Shopping Cart
Remove All
Your shopping cart is currently empty
Anti-C14orf93 Antibody (8U54) is a Mouse antibody targeting C14orf93. Anti-C14orf93 Antibody (8U54) can be used in FCM,ICC,IHC,WB.
| Pack Size | Price | USA Warehouse | Global Warehouse | Quantity |
|---|---|---|---|---|
| 50 μL | $298 | 7-10 days | 7-10 days | |
| 100 μL | $428 | 7-10 days | 7-10 days |
| Description | Anti-C14orf93 Antibody (8U54) is a Mouse antibody targeting C14orf93. Anti-C14orf93 Antibody (8U54) can be used in FCM,ICC,IHC,WB. |
| Synonyms | Uncharacterized protein C14orf93 homolog, Uncharacterized protein C14orf93, CN093_HUMAN, C14orf93 |
| Clone | 8U54 |
| Reactivity | Human |
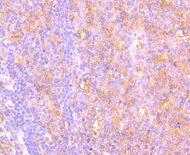
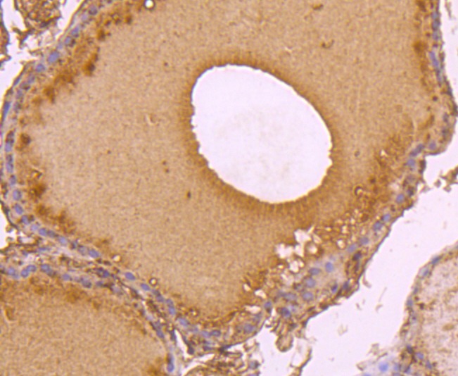
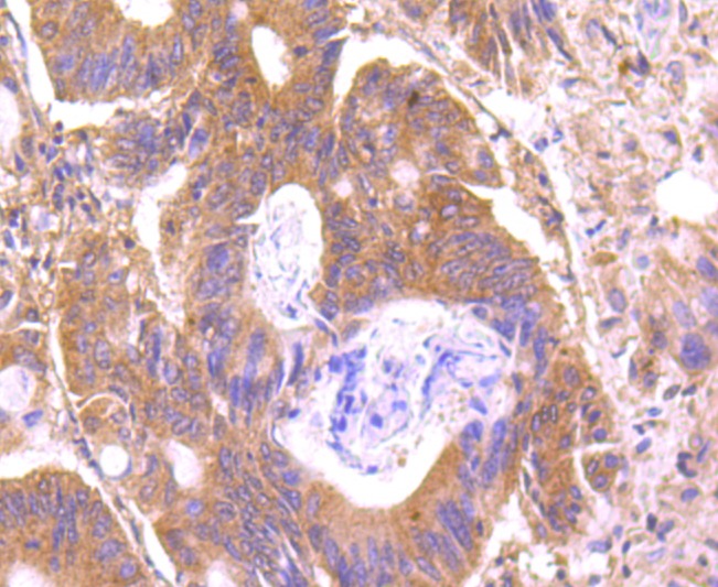
| Verified Activity | 1. Western blot analysis of C14orf93 on C14orf93-GST recombinant protein lysate using anti-C14orf93 antibody at 1/1,000 dilution. 2. Immunohistochemical analysis of paraffin-embedded human spleen tissue using anti-C14orf93 antibody. Counter stained with hematoxylin. 3. Immunohistochemical analysis of paraffin-embedded human colon cancer tissue using anti-C14orf93 antibody. Counter stained with hematoxylin. 4. Immunohistochemical analysis of paraffin-embedded human thyroid tissue using anti-C14orf93 antibody. Counter stained with hematoxylin. 5. ICC staining C14orf93 in HepG2 cells (green). The nuclear counter stain is DAPI (blue). Cells were fixed in paraformaldehyde, permeabilised with 0.25% Triton X100/PBS. 6. Flow cytometric analysis of SH-SY5Y cells with C14orf93 antibody at 1/100 dilution (red) compared with an unlabelled control (cells without incubation with primary antibody; black). ![]() ![]() ![]() ![]() ![]() ![]() |
| Application | |
| Recommended Dose | WB: 1:500-1000; IHC: 1:50-200; ICC: 1:50-200; FCM: 1:50-200 |
| Antibody Type | Monoclonal |
| Host Species | Mouse |
| Construction | Hybridoma Monoclonal Antibody |
| Purification | ProA affinity purified |
| Appearance | Liquid |
| Formulation | 1*TBS (pH7.4), 0.5%BSA, 50%Glycerol. Preservative: 0.05% Sodium Azide. |
| Research Background | C14orf93 (also named as Regulator of Thyroid Function and Cancer, RTFC) as a novel susceptibility gene for familial nonmedullary thyroid cancer.The oncogenic functions of R115Q, V205M, and G209D RTFC mutants are demonstrated by cell surviving assay, migration assay, and colony forming assays. Moreover, RTFC has been identified as a potential antigen associated with the pathogenesis of peripheral T-cell lymphomas, not otherwise specified (PTCL, NOS). Two in vitro biochemical screens suggested that RTFC might have RNA and phosphopeptide (pSer/pThr-X-X-X-pSer/pThr) binding activities. Yet, the role of RTFC in normal development, as well as the molecular function of RTFC, remain unexplored. |
| Conjucates | Unconjugated |
| Immunogen | Recombinant Protein |
| Uniprot ID |
| Molecular Weight | Theoretical: 57 kDa. |
| Stability & Storage | Store at -20°C or -80°C for 12 months. Avoid repeated freeze-thaw cycles. |
| Transport | Shipping with blue ice. |
| Size | Quantity | Unit Price | Amount | Operation |
|---|

Copyright © 2015-2026 TargetMol Chemicals Inc. All Rights Reserved.