Shopping Cart
Remove All
Your shopping cart is currently empty
Goat Anti-Rabbit IgG H&L Secondary Antibody-HRP is a HRP-conjugated Goat antibody targeting IgG H&L. Goat Anti-Rabbit IgG H&L Secondary Antibody-HRP can be used in ELISA,IHC-F,IHC-P,WB.
| Pack Size | Price | USA Warehouse | Global Warehouse | Quantity |
|---|---|---|---|---|
| 100 μL | $175 | 7-10 days | 7-10 days | |
| 1 mL | $1,190 | 7-10 days | 7-10 days |
| Description | Goat Anti-Rabbit IgG H&L Secondary Antibody-HRP is a HRP-conjugated Goat antibody targeting IgG H&L. Goat Anti-Rabbit IgG H&L Secondary Antibody-HRP can be used in ELISA,IHC-F,IHC-P,WB. |
| Synonyms | Immunoglobulin G, Goat Anti-Rabbit IgG H&L (HRP) |
| Ig Type | IgG |
| Reactivity | Rabbit |
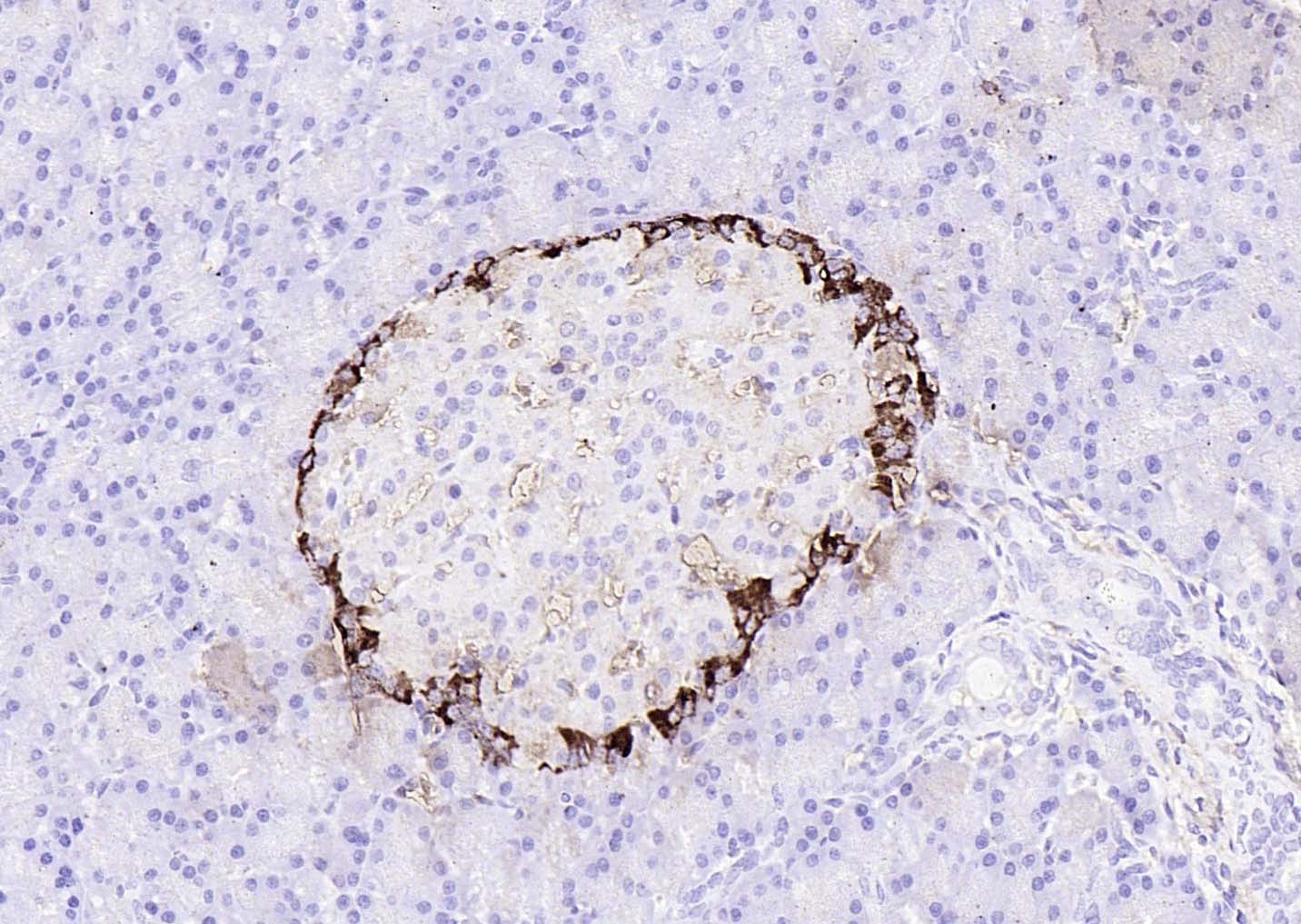
| Verified Activity | 1. Paraformaldehyde-fixed, paraffin embedded (mouse pancreas); Antigen retrieval by boiling in sodium citrate buffer (pH6.0) for 15 min; Block endogenous peroxidase by 3% hydrogen peroxide for 20 minutes; Blocking buffer (normal goat serum) at 37°C for 30 min; Antibody incubation with (Glucagon) Polyclonal Antibody, Unconjugated at 1:200 overnight at 4°C, followed by operating according to SP Kit (Rabbit) (TMAB-02008H 1:300) instructionsand DAB staining.
