Shopping Cart
Remove All
Your shopping cart is currently empty
Anti-Caspase-10 Antibody (3V777) is a Rabbit antibody targeting Caspase-10. Anti-Caspase-10 Antibody (3V777) can be used in FCM,IHC,IP,WB.
| Pack Size | Price | USA Warehouse | Global Warehouse | Quantity |
|---|---|---|---|---|
| 50 μL | $296 | 7-10 days | 7-10 days | |
| 100 μL | $497 | 7-10 days | 7-10 days |
| Description | Anti-Caspase-10 Antibody (3V777) is a Rabbit antibody targeting Caspase-10. Anti-Caspase-10 Antibody (3V777) can be used in FCM,IHC,IP,WB. |
| Synonyms | MCH4, ICE-Like Apoptotic Protease 4, FLICE2, FAS-Associated Death Domain Protein Interleukin-1B-Converting Enzyme 2, Caspase-10, CASP-10, CASP10, Apoptotic Protease Mch-4 |
| Ig Type | IgG |
| Clone | 3V777 |
| Reactivity | Human |
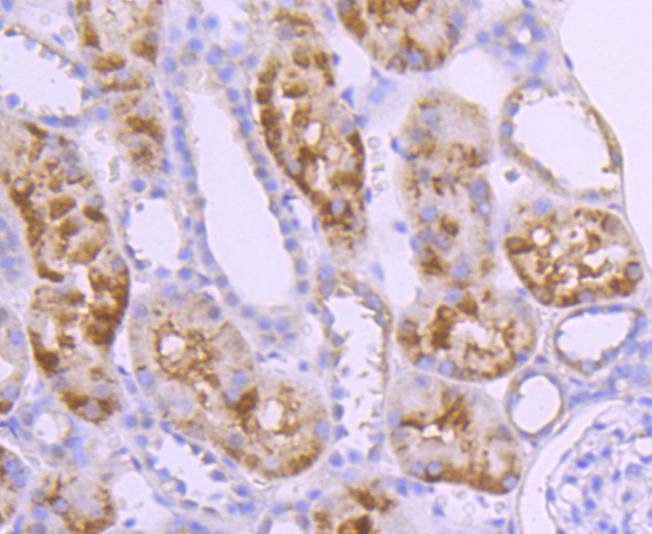
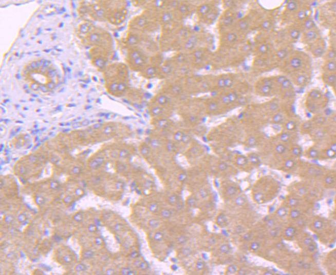
| Verified Activity | 1. Western blot analysis of Caspase-10 on K562 cells lysates using anti-Caspase-10 antibody at 1/1,000 dilution. 2. Immunohistochemical analysis of paraffin-embedded human liver cancer tissue using anti-Caspase-10 antibody. Counter stained with hematoxylin. 3. Immunohistochemical analysis of paraffin-embedded human kidney tissue using anti-Caspase-10 antibody. Counter stained with hematoxylin. 4. Flow cytometric analysis of K562 cells with Caspase-10 antibody at 1/50 dilution (red) compared with an unlabelled control (cells without incubation with primary antibody; black). Alexa Fluor 488-conjugated goat anti rabbit IgG was used as the secondary antibody. ![]() ![]() ![]() ![]() |
| Application | |
| Recommended Dose | WB: 1:1000-2000; IHC: 1:50-200; FCM: 1:50-100 |
| Antibody Type | Monoclonal |
| Host Species | Rabbit |
| Construction | Recombinant Antibody |
| Purification | ProA affinity purified |
| Appearance | Liquid |
| Formulation | 1*TBS (pH7.4), 1%BSA, 40%Glycerol. Preservative: 0.05% Sodium Azide. |
| Research Background | Caspase-10, also designated Mch4, is recruited to the native TRAIL and CD9 death-inducing signaling complexes (DISCs) by the FADD/Mort1 adaptor protein complex. Caspase-10 requires the assembly of the FADD and DISC complexes for its recruitment and cleavage-induced activation during CD95-induced apoptosis of activated T cells. The N-terminus of caspase-10 contains FADD-like death effector domains further indicating that it associates with FADD to induce apoptosis. Caspase-10 is not required for apoptosis induction and when overexpressed, cannot reverse defects in apoptosis induction caused by caspase-8 deficiency. Granzyme B cleaves procaspase-10 at an IXXD-A processing sequence to produce mature caspase-10. Mutations in the caspase-10 gene in the prodomain, p17 large protease subunit and p12 small protease subunit have been linked to a number of non-Hodgkin lymphomas in humans. |
| Conjucates | Unconjugated |
| Immunogen | Recombinant Protein |
| Uniprot ID |
| Molecular Weight | Theoretical: 59 kDa. |
| Stability & Storage | Store at -20°C or -80°C for 12 months. Avoid repeated freeze-thaw cycles. |
| Transport | Shipping with blue ice. |
| Size | Quantity | Unit Price | Amount | Operation |
|---|

Copyright © 2015-2026 TargetMol Chemicals Inc. All Rights Reserved.