Shopping Cart
Remove All
Your shopping cart is currently empty
Beta-Actin Loading Control Antibody (1W773) is a Mouse antibody targeting Beta-Actin. Beta-Actin Loading Control Antibody (1W773) can be used in IF, IHC-Fr, IHC-P, WB.

| Pack Size | Price | USA Stock | Global Stock | Quantity |
|---|---|---|---|---|
| 100 μL | $107 | 7-10 days | 7-10 days | |
| 200 μL | $183 | 7-10 days | 7-10 days | |
| 500 μL | $426 | 7-10 days | 7-10 days | |
| 1 mL | $806 | 7-10 days | 7-10 days |
| Description | Beta-Actin Loading Control Antibody (1W773) is a Mouse antibody targeting Beta-Actin. Beta-Actin Loading Control Antibody (1W773) can be used in IF, IHC-Fr, IHC-P, WB. |
| Synonyms | β-Actin Protein, β-actin, Beta-Actin, Actin Cytoplasmic 1, ACTB |
| Ig Type | IgG |
| Clone | 1W773 |
| Reactivity | Human,Mouse,Rat (predicted:Chicken,Dog,Rabbit,Hamster,Monkey) |
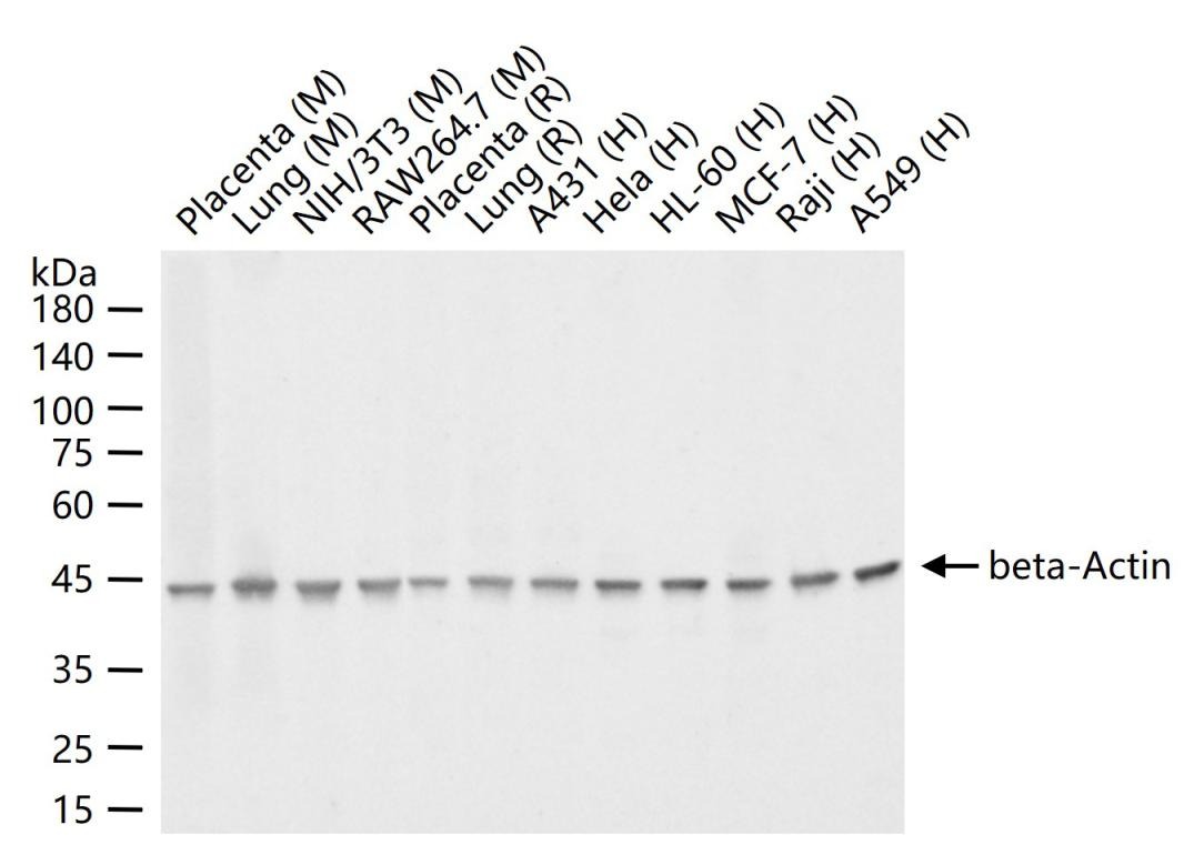
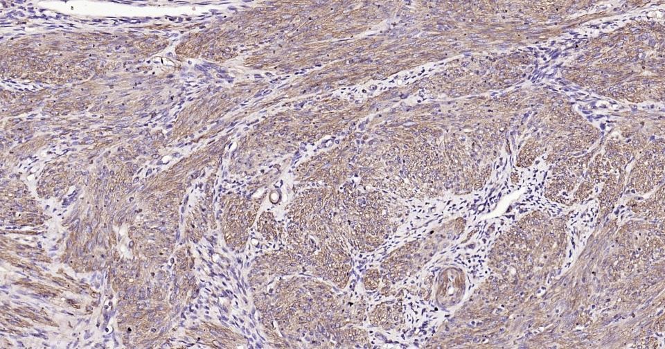
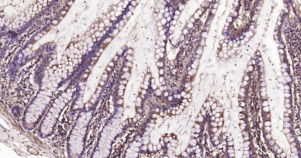
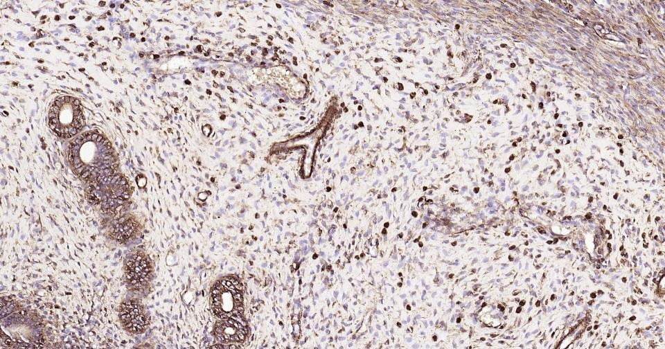
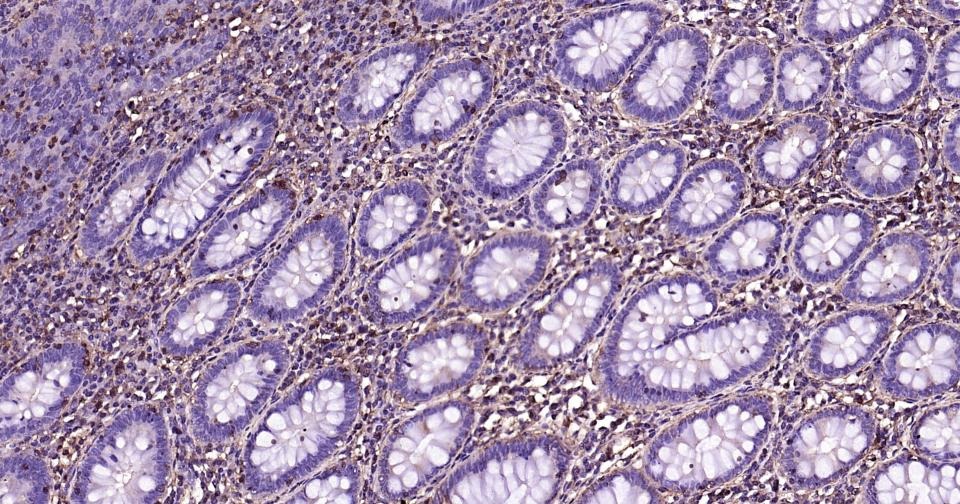
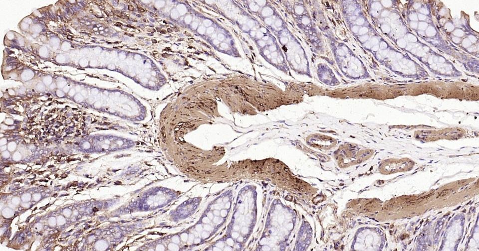
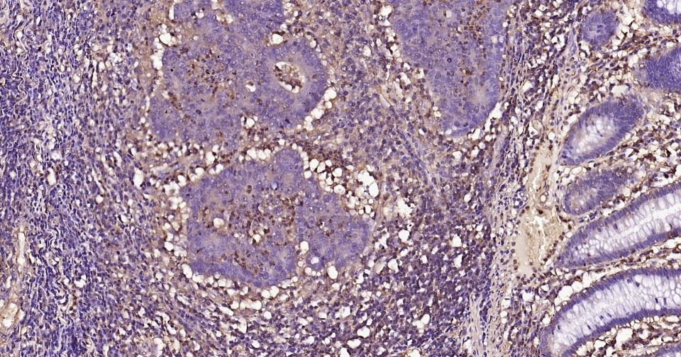
| Verified Activity | 1. 25 μg total protein per Lane of various lysates probed with beta-Actin monoclonal antibody, unconjugated (TMAB-00215) at 1:1000 dilution and 4°C overnight incubation. Followed by conjugated secondary antibody incubation at RT for 60 min. 2. Paraformaldehyde-fixed, paraffin embedded Rat Uterus; Antigen retrieval by boiling in sodium citrate buffer (pH6.0) for 15 min; Antibody incubation with beta-Actin Monoclonal Antibody, Unconjugated (TMAB-00215) at 1:200 overnight at 4°C, followed by conjugation to the SP Kit (Mouse) and DAB staining. 3. Paraformaldehyde-fixed, paraffin embedded Human Uterus; Antigen retrieval by boiling in sodium citrate buffer (pH6.0) for 15 min; Antibody incubation with beta-Actin Monoclonal Antibody, Unconjugated (ascites of TMAB-00215) at 1:1500 overnight at 4°C, followed by conjugation to the SP Kit (Mouse) and DAB staining. 