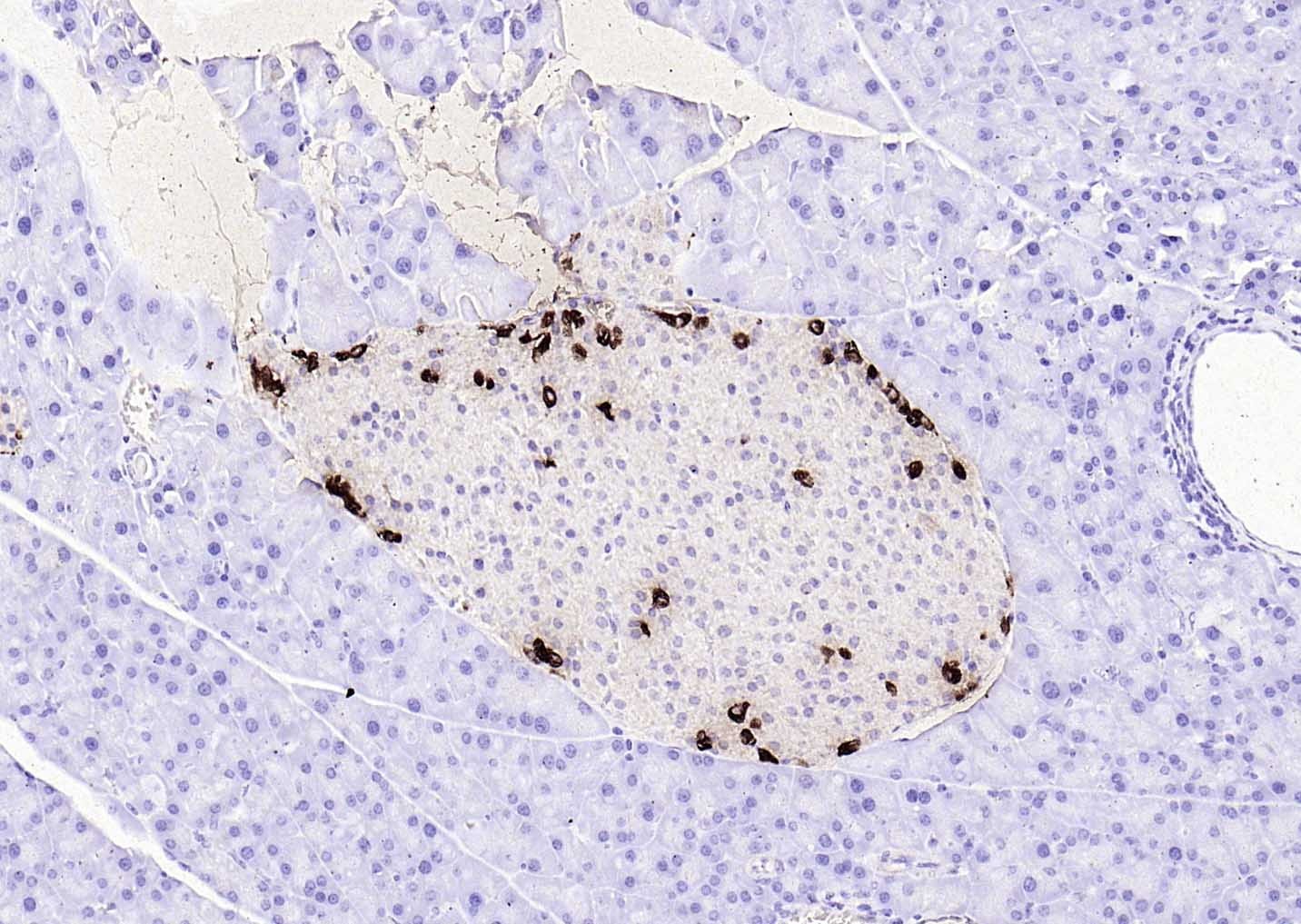
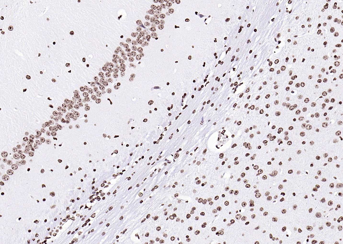
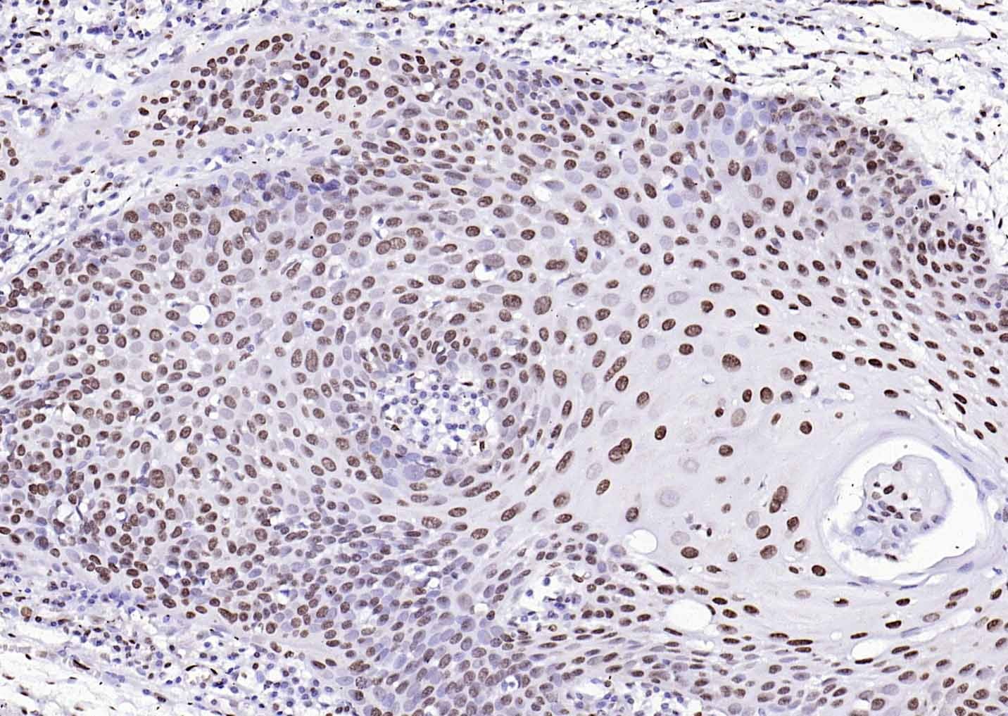
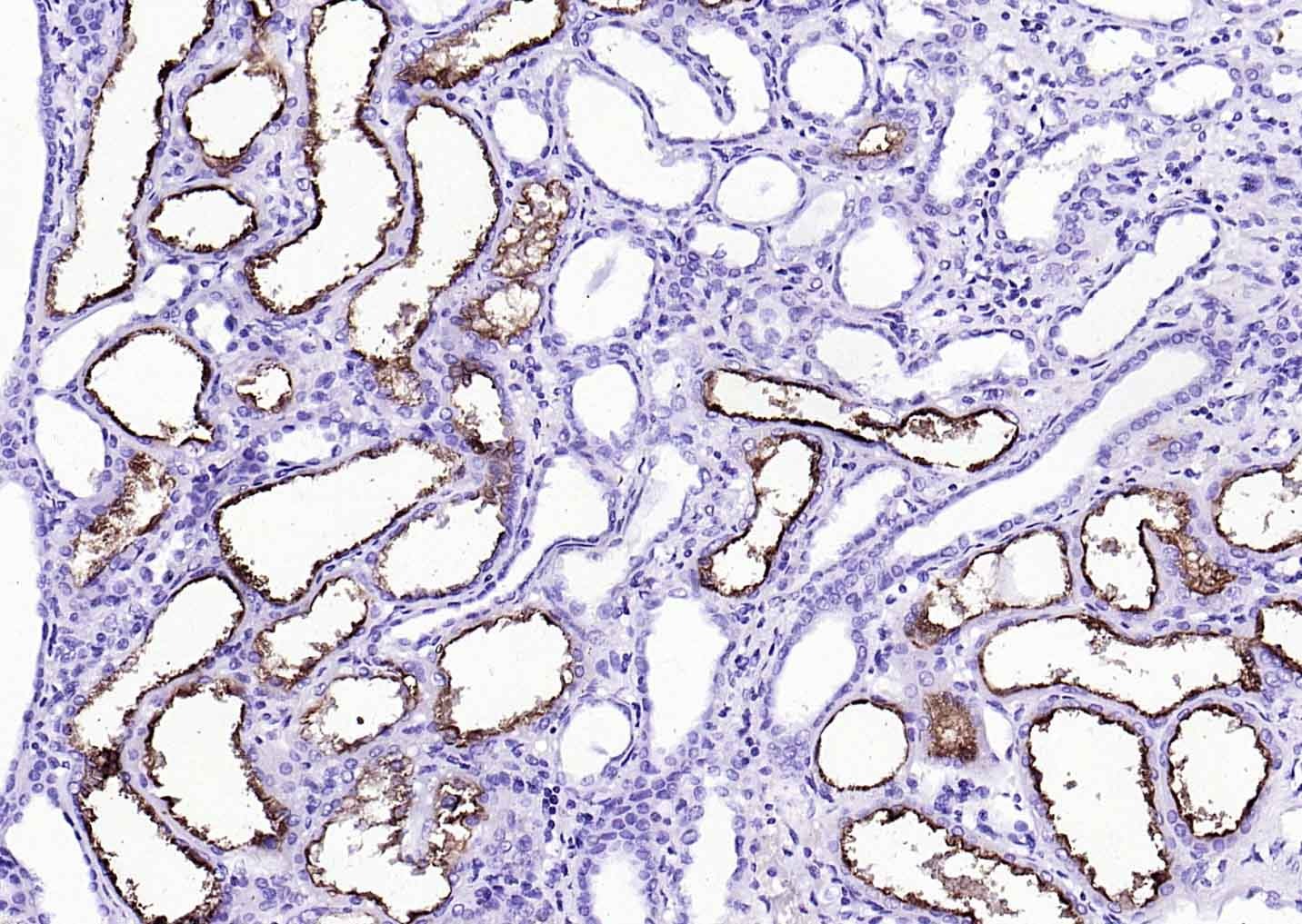
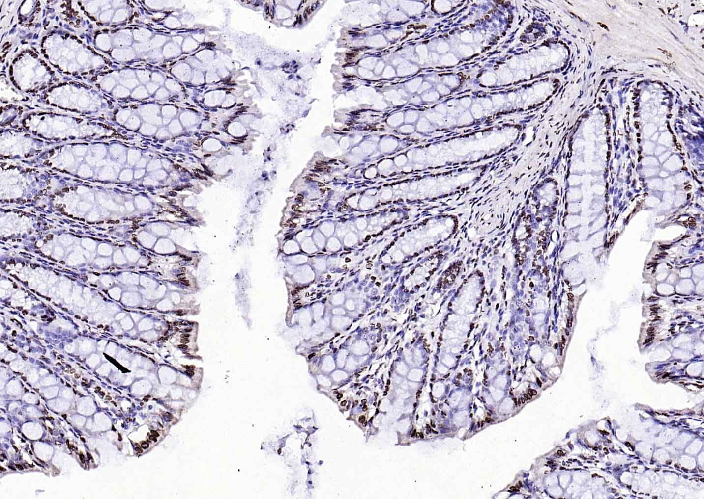
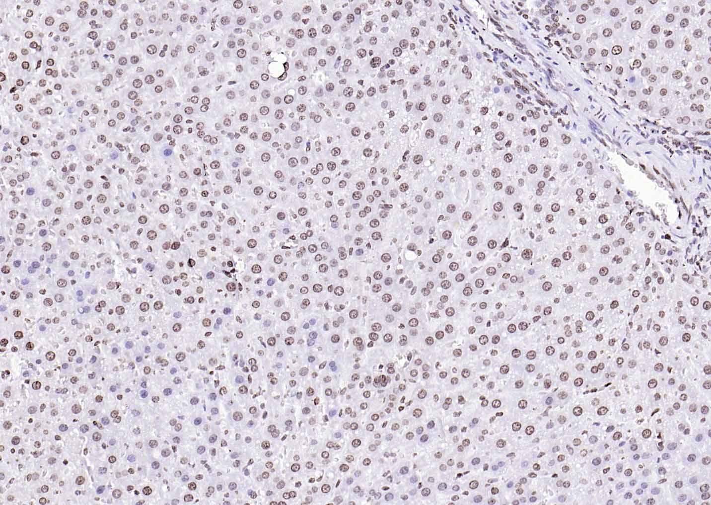
2. Paraformaldehyde-fixed, paraffin embedded (rat pancreas); Antigen retrieval by boiling in sodium citrate buffer (pH6.0) for 15 min; Block endogenous peroxidase by 3% hydrogen peroxide for 20 minutes; Blocking buffer (normal goat serum) at 37°C for 30 min; Antibody incubation with (Glucagon) Polyclonal Antibody, Unconjugated at 1:200 overnight at 4°C, followed by operating according to SP Kit (Rabbit) (TMAB-02008H 1:300) instructionsand DAB staining. 3. Paraformaldehyde-fixed, paraffin embedded (Human kidney cancer); Antigen retrieval by boiling in sodium citrate buffer (pH6.0) for 15 min; Block endogenous peroxidase by 3% hydrogen peroxide for 20 minutes; Blocking buffer (normal goat serum) at 37°C for 30 min; Antibody incubation with (ACE2) Polyclonal Antibody, Unconjugated at 1:200 overnight at 4°C, followed by operating according to SP Kit (Rabbit) (TMAB-02008H 1:300) instructionsand DAB staining. 