Shopping Cart
Remove All
Your shopping cart is currently empty
Anti-Tryptophan Hydroxylase 1/TPH-1 Antibody (9H209) is a Rabbit antibody targeting Tryptophan Hydroxylase 1/TPH-1. Anti-Tryptophan Hydroxylase 1/TPH-1 Antibody (9H209) can be used in FCM,ICC/IF,IHC,IP,WB.
| Pack Size | Price | USA Warehouse | Global Warehouse | Quantity |
|---|---|---|---|---|
| 50 μL | $297 | 7-10 days | 7-10 days | |
| 100 μL | $497 | 7-10 days | 7-10 days |
| Description | Anti-Tryptophan Hydroxylase 1/TPH-1 Antibody (9H209) is a Rabbit antibody targeting Tryptophan Hydroxylase 1/TPH-1. Anti-Tryptophan Hydroxylase 1/TPH-1 Antibody (9H209) can be used in FCM,ICC/IF,IHC,IP,WB. |
| Synonyms | tryptophan hydroxylase 1, TRPH, TPRH |
| Ig Type | IgG |
| Clone | 9H209 |
| Reactivity | Human,Mouse,Rat |
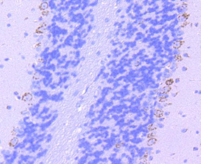
| Verified Activity | 1. Immunohistochemical analysis of paraffin-embedded rat brain tissue using anti-TPH1 antibody. Counter stained with hematoxylin. 2. Immunohistochemical analysis of paraffin-embedded mouse cerebellum tissue using anti-TPH1 antibody. Counter stained with hematoxylin. 3. Flow cytometric analysis of Hela cells with TPH1 antibody at 1/50 dilution (red) compared with an unlabelled control (cells without incubation with primary antibody; black). Alexa Fluor 488-conjugated goat anti rabbit IgG was used as the secondary antibody. ![]() ![]() ![]() |
| Application | |
| Recommended Dose | WB: 1:1000; IHC: 1:50-200; ICC/IF: 1:50-200; FCM: 1:50-100 |
| Antibody Type | Monoclonal |
| Host Species | Rabbit |
| Construction | Recombinant Antibody |
| Purification | ProA affinity purified |
| Appearance | Liquid |
| Formulation | 1*TBS (pH7.4), 1%BSA, 40%Glycerol. Preservative: 0.05% Sodium Azide. |
| Research Background | Phenylalanine hydroxylase (PAH), tyrosine hydroxylase (TH) and tryptophan hydroxylase (TPH) comprise a small family of monooxygenases that use tetrahydropterine as a cofactor during the catabolism of aromatic L-amino acids. PAH, TH and TPH all contain catalytic domains with an amino-terminal regulatory domain and a short carboxy-terminal tetramerization domain. Each of these enzymes also contains a single ferrous iron atom, which is bound to two histidines and a glutamate and is likely to be involved in the formation of the hydroxylating intermediate. TPH is the first and rate-limiting step in the biosynthesis of serotonin in the central nervous system and melatonin in the pineal gland. Alteration of TPH function may be a key factor in the pathology of several neuropsychiatric disorders associated with serotonin, including depression, aggression, alcoholism and schizophrenia. For instance, L-DOPA, which is used as a common therapy for Parkinson??s disease (PD) patients, inhibits TPH function, which subsequently, is thought to contribute to the onset of depression in PD patients. |
| Conjucates | Unconjugated |
| Immunogen | Recombinant Protein |
| Uniprot ID |
| Molecular Weight | Theoretical: 51 kDa. |
| Stability & Storage | Store at -20°C or -80°C for 12 months. Avoid repeated freeze-thaw cycles. |
| Transport | Shipping with blue ice. |
| Size | Quantity | Unit Price | Amount | Operation |
|---|

Copyright © 2015-2026 TargetMol Chemicals Inc. All Rights Reserved.