4. Paraformaldehyde-fixed, paraffin embedded Human Colon Cancer; Antigen retrieval by boiling in sodium citrate buffer (pH6.0) for 15 min; Antibody incubation with beta-Actin Monoclonal Antibody, Unconjugated (TMAB-00215) at 1:200 overnight at 4°C, followed by conjugation to the SP Kit (Mouse) and DAB staining. 5. Paraformaldehyde-fixed, paraffin embedded Rat Colon; Antigen retrieval by boiling in sodium citrate buffer (pH6.0) for 15 min; Antibody incubation with beta-Actin Monoclonal Antibody, Unconjugated (ascites of TMAB-00215) at 1:1500 overnight at 4°C, followed by conjugation to the SP Kit (Mouse) and DAB staining. 6. Paraformaldehyde-fixed, paraffin embedded Human Colon; Antigen retrieval by boiling in sodium citrate buffer (pH6.0) for 15 min; Antibody incubation with beta-Actin Monoclonal Antibody, Unconjugated (ascites of TMAB-00215) at 1:1500 overnight at 4°C, followed by conjugation to the SP Kit (Mouse) and DAB staining. 7. Paraformaldehyde-fixed, paraffin embedded Human Small Intestine; Antigen retrieval by boiling in sodium citrate buffer (pH6.0) for 15 min; Antibody incubation with beta-Actin Monoclonal Antibody, Unconjugated (ascites of TMAB-00215) at 1:1500 overnight at 4°C, followed by conjugation to the SP Kit (Mouse) and DAB staining. 8. Paraformaldehyde-fixed, paraffin embedded Human Small Intestine; Antigen retrieval by boiling in sodium citrate buffer (pH6.0) for 15 min; Antibody incubation with beta-Actin Monoclonal Antibody, Unconjugated (TMAB-00215) at 1:1000 overnight at 4°C. Followed by conjugated Goat Anti-Mouse IgG antibody (green), DAPI (blue) was used to stain the cell nucleus. 9. Paraformaldehyde-fixed, paraffin embedded Human Colon; Antigen retrieval by boiling in sodium citrate buffer (pH6.0) for 15 min; Antibody incubation with beta-Actin Monoclonal Antibody, Unconjugated (TMAB-00215) at 1:1000 overnight at 4°C. Followed by conjugated Goat Anti-Mouse IgG antibody (green), DAPI (blue) was used to stain the cell nucleus. ![]() ![]() ![]() ![]() ![]() ![]() ![]() ![]() ![]() |