4. Paraformaldehyde-fixed, paraffin embedded (mouse liver); Antigen retrieval by boiling in sodium citrate buffer (pH6.0) for 15 min; Block endogenous peroxidase by 3% hydrogen peroxide for 20 minutes; Blocking buffer (normal goat serum) at 37°C for 30 min; Antibody incubation with (Histone H3 (Nuclear Loading Control)) Polyclonal Antibody, Unconjugated at 1:200 overnight at 4°C, followed by operating according to SP Kit (Rabbit) (TMAB-02008H 1:100) instructionsand DAB staining. 5. Paraformaldehyde-fixed, paraffin embedded (mouse colon); Antigen retrieval by boiling in sodium citrate buffer (pH6.0) for 15 min; Block endogenous peroxidase by 3% hydrogen peroxide for 20 minutes; Blocking buffer (normal goat serum) at 37°C for 30 min; Antibody incubation with (Histone H3 (Nuclear Loading Control)) Polyclonal Antibody, Unconjugated at 1:200 overnight at 4°C, followed by operating according to SP Kit (Rabbit) (TMAB-02008H 1:100) instructionsand DAB staining. 6. Paraformaldehyde-fixed, paraffin embedded (rat liver); Antigen retrieval by boiling in sodium citrate buffer (pH6.0) for 15 min; Block endogenous peroxidase by 3% hydrogen peroxide for 20 minutes; Blocking buffer (normal goat serum) at 37°C for 30 min; Antibody incubation with (Histone H3 (Nuclear Loading Control)) Polyclonal Antibody, Unconjugated at 1:200 overnight at 4°C, followed by operating according to SP Kit (Rabbit) (TMAB-02008H 1:100) instructionsand DAB staining. 