Shopping Cart
Remove All
Your shopping cart is currently empty
Anti-SP1 Polyclonal Antibody is a Rabbit antibody targeting SP1. Anti-SP1 Polyclonal Antibody can be used in FCM,IF,IHC-Fr,IHC-P,WB.
| Pack Size | Price | USA Stock | Global Stock | Quantity |
|---|---|---|---|---|
| 50 μL | $221 | 7-10 days | 7-10 days | |
| 100 μL | $372 | 7-10 days | 7-10 days | |
| 200 μL | $529 | 7-10 days | 7-10 days |
| Description | Anti-SP1 Polyclonal Antibody is a Rabbit antibody targeting SP1. Anti-SP1 Polyclonal Antibody can be used in FCM,IF,IHC-Fr,IHC-P,WB. |
| Synonyms | TSFP1, TSFP 1, Transcription factor Sp1, Specificity protein 1, Sp1 transcription factor isoform a, SP 1 |
| Ig Type | IgG |
| Reactivity | Human (predicted:Mouse,Rat,Chicken,Dog,Pig,Cow,Sheep) |
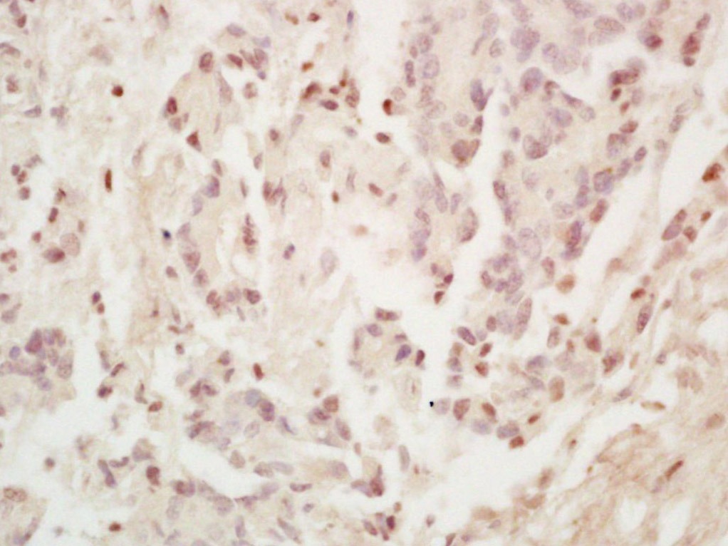
| Verified Activity | 1. Sample: A549 (Human) Cell Lysate at 30 μg Primary: Anti-SP1 (TMAB-01762) at 1/300 dilution Secondary: IRDye800CW Goat Anti-Rabbit IgG at 1/20000 dilution Predicted band size: 81 kDa Observed band size: 111 kDa 2. Blank control (Black line): Molt4 (Black). Primary Antibody (green line): Rabbit Anti-SP1 antibody (TMAB-01762) Dilution: 1 μg/10^6 cells; Isotype Control Antibody (orange line): Rabbit IgG. Secondary Antibody (white blue line): Goat anti-rabbit IgG-AF647 Dilution: 1 μg/test. Protocol The cells were fixed with 4% PFA (10 min at room temperature) and then permeabilized with 90% ice-cold methanol for 20 min at room temperature. The cells were then incubated in 5% BSA to block non-specific protein-protein interactions for 30 min at room temperature. Cells stained with Primary Antibody for 30 min at room temperature. The secondary antibody used for 40 min at room temperature. 3. Paraformaldehyde-fixed, paraffin embedded (Human stomach cancer); Antigen retrieval by boiling in sodium citrate buffer (pH6.0) for 15 min; Block endogenous peroxidase by 3% hydrogen peroxide for 20 min; Blocking buffer (normal goat serum) at 37°C for 30 min; Antibody incubation with (TSFP1) Polyclonal Antibody, Unconjugated (TMAB-01762) at 1:200 overnight at 4°C, followed by operating according to SP Kit (Rabbit) instructionsand DAB staining. ![]() ![]() ![]() |
| Application | |
| Recommended Dose | WB: 1:500-2000; IHC-P: 1:100-500; IHC-Fr: 1:100-500; IF: 1:100-500; FCM: 1ug/Test |
| Antibody Type | Polyclonal |
| Host Species | Rabbit |
| Subcellular Localization | Nucleus. Cytoplasm. Nuclear location is governed by glycosylated/phosphorylated states. Insulin promotes nuclear location, while glucagon favors cytoplasmic location. |
| Tissue Specificity | Up-regulated in adenocarcinomas of the stomach (at protein level). |
| Construction | Polyclonal Antibody |
| Purification | Protein A purified |
| Appearance | Liquid |
| Formulation | 0.01M TBS (pH7.4) with 1% BSA, 0.02% Proclin300 and 50% Glycerol. |
| Concentration | 1 mg/mL |
| Research Background | Profound changes in patterns of gene expression can result from relatively small changes in the concentrations of sequence specific transcription factors. Synergistic interaction between factors bound to different sites within a transcriptional control region is supported by the work of Courey et al. (1989). Sp1 is a sequence specific transcription factor that recognizes GGGGCGGGGC and closely related sequences, which are often referred to as GC boxes. Sp1 binds to GC box promoters elements and selectively activates mRNA synthesis from genes that contain functional recognition sites. SP1 can interact with G/C rich motifs from serotonin receptor promoter. Kadonaga et al. (1987) cloned the human Sp1 cDNA and showed that it has contiguous zinc finger motifs and requires zinc for sequence specific binding to DNA. Altername:Sp1 transcription factor isoform a; TSFP1; TSFP 1; Specificity protein 1; Transcription factor Sp1. |
| Immunogen | KLH conjugated synthetic peptide: human SP1 |
| Antigen Species | Human |
| Gene Name | SP1 |
| Gene ID | |
| Protein Name | Transcription factor Sp1 |
| Uniprot ID | |
| Biology Area | ChIP antibodies,Zinc Finger,Mitochondrial transcription,Mitochondrial Biogenesis,Nuclear |
| Function | Transcription factor that can activate or repress transcription in response to physiological and pathological stimuli. Binds with high affinity to GC-rich motifs and regulates the expression of a large number of genes involved in a variety of processes such as cell growth, apoptosis, differentiation and immune responses. Highly regulated by post-translational modifications (phosphorylations, sumoylation, proteolytic cleavage, glycosylation and acetylation). Binds also the PDGFR-alpha G-box promoter. May have a role in modulating the cellular response to DNA damage. Implicated in chromatin remodeling. Plays a role in the recruitment of SMARCA4/BRG1 on the c-FOS promoter. Plays an essential role in the regulation of FE65 gene expression. In complex with ATF7IP, maintains telomerase activity in cancer cells by inducing TERT and TERC gene expression. |
| Molecular Weight | Theoretical: 81 kDa. Actual: 111 kDa. |
| Stability & Storage | Store at -20°C or -80°C for 12 months. Avoid repeated freeze-thaw cycles. |
| Transport | Shipping with blue ice. |
| Size | Quantity | Unit Price | Amount | Operation |
|---|

Copyright © 2015-2026 TargetMol Chemicals Inc. All Rights Reserved.