Shopping Cart
Remove All
Your shopping cart is currently empty
Anti-ADIPOR1 Antibody (2S638) is a Rabbit antibody targeting ADIPOR1. Anti-ADIPOR1 Antibody (2S638) can be used in FCM,ICC/IF,IHC,WB.
| Pack Size | Price | USA Warehouse | Global Warehouse | Quantity |
|---|---|---|---|---|
| 50 μL | $297 | 7-10 days | 7-10 days | |
| 100 μL | $497 | 7-10 days | 7-10 days |
| Description | Anti-ADIPOR1 Antibody (2S638) is a Rabbit antibody targeting ADIPOR1. Anti-ADIPOR1 Antibody (2S638) can be used in FCM,ICC/IF,IHC,WB. |
| Synonyms | TESBP1A, Progestin and adipoQ receptor family member I, Progestin and adipoQ receptor family member 1, PAQR1, ADIPOR1, Adiponectin receptor protein 1 |
| Ig Type | IgG |
| Clone | 2S638 |
| Reactivity | Human,Mouse,Rat,zebrafish |
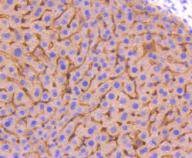
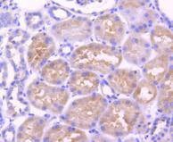
| Verified Activity | 1. Western blot analysis of ADIPOR1 on human skeletal muscle lysates using anti-ADIPOR1 antibody at 1/1,000 dilution. 2. Immunohistochemical analysis of paraffin-embedded human kidney tissue using anti-ADIPOR1 antibody. Counter stained with hematoxylin. 3. Immunohistochemical analysis of paraffin-embedded mouse liver tissue using anti-ADIPOR1 antibody. Counter stained with hematoxylin. 4. ICC staining ADIPOR1 in Hela cells (green). The nuclear counter stain is DAPI (blue). Cells were fixed in paraformaldehyde, permeabilised with 0.25% Triton X100/PBS. 5. ICC staining ADIPOR1 in HepG2 cells (green). The nuclear counter stain is DAPI (blue). Cells were fixed in paraformaldehyde, permeabilised with 0.25% Triton X100/PBS. 6. ICC staining ADIPOR1 in LO2 cells (green). The nuclear counter stain is DAPI (blue). Cells were fixed in paraformaldehyde, permeabilised with 0.25% Triton X100/PBS. 7. Flow cytometric analysis of HepG2 cells with ADIPOR1 antibody at 1/50 dilution (red) compared with an unlabelled control (cells without incubation with primary antibody; black). Alexa Fluor 488-conjugated goat anti rabbit IgG was used as the secondary antibody. ![]() ![]() ![]() ![]() ![]() ![]() ![]() |
| Application | |
| Recommended Dose | WB: 1:1000-5000; IHC: 1:50-200; ICC/IF: 1:50-200; FCM: 1:50-100 |
| Antibody Type | Monoclonal |
| Host Species | Rabbit |
| Construction | Recombinant Antibody |
| Purification | ProA affinity purified |
| Appearance | Liquid |
| Formulation | 1*TBS (pH7.4), 1%BSA, 40%Glycerol. Preservative: 0.05% Sodium Azide. |
| Research Background | Adiponectin is a circulating hormone secreted by adipocytes that improves the metabolism of glucose and lipids, and is expressed at low levels in those with obesity and diabetes. Adiponectin receptors AdipoR1 and AdipoR2, also designated progestin and adipoQ receptor family members I and II, respectively, regulate fatty acid oxidation and the uptake of glucose by adiponectin. Each receptor activates a unique set of signaling molecules including AMPK, p38 MAPK and PPARα. AdipoR1 has a high-affinity for globular adiponectin and low-affinity for full-length adiponectin, while AdipoR2 has an intermediate affinity for both forms. AdipoR1 and AdipoR2 are mainly expressed in liver and muscle. Adiponectin, AdipoR1 and AdipoR2 are all associated with body composition, Insulin sensitivity, and metabolic parameters. Physical training increases circulating adiponectin and mRNA expression of AdipoR1 and AdipoR2 in muscle, which may mediate the improvement of Insulin resistance and the metabolic syndrome in response to exercise. |
| Conjucates | Unconjugated |
| Immunogen | Recombinant Protein |
| Uniprot ID |
| Molecular Weight | Theoretical: 43 kDa. |
| Stability & Storage | Store at -20°C or -80°C for 12 months. Avoid repeated freeze-thaw cycles. |
| Transport | Shipping with blue ice. |
| Size | Quantity | Unit Price | Amount | Operation |
|---|

Copyright © 2015-2026 TargetMol Chemicals Inc. All Rights Reserved.