Shopping Cart
Remove All
Your shopping cart is currently empty
Anti-KISS1 Polyclonal Antibody is a Rabbit antibody targeting KISS1. Anti-KISS1 Polyclonal Antibody can be used in IF, IHC-Fr, IHC-P, WB.
| Pack Size | Price | USA Stock | Global Stock | Quantity |
|---|---|---|---|---|
| 50 μL | $220 | 7-10 days | 7-10 days | |
| 100 μL | $373 | 7-10 days | 7-10 days | |
| 200 μL | $527 | 7-10 days | 7-10 days |
| Description | Anti-KISS1 Polyclonal Antibody is a Rabbit antibody targeting KISS1. Anti-KISS1 Polyclonal Antibody can be used in IF, IHC-Fr, IHC-P, WB. |
| Synonyms | PP5098, Metastin, Metastasis-suppressor KiSS-1, Kisspeptin-54, Kisspeptin-14, Kisspeptin-13, Kisspeptin-10, Kisspeptin-1, Kisspeptin, KISS1 |
| Ig Type | IgG |
| Reactivity | Human,Mouse,Rat (predicted:Cow,Sheep,Pig) |
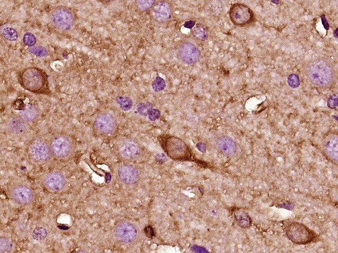
| Verified Activity | 1. Paraformaldehyde-fixed, paraffin embedded (Rat brain); Antigen retrieval by boiling in sodium citrate buffer (pH6.0) for 15 min; Block endogenous peroxidase by 3% hydrogen peroxide for 20 min; Blocking buffer (normal goat serum) at 37°C for 30 min; Antibody incubation with (Kisspeptin) Polyclonal Antibody, Unconjugated (TMAB-01022) at 1:400 overnight at 4°C, followed by operating according to SP Kit (Rabbit) instructionsand DAB staining. 2. Paraformaldehyde-fixed, paraffin embedded (Mouse brain); Antigen retrieval by boiling in sodium citrate buffer (pH6.0) for 15 min; Block endogenous peroxidase by 3% hydrogen peroxide for 20 min; Blocking buffer (normal goat serum) at 37°C for 30 min; Antibody incubation with (Kisspeptin) Polyclonal Antibody, Unconjugated (TMAB-01022) at 1:400 overnight at 4°C, followed by operating according to SP Kit (Rabbit) instructionsand DAB staining. 3. Sample: Lane 1: Human HeLa cell lysates Lane 2: Human SW480 cell lysates Lane 3: Human DU145 cell lysates Primary: Anti-KISS1 (TMAB-01022) at 1/1000 dilution Secondary: IRDye800CW Goat Anti-Rabbit IgG at 1/20000 dilution Predicted band size: 16 kDa Observed band size: 13 kDa ![]() ![]() ![]() |
| Application | |
| Recommended Dose | WB: 1:500-2000; IHC-P: 1:100-500; IHC-Fr: 1:100-500; IF: 1:100-500 |
| Antibody Type | Polyclonal |
| Host Species | Rabbit |
| Subcellular Localization | Secreted. |
| Tissue Specificity | Very high expression in placenta, with the next highest level in testis and moderate levels in pancreas, liver, small intestine and brain at much lower levels. Expression levels increased in both early placentas and molar pregnancies and are reduced in ch |
| Construction | Polyclonal Antibody |
| Purification | Protein A purified |
| Appearance | Liquid |
| Formulation | 0.01M TBS (pH7.4) with 1% BSA, 0.02% Proclin300 and 50% Glycerol. |
| Concentration | 1 mg/mL |
| Research Background | This gene is a metastasis suppressor gene that suppresses metastases of melanomas and breast carcinomas without affecting tumorigenicity. The encoded protein may inhibit chemotaxis and invasion and thereby attenuate metastasis in malignant melanomas. Studies suggest a putative role in the regulation of events downstream of cell-matrix adhesion, perhaps involving cytoskeletal reorganization. A protein product of this gene, kisspeptin, stimulates gonadotropin-releasing hormone (GnRH)-induced gonadotropin secretion and regulates the pubertal activation of GnRH nuerons. A polymorphism in the terminal exon of this mRNA results in two protein isoforms. An adenosine present at the polymorphic site represents the third position in a stop codon. When the adenosine is absent, a downstream stop codon is utilized and the encoded protein extends for an additional seven amino acid residues. [provided by RefSeq, Mar 2012] |
| Immunogen | KLH conjugated synthetic peptide: human Kiss-1 |
| Antigen Species | Human |
| Gene Name | KISS1 |
| Gene ID | |
| Protein Name | Metastasis-suppressor KiSS-1 |
| Uniprot ID | |
| Biology Area | Cell cycle inhibitors,Cell Cycle Inhibitors,Tumor Suppressors,Gonadotrophic axis |
| Function | Metastasis suppressor protein in malignant melanomas and in some breast cancers. May regulate events downstream of cell-matrix adhesion, perhaps involving cytoskeletal reorganization. Generates a C-terminally amidated peptide, metastin which functions as the endogenous ligand of the G-protein coupled receptor GPR54. Activation of the receptor inhibits cell proliferation and cell migration, key characteristics of tumor metastasis. Kp-10 is a decapeptide derived from the primary translation product, isolated in conditioned medium of first trimester trophoblast. Kp-10, but not other kisspeptins, increased intracellular Ca(2+) levels in isolated first trimester trophoblasts. Kp-10 is a paracrine/endocrine regulator in fine-tuning trophoblast invasion generated by the trophoblast itself. The receptor is also essential for normal gonadotropin-released hormone physiology and for puberty. The hypothalamic KiSS1/GPR54 system is a pivotal factor in central regulation of the gonadotropic axis at puberty and in adulthood. |
| Molecular Weight | Theoretical: 16 kDa. Actual: 13 kDa. |
| Stability & Storage | Store at -20°C or -80°C for 12 months. Avoid repeated freeze-thaw cycles. |
| Transport | Shipping with blue ice. |
| Size | Quantity | Unit Price | Amount | Operation |
|---|

Copyright © 2015-2026 TargetMol Chemicals Inc. All Rights Reserved.