Shopping Cart
Remove All
Your shopping cart is currently empty
Anti-Uromodulin/Umod Polyclonal Antibody is a Rabbit antibody targeting Uromodulin/Umod. Anti-Uromodulin/Umod Polyclonal Antibody can be used in IF,IHC-Fr,IHC-P,WB.
| Pack Size | Price | USA Stock | Global Stock | Quantity |
|---|---|---|---|---|
| 50 μL | $221 | 7-10 days | 7-10 days | |
| 100 μL | $372 | 7-10 days | 7-10 days | |
| 200 μL | $528 | 7-10 days | 7-10 days |
| Description | Anti-Uromodulin/Umod Polyclonal Antibody is a Rabbit antibody targeting Uromodulin/Umod. Anti-Uromodulin/Umod Polyclonal Antibody can be used in IF,IHC-Fr,IHC-P,WB. |
| Synonyms | Uromodulin, Umod, Tamm-Horsfall urinary glycoprotein (THP) |
| Ig Type | IgG |
| Reactivity | Human,Mouse,Rat |
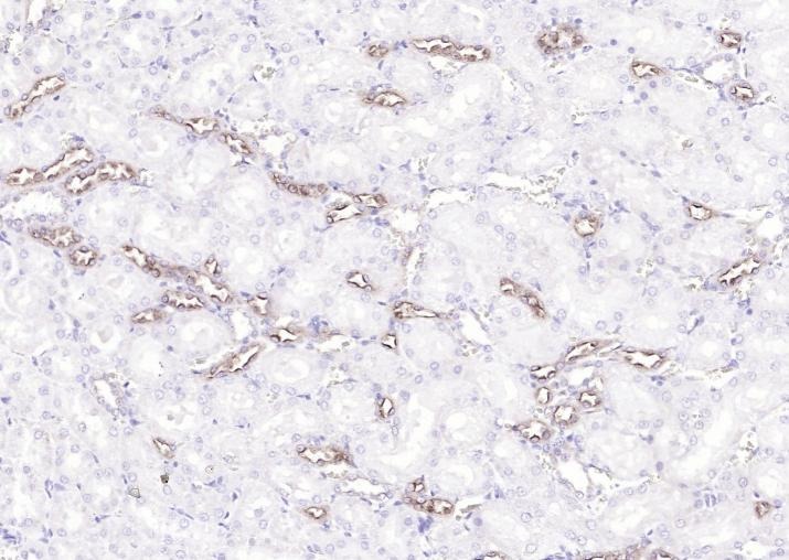
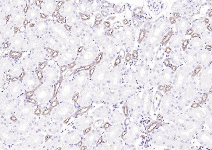
| Verified Activity | 1. Sample: Lane 1: Recombinant human UMOD protein, N-His Primary: Anti-UMOD (TMAB-01939) at 1/1000 dilution Secondary: IRDye800CW Goat Anti-Rabbit IgG at 1/20000 dilution Predicted band size: 69 kDa Observed band size: 37 kDa 2. Paraformaldehyde-fixed, paraffin embedded Rat Kidney; Antigen retrieval by boiling in sodium citrate buffer (pH6.0) for 15 min; Antibody incubation with UMOD Polyclonal Antibody, Unconjugated (TMAB-01939) at 1:200 overnight at 4°C, followed by conjugation to the secondary antibody and DAB staining. 3. Paraformaldehyde-fixed, paraffin embedded Mouse Kidney; Antigen retrieval by boiling in sodium citrate buffer (pH6.0) for 15 min; Antibody incubation with UMOD Polyclonal Antibody, Unconjugated (TMAB-01939) at 1:200 overnight at 4°C, followed by conjugation to the secondary antibody and DAB staining. ![]() ![]() ![]() |
| Application | |
| Recommended Dose | WB: 1:500-2000; IHC-P: 1:400-800; IHC-Fr: 1:400-800; IF: 1:100-500 |
| Antibody Type | Polyclonal |
| Host Species | Rabbit |
| Subcellular Localization | Apical cell membrane; Lipid-anchor, GPI-anchor (By similarity). Basolateral cell membrane; Lipid-anchor, GPI-anchor (By similarity). Cell projection, cilium membrane (By similarity). Note=Only a small fraction is sorts to the basolateral pole of tubular epithelial cells compared to apical localization (By similarity).Uromodulin, secreted form: Secreted (By similarity). |
| Tissue Specificity | Synthesized exclusively in the kidney.Expressed exclusively by epithelial cells of the thick ascendinglimb of Henle's loop (TALH) and of distal convoluted tubule lumen.Most abundant protein in normal urine. |
| Construction | Polyclonal Antibody |
| Purification | Protein A purified |
| Appearance | Liquid |
| Formulation | 0.01M TBS (pH7.4) with 1% BSA, 0.02% Proclin300 and 50% Glycerol. |
| Concentration | 1 mg/mL |
| Research Background | The protein encoded by this gene is the most abundant protein in mammalian urine under physiological conditions. Its excretion in urine follows proteolytic cleavage of the ectodomain of its glycosyl phosphatidylinosital-anchored counterpart that is situated on the luminal cell surface of the loop of Henle. This protein may act as a constitutive inhibitor of calcium crystallization in renal fluids. Excretion of this protein in urine may provide defense against urinary tract infections caused by uropathogenic bacteria. Defects in this gene are associated with the renal disorders medullary cystic kidney disease-2 (MCKD2), glomerulocystic kidney disease with hyperuricemia and isosthenuria (GCKDHI), and familial juvenile hyperuricemic nephropathy (FJHN). Alternative splicing of this gene results in multiple transcript variants. [provided by RefSeq, Jul 2013]. |
| Immunogen | KLH conjugated synthetic peptide: mouse UMOD |
| Antigen Species | Mouse |
| Gene Name | UMOD |
| Protein Name | Uromodulin |
| Biology Area | Other Antibodies |
| Function | Uromodulin: Functions in biogenesis and organization of the apical membrane of epithelial cells of the thick ascending limb of Henle's loop (TALH), where it promotes formation of complex filamentous gel-like structure providing the water barrier permeability. May serve as a receptor for binding and endocytosis for cytokines (IL-1, IL-2) and TNF. Facilitates neutrophil migration across renal epithelial (By similarity).Uromodulin, secreted form: Secreted into urine after proteolytically cleaveage. Into the urine, may contribute to colloid osmotic pressure, retards passage of positively charged electrolytes, prevents urinary tract infection and modulates formation of supersaturated salts and their crystals. |
| Molecular Weight | Theoretical: 61/65 kDa. Actual: 37 kDa. |
| Stability & Storage | Store at -20°C or -80°C for 12 months. Avoid repeated freeze-thaw cycles. |
| Transport | Shipping with blue ice. |
| Size | Quantity | Unit Price | Amount | Operation |
|---|

Copyright © 2015-2026 TargetMol Chemicals Inc. All Rights Reserved.