Shopping Cart
Remove All
Your shopping cart is currently empty
Anti-Adiponectin Polyclonal Antibody is a Rabbit antibody targeting Aquaporin-5/AQP5. Anti-Adiponectin Polyclonal Antibody can be used in IF,IHC-Fr,IHC-P,WB.
| Pack Size | Price | USA Stock | Global Stock | Quantity |
|---|---|---|---|---|
| 50 μL | $220 | 7-10 days | 7-10 days | |
| 100 μL | $373 | 7-10 days | 7-10 days | |
| 200 μL | $528 | 7-10 days | 7-10 days |
| Description | Anti-Adiponectin Polyclonal Antibody is a Rabbit antibody targeting Aquaporin-5/AQP5. Anti-Adiponectin Polyclonal Antibody can be used in IF,IHC-Fr,IHC-P,WB. |
| Synonyms | GBP28, APM-1, APM1, ADPN, ADIPQTL1, adiponectin, C1Q and collagen domain containing, Adiponectin, ACRP30, ACDC |
| Ig Type | IgG |
| Reactivity | Human,Mouse(predicted:Rat,Chicken,Dog,Pig,Cow,Rabbit) |
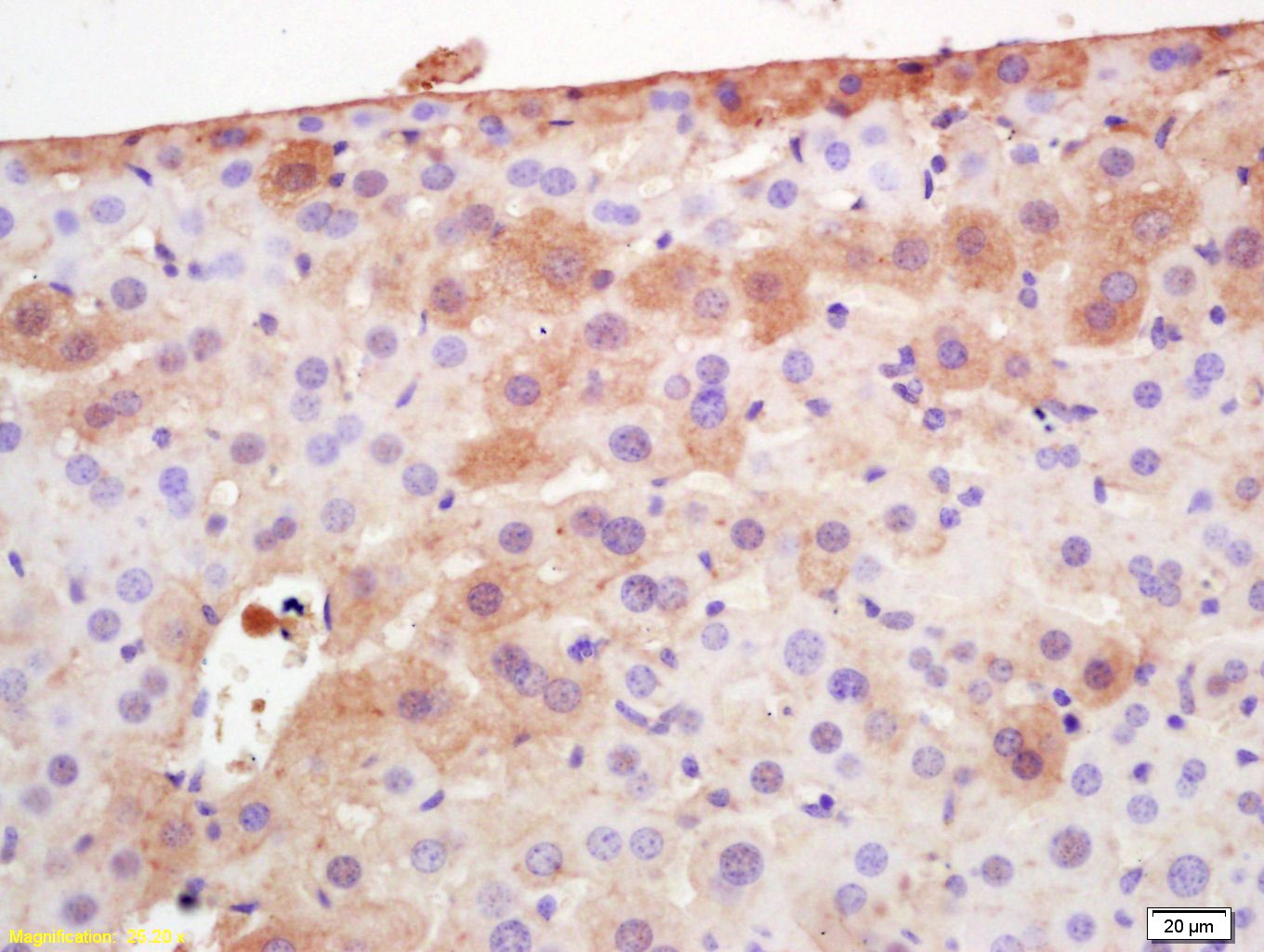
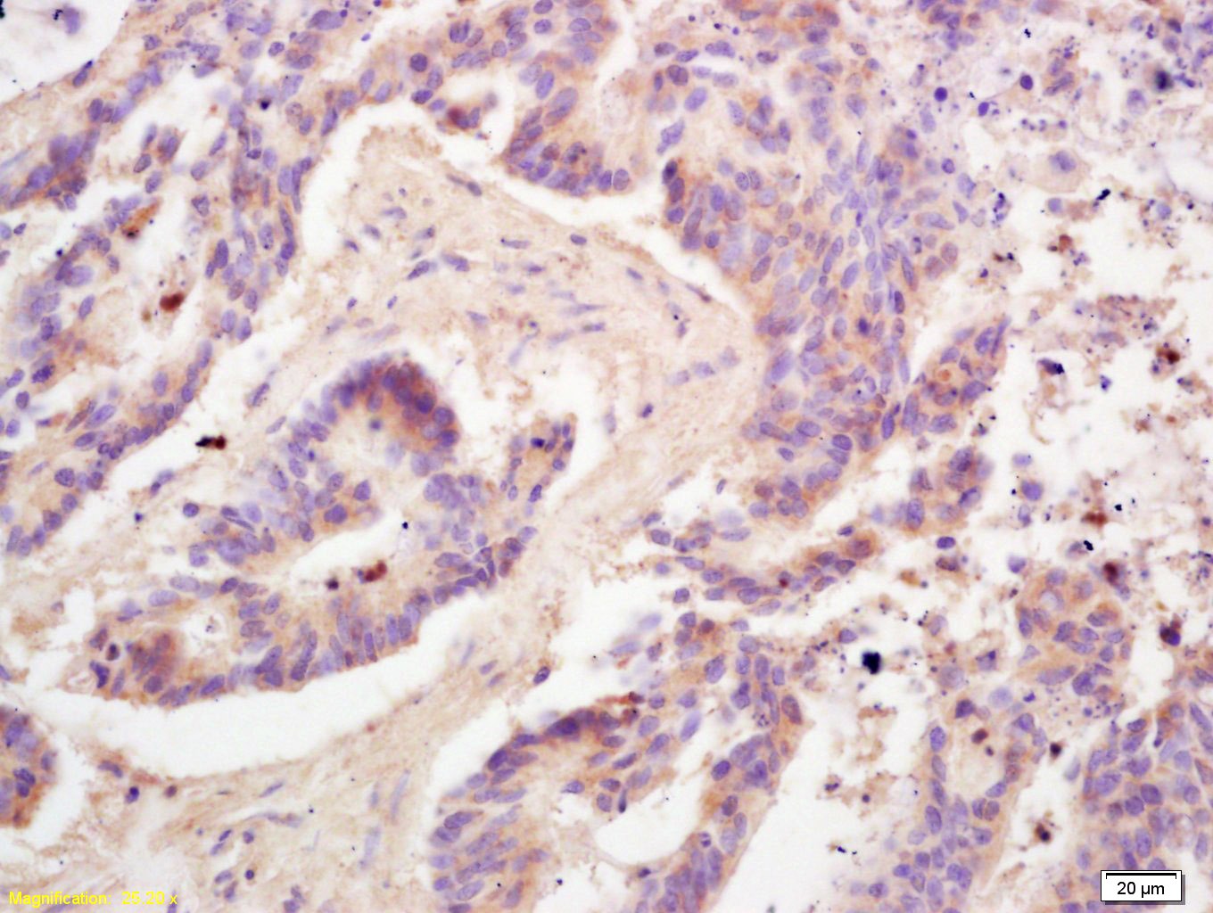
| Verified Activity | 1. Sample: muscle (Mouse) Lysate at 40 μg Primary: Anti-Adiponectin (TMAB-00063) at 1/300 dilution Secondary: IRDye800CW Goat Anti-Rabbit IgG at 1/20000 dilution Predicted band size: 30 kDa Observed band size: 30 kDa 2. Tissue/cell: human colon carcinoma; 4% Paraformaldehyde-fixed and paraffin-embedded; Antigen retrieval: citrate buffer (0.01M, pH6.0), Boiling bathing for 15 min; Block endogenous peroxidase by 3% Hydrogen peroxide for 30 min; Blocking buffer (normal goat serum) at 37°C for 20 min; Incubation: Anti-Adiponectin Polyclonal Antibody, Unconjugated (TMAB-00063) 1:200, overnight at 4°C, followed by conjugation to the secondary antibody and DAb staining. 