 3. Immunohistochemical analysis of paraffin-embedded human spleen tissue using anti-CCR7 antibody. Counter stained with hematoxylin. 4. ICC staining CCR7 in Hela cells (green). The nuclear counter stain is DAPI (blue). Cells were fixed in paraformaldehyde, permeabilised with 0.25% Triton X100/PBS. 5. ICC staining CCR7 in MCF-7 cells (green). The nuclear counter stain is DAPI (blue). Cells were fixed in paraformaldehyde, permeabilised with 0.25% Triton X100/PBS. ![]() ![]() ![]() ![]() ![]() |
| Application | |
| Recommended Dose | WB: 1:1000-5000; IHC: 1:50-200; ICC/IF: 1:50-200 |
| Antibody Type | Monoclonal |
| Host Species | Rabbit |
| Construction | Recombinant Antibody |
| Purification | ProA affinity purified |
| Appearance | Liquid |
| Formulation | 1*TBS (pH7.4), 1%BSA, 40%Glycerol. Preservative: 0.05% Sodium Azide. |
| Research Background | C-C or ?? chemokine family members are characterized by a pair of adjacent cysteine residues and serve as potent chemoattractants and activators of monocytes and T cells. C-C chemokine receptor family members include CKR-1, CKR-2A, CKR-2B, CKR-3, CKR-4, CKR-5, CKR-6, CKR-7, CKR-8, CKR-9, CKR-10 and the Duffy blood group antigen. Each of these receptors are G protein-coupled, seven pass transmembrane domain proteins whose major physiological role is to function in the chemotaxis of T cells and phagocytic cells to areas of inflammation. However, this receptor family has also been shown to facilitate viral infection. CKR-7 (C-C chemokine receptor type 7), also known as CCR7, CMKBR7, EBI1 or EVI1, is a 378 amino acid multi-pass membrane protein that belongs to the CC-chemokine receptor family. Expressed in activated B- and T-lymphocytes, as well as in various lymphoid tissues, CKR-7 functions as a receptor for MIP-3?? and is thought to be involved in mediating normal lymphocyte function. |
| Conjucates | Unconjugated |
| Immunogen | Recombinant Protein |
| Uniprot ID |
| Molecular Weight | Theoretical: 43 kDa. |
| Stability & Storage | Store at -20°C or -80°C for 12 months. Avoid repeated freeze-thaw cycles. |
| Transport | Shipping with blue ice. |
| Size | Quantity | Unit Price | Amount | Operation |
|---|

Copyright © 2015-2026 TargetMol Chemicals Inc. All Rights Reserved.