7. Paraformaldehyde-fixed, paraffin embedded (rat colon); Antigen retrieval by boiling in sodium citrate buffer (pH6.0) for 15 min; Block endogenous peroxidase by 3% hydrogen peroxide for 20 minutes; Blocking buffer (normal goat serum) at 37°C for 30 min; Antibody incubation with (Histone H3 (Nuclear Loading Control)) Polyclonal Antibody, Unconjugated at 1:200 overnight at 4°C, followed by operating according to SP Kit (Rabbit) (TMAB-02008H 1:100) instructionsand DAB staining. 8. Paraformaldehyde-fixed, paraffin embedded (mouse brain); Antigen retrieval by boiling in sodium citrate buffer (pH6.0) for 15 min; Block endogenous peroxidase by 3% hydrogen peroxide for 20 minutes; Blocking buffer (normal goat serum) at 37°C for 30 min; Antibody incubation with (Histone H3 (Nuclear Loading Control)) Polyclonal Antibody, Unconjugated at 1:200 overnight at 4°C, followed by operating according to SP Kit (Rabbit) (TMAB-02008H 1:100) instructionsand DAB staining. 9. Paraformaldehyde-fixed, paraffin embedded (rat brain); Antigen retrieval by boiling in sodium citrate buffer (pH6.0) for 15 min; Block endogenous peroxidase by 3% hydrogen peroxide for 20 minutes; Blocking buffer (normal goat serum) at 37°C for 30 