3. Tissue/cell: mouse liver tissue; 4% Paraformaldehyde-fixed and paraffin-embedded; Antigen retrieval: citrate buffer (0.01M, pH6.0), Boiling bathing for 15 min; Block endogenous peroxidase by 3% Hydrogen peroxide for 30 min; Blocking buffer (normal goat serum) at 37°C for 20 min; Incubation: Anti-Adiponectin Polyclonal Antibody, Unconjugated (TMAB-00063) 1:200, overnight at 4°C, followed by conjugation to the secondary antibody and DAb staining. 4. Sample: Liver (Rat) Lysate at 40 μg Intestine (Mouse) Lysate at 40 μg Primary: Anti-Adiponectin (TMAB-00063) at 1/300 dilution Secondary: HRP conjugated Goat-Anti-rabbit IgG (secondary antibody) at 1/5000 dilution Predicted band size: 25 kDa Observed band size: 25 kDa 5. Sample: Heart (Mouse) Lysate at 40 μg Primary: Anti-Adiponectin (TMAB-00063) at 1/300 dilution Secondary: HRP conjugated Goat-Anti-rabbit IgG (secondary antibody) at 1/5000 dilution Predicted band size: 25 kDa Observed band size: 27 kDa ![]() ![]() ![]() ![]() ![]() |
| Application | |
| Recommended Dose | WB: 1:500-2000; IHC-P: 1:100-500; IHC-Fr: 1:100-500; IF: 1:100-500 |
| Antibody Type | Polyclonal |
| Host Species | Rabbit |
| Subcellular Localization | Secreted. |
| Tissue Specificity | Synthesized exclusively by adipocytes and secreted into plasma. |
| Construction | Polyclonal Antibody |
| Purification | Protein A purified |
| Appearance | Liquid |
| Formulation | 0.01M TBS (pH7.4) with 1% BSA, 0.02% Proclin300 and 50% Glycerol. |
| Concentration | 1 mg/mL |
| Research Background | Adiponectin: A protein hormone produced and secreted exclusively by adipocytes (fat cells) that regulates the metabolism of lipids and glucose. Adiponectin influences the body's response to insulin. Adiponectin also has antiinflammatory effects on the cells lining the walls of blood vessels. High blood levels of adiponectin are associated with a reduced risk of heart attack. Low levels of adiponectin are found in people who are obese (and who are at increased risk of a heart attack). Adipocytes produce and secrete a number of proteins, including leptin, adipsin, properdin, and tumor necrosis factor (TNF). An adipose tissue-specific factor was isolated and termed APM1 (AdiPose Most abundant gene transcript 1). The protein product of APM1 is adiponectin. The APM1 gene maps to chromosome 3q27. |
| Immunogen | KLH conjugated synthetic peptide: human Adiponectin |
| Antigen Species | Human |
| Gene Name | ADIPOQ |
| Gene ID | |
| Protein Name | Adiponectin |
| Uniprot ID | |
| Biology Area | Response to hypoxia,Diabetes associated,Acrp,Hypoxia,Diabetes,Heart disease,Metabolic disorders,Obesity,Metabolism,Hormones,Adipogenesis |
| Function | Important adipokine involved in the control of fat metabolism and insulin sensitivity, with direct anti-diabetic, anti-atherogenic and anti-inflammatory activities. Stimulates AMPK phosphorylation and activation in the liver and the skeletal muscle, enhancing glucose utilization and fatty-acid combustion. Antagonizes TNF-alpha by negatively regulating its expression in various tissues such as liver and macrophages, and also by counteracting its effects. Inhibits endothelial NF-kappa-B signaling through a cAMP-dependent pathway. May play a role in cell growth, angiogenesis and tissue remodeling by binding and sequestering various growth factors with distinct binding affinities, depending on the type of complex, LMW, MMW or HMW. |
| Molecular Weight | Theoretical: 25 kDa. Actual: 27 kDa. |
| Stability & Storage | Store at -20°C or -80°C for 12 months. Avoid repeated freeze-thaw cycles. |
| Transport | Shipping with blue ice. |
| Size | Quantity | Unit Price | Amount | Operation |
|---|

Copyright © 2015-2026 TargetMol Chemicals Inc. All Rights Reserved.