Shopping Cart
Remove All
Your shopping cart is currently empty
Synonyms: VGluT2, Vesicular glutamate transporter 2, Solute carrier family 17 member 6, Slc17a6, Dnpi, Differentiation-associated Na(+)-dependent inorganic phosphate cotransporter, Differentiation-associated BNPI
| Pack Size | Price | USA Stock | Global Stock | Quantity |
|---|---|---|---|---|
| 50 μL | $220 | 7-10 days | 7-10 days | |
| 100 μL | $374 | 7-10 days | 7-10 days | |
| 200 μL | $527 | 7-10 days | 7-10 days |
| Description | Anti-SLC17A6 Polyclonal Antibody is a Rabbit antibody targeting SLC17A6. Anti-SLC17A6 Polyclonal Antibody can be used in IF,IHC-Fr,IHC-P. |
| Synonyms | VGluT2, Vesicular glutamate transporter 2, Solute carrier family 17 member 6, Slc17a6, Dnpi, Differentiation-associated Na(+)-dependent inorganic phosphate cotransporter, Differentiation-associated BNPI |
| Ig Type | IgG |
| Reactivity | Rat (predicted:Human,Mouse,Chicken,Dog,Pig,Cow,Horse) |
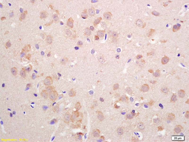
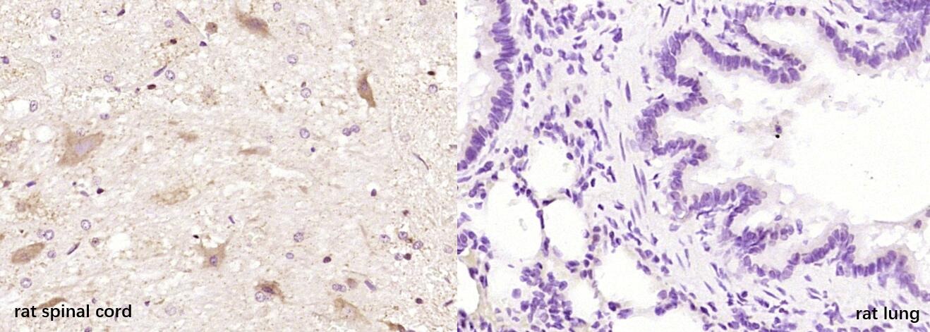
| Verified Activity | 1. Tissue/cell: rat brain tissue; 4% Paraformaldehyde-fixed and paraffin-embedded; Antigen retrieval: citrate buffer (0.01M, pH6.0), Boiling bathing for 15 min; Block endogenous peroxidase by 3% Hydrogen peroxide for 30 min; Blocking buffer (normal goat serum) at 37°C for 20 min; Incubation: Anti-VGLUT2 Polyclonal Antibody, Unconjugated (TMAB-01704) 1:200, overnight at 4°C, followed by conjugation to the secondary antibody and DAb staining. 2. Positive sample: Paraformaldehyde-fixed, paraffin embedded (rat spinal cord); Negative sample: Paraformaldehyde-fixed, paraffin embedded (rat lung); Antigen retrieval by boiling in sodium citrate buffer (pH6.0) for 15 min; Block endogenous peroxidase by 3% hydrogen peroxide for 20 min; Blocking buffer (normal goat serum) at 37°C for 30 min; Antibody incubation with (VGLUT2) Polyclonal Antibody, Unconjugated (TMAB-01704) at 1:200 overnight at 4°C, followed by operating according to SP Kit (Rabbit) instructionsand DAB staining. |
| Application | |
| Recommended Dose | IHC-P: 1:100-500; IHC-Fr: 1:100-500; IF: 1:100-500 |
| Antibody Type | Polyclonal |
| Host Species | Rabbit |
| Subcellular Localization | Cytoplasmic vesicle, secretory vesicle, synaptic vesicle membrane. Membrane; Multi-pass membrane protein (Potential). Cell junction, synapse, synaptosome. |
| Tissue Specificity | Predominantly expressed in adult brain. Expressed in amygdala, caudate nucleus, cerebral cortex, frontal lobe, hippocampus, medulla, occipital lobe, putamen, spinal cord, substantia nigra, subthalamic nucleus, temporal lobe and thalamus. |
| Construction | Polyclonal Antibody |
| Purification | Protein A purified |
| Appearance | Liquid |
| Formulation | 0.01M TBS (pH7.4) with 1% BSA, 0.02% Proclin300 and 50% Glycerol. |
| Concentration | 1 mg/mL |
| Research Background | The ATP-dependent, chloride-sensitive vesicular glutamate transporters (VGLUT) include BNPI (VGLUT1), VGLUT2 (DNPI) and VGLUT3. The brain expresses BNPI (brain specific Na+-dependent inorganic phosphate (Pi) cotransporter) and VGLUT2 in a complementary fashion. The telencephalic regions express BNPI, whereas the lower brainstem and diencephalic regions express VLGUT2. Rat pinealocytes express both BNPI and VGLUT2. The striatum, hippocampus, cerebral cortex and raphe nuclei express VGLUT3 in a small number of neurons. Pancreatic a and b cells express BNPI and VGLUT2 in response to glucose concentrations. Human VGLUT3 shares a 72% sequence homology with VLGUT2 and BNPI. |
| Immunogen | KLH conjugated synthetic peptide: human VGLUT2 |
| Antigen Species | Human |
| Gene Name | SLC17A6 |
| Gene ID | |
| Protein Name | Vesicular glutamate transporter 2 |
| Uniprot ID | |
| Biology Area | Transporters |
| Function | Mediates the uptake of glutamate into synaptic vesicles at presynaptic nerve terminals of excitatory neural cells. May also mediate the transport of inorganic phosphate. |
| Molecular Weight | Theoretical: 64 kDa. |
| Stability & Storage | Store at -20°C or -80°C for 12 months. Avoid repeated freeze-thaw cycles. |
| Transport | Shipping with blue ice. |
| Size | Quantity | Unit Price | Amount | Operation |
|---|

Copyright © 2015-2026 TargetMol Chemicals Inc. All Rights Reserved.