Your shopping cart is currently empty

Synonyms: Splicing factor proline/glutamine rich (polypyrimidine tract binding protein associated), Splicing factor proline/glutamine rich, Splicing factor proline and glutamine rich, Splicing factor, SFPQ_HUMAN, Sfpq, PTB-associated-splicing factor, PTB associated splicing factor, PSF, Protein phosphatase 1 regulatory subunit 140, proline- and glutamine-rich, PPP1R140, POMP100, Polypyrimidine tract-binding protein-associated-splicing factor, Polypyrimidine tract binding protein associated splicing factor, hPOMp100, DNA-binding p52/p100 complex, DNA binding p52/p100 complex 100 kDa subunit, 100 kDa subunit, 100 kDa DNA-pairing protein, 100 kDa DNA pairing protein
| Pack Size | Price | USA Stock | Global Stock | Quantity |
|---|---|---|---|---|
| 50 μL | $297 | 7-10 days | 7-10 days | |
| 100 μL | $498 | 7-10 days | 7-10 days |
| Description | Anti-SFPQ Antibody (1W928) is a Rabbit antibody targeting SFPQ. Anti-SFPQ Antibody (1W928) can be used in ICC,IF,IHC,WB. |
| Synonyms | Splicing factor proline/glutamine rich (polypyrimidine tract binding protein associated), Splicing factor proline/glutamine rich, Splicing factor proline and glutamine rich, Splicing factor, SFPQ_HUMAN, Sfpq, PTB-associated-splicing factor, PTB associated splicing factor, PSF, Protein phosphatase 1 regulatory subunit 140, proline- and glutamine-rich, PPP1R140, POMP100, Polypyrimidine tract-binding protein-associated-splicing factor, Polypyrimidine tract binding protein associated splicing factor, hPOMp100, DNA-binding p52/p100 complex, DNA binding p52/p100 complex 100 kDa subunit, 100 kDa subunit, 100 kDa DNA-pairing protein, 100 kDa DNA pairing protein |
| Ig Type | IgG |
| Clone | 1W928 |
| Reactivity | Human,Mouse,Rat |
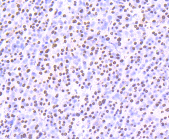
| Verified Activity | 1. Western blot analysis of SFPQ on different lysates using anti-SFPQ antibody at 1/1,000 dilution. Positive control: Lane 1: K562, Lane 2: Daudi, Lane 3: Mouse testis, Lane 4: Mouse lung. 2. Immunohistochemical analysis of paraffin-embedded rat brain tissue using anti-SFPQ antibody. Counter stained with hematoxylin. 3. Immunohistochemical analysis of paraffin-embedded human tonsil tissue using anti-SFPQ antibody. Counter stained with hematoxylin. 4. Immunohistochemical analysis of paraffin-embedded human liver cancer tissue using anti-SFPQ antibody. Counter stained with hematoxylin. 5. Immunohistochemical analysis of paraffin-embedded human kidney tissue using anti-SFPQ antibody. Counter stained with hematoxylin. 6. Immunohistochemical analysis of paraffin-embedded mouse testis tissue using anti-SFPQ antibody. Counter stained with hematoxylin. |
| Application | |
| Recommended Dose | WB: 1:500-2000; IHC: 1:50-200; ICC: 1:10-50 |
| Antibody Type | Monoclonal |
| Host Species | Rabbit |
| Construction | Recombinant Antibody |
| Purification | ProA affinity purified |
| Appearance | Liquid |
| Formulation | 1*TBS (pH7.4), 1%BSA, 40%Glycerol. Preservative: 0.05% Sodium Azide. |
| Research Background | DNA- and RNA binding protein, involved in several nuclear processes. Essential pre-mRNA splicing factor required early in spliceosome formation and for splicing catalytic step II, probably as a heteromer with NONO. Binds to pre-mRNA in spliceosome C complex, and specifically binds to intronic polypyrimidine tracts. Involved in regulation of signal-induced alternative splicing. Interacts with U5 snRNA, probably by binding to a purine-rich sequence located on the 3' side of U5 snRNA stem 1b. May be involved in a pre-mRNA coupled splicing and polyadenylation process as component of a snRNP-free complex with SNRPA/U1A. The SFPQ-NONO heteromer associated with MATR3 may play a role in nuclear retention of defective RNAs. SFPQ may be involved in homologous DNA pairing; in vitro, promotes the invasion of ssDNA between a duplex DNA and produces a D-loop formation. |
| Conjucates | Unconjugated |
| Immunogen | Recombinant Protein |
| Uniprot ID |
| Molecular Weight | Theoretical: 100 kDa. |
| Stability & Storage | Store at -20°C or -80°C for 12 months. Avoid repeated freeze-thaw cycles. |
| Transport | Shipping with blue ice. |
| Size | Quantity | Unit Price | Amount | Operation |
|---|

Copyright © 2015-2026 TargetMol Chemicals Inc. All Rights Reserved.