Shopping Cart
Remove All
Your shopping cart is currently empty
Anti-Carbonic Anhydrase 1 Antibody (2E643) is a Rabbit antibody targeting Carbonic Anhydrase 1. Anti-Carbonic Anhydrase 1 Antibody (2E643) can be used in IHC,WB.
| Pack Size | Price | USA Warehouse | Global Warehouse | Quantity |
|---|---|---|---|---|
| 50 μL | $298 | 7-10 days | 7-10 days | |
| 100 μL | $498 | 7-10 days | 7-10 days |
| Description | Anti-Carbonic Anhydrase 1 Antibody (2E643) is a Rabbit antibody targeting Carbonic Anhydrase 1. Anti-Carbonic Anhydrase 1 Antibody (2E643) can be used in IHC,WB. |
| Ig Type | IgG |
| Clone | 2E643 |
| Reactivity | Human,Mouse,Rat |
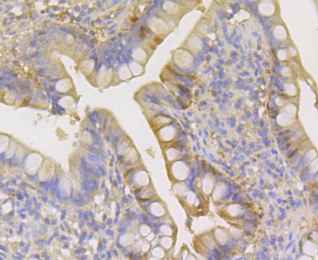
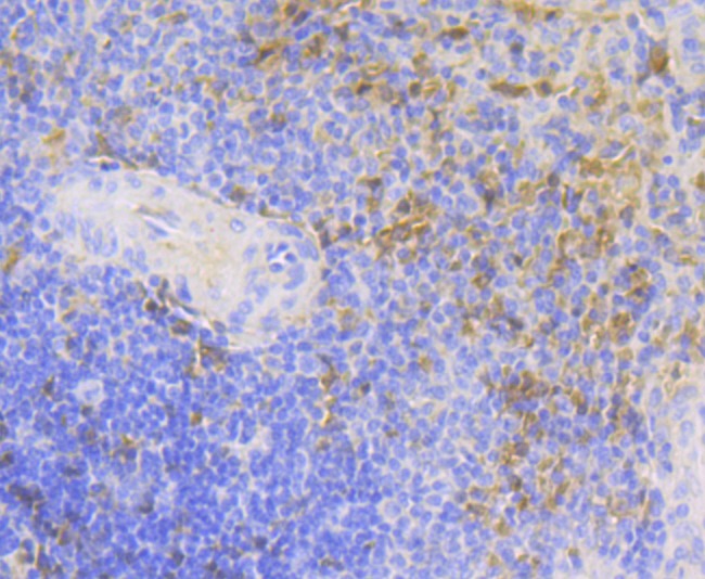
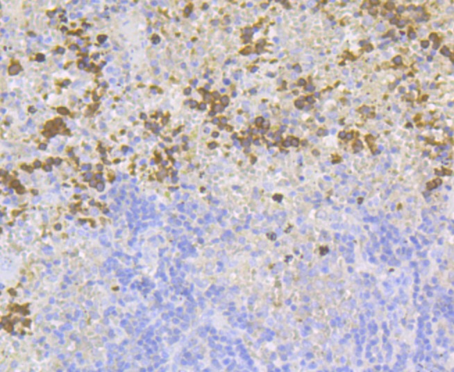
| Verified Activity | 1. Western blot analysis of Carbonic Anhydrase I on different lysates using anti-Carbonic Anhydrase I antibody at 1/1,000 dilution. Positive control: Lane 1: Human colon, Lane 2: Mouse spleen, Lane 3: Mouse colon. 2. Immunohistochemical analysis of paraffin-embedded human spleen tissue using anti-Carbonic Anhydrase I antibody. Counter stained with hematoxylin. 3. Immunohistochemical analysis of paraffin-embedded human small intestine tissue using anti-Carbonic Anhydrase I antibody. Counter stained with hematoxylin. 4. Immunohistochemical analysis of paraffin-embedded mouse spleen tissue using anti-Carbonic Anhydrase I antibody. Counter stained with hematoxylin. ![]() ![]() ![]() ![]() |
| Application | |
| Recommended Dose | WB: 1:500-2000; IHC: 1:50-200 |
| Antibody Type | Monoclonal |
| Host Species | Rabbit |
| Construction | Recombinant Antibody |
| Purification | ProA affinity purified |
| Appearance | Liquid |
| Formulation | 1*TBS (pH7.4), 1%BSA, 40%Glycerol. Preservative: 0.05% Sodium Azide. |
| Research Background | Carbonic anhydrases (CAs), also designated carbonate dehydratases or carbonate hydrolyases, form a large family of genes that encode zinc metalloenzymes of great physiologic importance. As catalysts of the reversible hydration of carbon dioxide, these enzymes participate in a variety of biologic processes, including respiration, acid-base balance, bone resorption and calcification as well as the formation of aqueous humor, cerebrospinal fluid, saliva and gastric acid. Genes in the α-carbonic anhydrase family encode either active carbonic anhydrase isozymes or "acatalytic" (devoid of CO2 hydration activity) carbonic anhydrase-related proteins. Human CA I (CA1) is encoded by the CA1 gene, which maps to a region on chromosome 8 that harbors a cluster of CA genes. CA I localizes to the cytoplasm and research indicates that a severe deficiency of CA I does not result in any obvious hematological or renal consequences. |
| Conjucates | Unconjugated |
| Immunogen | Recombinant Protein: human Carbonic Anhydrase I aa 1-200 |
| Antigen Species | human |
| Uniprot ID |
| Molecular Weight | Theoretical: 29 kDa. |
| Stability & Storage | Store at -20°C or -80°C for 12 months. Avoid repeated freeze-thaw cycles. |
| Transport | Shipping with blue ice. |
| Size | Quantity | Unit Price | Amount | Operation |
|---|

Copyright © 2015-2026 TargetMol Chemicals Inc. All Rights Reserved.