min; Antibody incubation with (Histone H3 (Nuclear Loading Control)) Polyclonal Antibody, Unconjugated at 1:200 overnight at 4°C, followed by operating according to SP Kit (Rabbit) (TMAB-02008H 1:100) instructionsand DAB staining. 10. Paraformaldehyde-fixed, paraffin embedded (human laryngeal carcinoma); Antigen retrieval by boiling in sodium citrate buffer (pH6.0) for 15 min; Block endogenous peroxidase by 3% hydrogen peroxide for 20 minutes; Blocking buffer (normal goat serum) at 37°C for 30 min; Antibody incubation with (Histone H3 (Nuclear Loading Control)) Polyclonal Antibody, Unconjugated at 1:200 overnight at 4°C, followed by operating according to SP Kit (Rabbit) (TMAB-02008H 1:100) instructionsand DAB staining. 11. Immobilized rabbit IgG (nothing else) at 0.2μg/well can bind Goat Anti-Rabbit IgG H&L/HRP antibody (TMAB-02008H). 12. Sample: Lane 1: SH-SY5Y (Human) Cell Lysate Lane 2: MCF-7 (Human) Cell Lysate Primary: Anti-GAPDH at 1/20000 dilution Secondary: Goat Anti-Rabbit IgG H&L-HRP at 1/20000 dilution Predicted band size: 38 kD Observed band size: 38 kD ![]() ![]() ![]() ![]() ![]() ![]() ![]() ![]() ![]() ![]() ![]() ![]() |
| Application | |
| Recommended Dose | WB: 1:2000-20000; IHC-P: 1:200-1000; IHC-F: 1:200-1000; ELISA: 1:2000-20000 |
