Shopping Cart
Remove All
Your shopping cart is currently empty
Anti-TRIM63 Antibody (5C208) is a Mouse antibody targeting TRIM63. Anti-TRIM63 Antibody (5C208) can be used in FCM,ICC,IHC.
| Pack Size | Price | USA Warehouse | Global Warehouse | Quantity |
|---|---|---|---|---|
| 50 μL | $296 | 7-10 days | 7-10 days | |
| 100 μL | $498 | 7-10 days | 7-10 days |
| Description | Anti-TRIM63 Antibody (5C208) is a Mouse antibody targeting TRIM63. Anti-TRIM63 Antibody (5C208) can be used in FCM,ICC,IHC. |
| Synonyms | Tripartite motif-containing protein 63, TRIM 63, Striated muscle RING zinc finger protein, SMRZ, RNF 28, RING-type E3 ubiquitin transferase TRIM63, Muscle-specific RING finger protein 1 (MuRF-1, MuRF1), MuRF1, MURF1, Iris RING finger protein, IRF, E3 ubiquitin-protein ligase TRIM63 |
| Clone | 5C208 |
| Reactivity | Human |
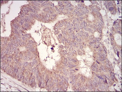
| Verified Activity | 1. Immunohistochemical analysis of paraffin-embedded human rectum cancer tissues using anti-MuRF1 antibody. Counter stained with hematoxylin. 2. Immunohistochemical analysis of paraffin-embedded huamn muscle tissues using anti-MuRF1 antibody. Counter stained with hematoxylin. 3. ICC staining MuRF1(green) and Actin filaments (red) in Hela cells. The nuclear counter stain is DAPI (blue). Cells were fixed in paraformaldehyde, permeabilised with 0.25% Triton X100/PBS. 4. Flow cytometric analysis of Hela cells with MuRF1 antibody at 1/100 dilution (green) compared with an unlabelled control (cells without incubation with primary antibody; red). ![]() ![]() ![]() ![]() |
| Application | |
| Recommended Dose | IHC: 1:50-200; ICC: 1:50-200; FCM: 1:50-100 |
| Antibody Type | Monoclonal |
| Host Species | Mouse |
| Construction | Hybridoma Monoclonal Antibody |
| Purification | ProA affinity purified |
| Appearance | Liquid |
| Formulation | 1*TBS (pH7.4), 1%BSA, 40%Glycerol. Preservative: 0.05% Sodium Azide. |
| Research Background | Muscle specific RING finger protein (MuRF1) is a sarcomere-associated protein that is upregulated by conditions that provoke atrophy. Pharmacological or genetic inhibition of the IKKbeta/NF-kappaB/MuRF1 pathway reverses muscle atrophy, which presents MuRF as a target for clinical intervention. MuRF1 is a key regulator of the PKC-dependent hypertrophic response and can blunt cardiomyocyte hypertrophy, which may have important implications in the pathophysiology of clinical cardiac hypertrophy. MuRF1 directly associates with Titin kinase and influences microtubule-dependent signaling pathways in striated muscle and iris. MuRF1 upregulation is an indicator for skeletal muscle atrophy mechanisms that utilize ubiquitin-dependent proteolysis. MuRF1 transcript levels are high in situations where there is an overabundance of reactive oxygen species, such as cancer, AIDS and sepsis. |
| Conjucates | Unconjugated |
| Immunogen | Recombinant Protein |
| Uniprot ID |
| Molecular Weight | Theoretical: 40 kDa. |
| Stability & Storage | Store at -20°C or -80°C for 12 months. Avoid repeated freeze-thaw cycles. |
| Transport | Shipping with blue ice. |
| Size | Quantity | Unit Price | Amount | Operation |
|---|

Copyright © 2015-2026 TargetMol Chemicals Inc. All Rights Reserved.