| Application | |
| Recommended Dose | IF=1:200-2000; IHC-Fr=1:200-2000; IHC-P=1:200-2000; WB=1:1000-5000 |
| Antibody Type | Monoclonal |
| Host Species | Mouse |
| Subcellular Localization | Cytoplasm, cytoskeleton. |
| Tissue Specificity | Ubiquitously expressed in all eukaryotic cells. |
| Construction | Hybridoma Monoclonal Antibody |
| Purification | Protein G purified |
| Appearance | Liquid |
| Formulation | 0.01M TBS (pH7.4) with 1% BSA, 0.02% Proclin300 and 50% Glycerol. |
| Concentration | 1 mg/mL |
| Research Background | Actin is a highly conserved protein and an essential component of cell cytoskeleton and plays an important role in cytoplasmic streaming, cell shape determination, cell division, organelle movement and extension growth. Preferentially expressed in young and expanding tissues, floral organ primordia, developing seeds and emerging inflorescence. Antibodies against plant Actin are useful as loading controls for Western Blotting. |
| Immunogen | Synthetic MAP peptide: human beta-Actin |
| Antigen Species | Human |
| Gene Name | ACTB |
| Gene ID | |
| Protein Name | Actin, cytoplasmic 1 |
| Uniprot ID | |
| Biology Area | Actin,Actin,Beta Actin |
| Function | Actins are highly conserved proteins that are involved in various types of cell motility and are ubiquitously expressed in all eukaryotic cells. |
| Molecular Weight | Theoretical: 42 kDa. Actual: 42 kDa. |
| Stability & Storage | Store at -20°C or -80°C for 12 months. Avoid repeated freeze-thaw cycles. |
| Transport | Shipping with blue ice. |
| Size | Quantity | Unit Price | Amount | Operation |
|---|

Copyright © 2015-2026 TargetMol Chemicals Inc. All Rights Reserved.