| Antibody Type | Polyclonal |
| Host Species | Goat |
| Construction | Polyclonal Antibody |
| Purification | Affinity purified by Protein G, nonspecific adsorbed |
| Appearance | Liquid |
| Formulation | 10 mM TBS (pH=7.4) with 1% BSA, 0.03% Proclin300 and 50% glycerol. |
| Concentration | 2.0 mg/ml |
| Research Background | Immunoglobulin G (IgG), is one of the most abundant proteins in serum with normal levels between 8-17 mg/mL in adult blood. IgG is important for our defence against microorganisms and the molecules are produced by B lymphocytes as a part of our adaptive immune response. The IgG molecule has two separate functions; to bind to the pathogen that elicited the response and to recruit other cells and molecules to destroy the antigen. The variability of the IgG pool is generated by somatic recombination and the number of specificities in an individual at a given time point is estimated to be 1011 variants. |
| Immunogen | Native Rabbit IgG |
| Color | Transparent |
| Appearance | Liquid |
| Stability & Storage | Store at -20°C or -80°C for 12 months. Avoid repeated freeze-thaw cycles. |
| Transport | Shipping with blue ice. |
| Size | Quantity | Unit Price | Amount | Operation |
|---|

Copyright © 2015-2026 TargetMol Chemicals Inc. All Rights Reserved.