Shopping Cart
Remove All
Your shopping cart is currently empty
Anti-Phospho-TBK1 (Ser172) Polyclonal Antibody is a Rabbit antibody targeting Phospho-TBK1 (Ser172). Anti-Phospho-TBK1 (Ser172) Polyclonal Antibody can be used in IF,IHC-Fr,IHC-P,WB.
| Pack Size | Price | USA Stock | Global Stock | Quantity |
|---|---|---|---|---|
| 50 μL | $222 | 7-10 days | 7-10 days | |
| 100 μL | $373 | 7-10 days | 7-10 days |
| Description | Anti-Phospho-TBK1 (Ser172) Polyclonal Antibody is a Rabbit antibody targeting Phospho-TBK1 (Ser172). Anti-Phospho-TBK1 (Ser172) Polyclonal Antibody can be used in IF,IHC-Fr,IHC-P,WB. |
| Synonyms | TBK1 (p-Ser172), TBK1 (p-S172), TBK 1, TANK-binding kinase 1, T2K, Serine/threonine-protein kinase TBK1, p-TBK1 (Ser172), p-TBK1 (S172), NF-kappa-B-activating kinase, NAK, EC 2.7.11.1 |
| Ig Type | IgG |
| Reactivity | Rat,Mouse,Human |
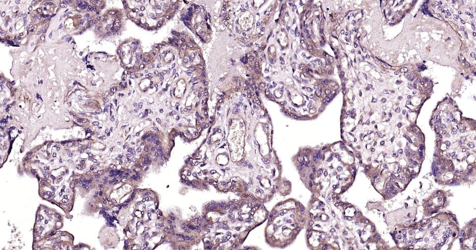
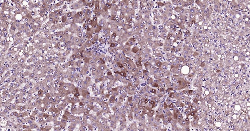
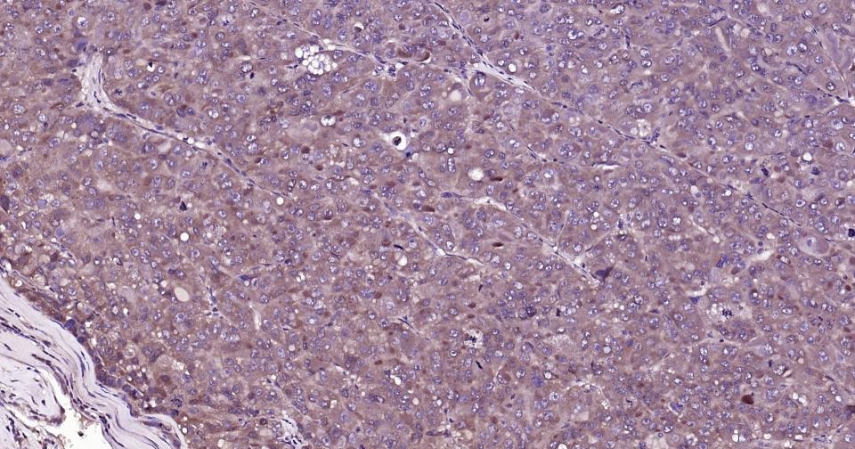
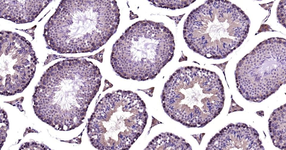
| Verified Activity | 1. Sample: Lane 1: Human Raji cell lysates Lane 2: Human HeLa cell lysates Primary: Anti-Phospho-TBK1 (Ser172) (TMAB-01521) at 1/1000 dilution Secondary: IRDye800CW Goat Anti-Rabbit IgG at 1/20000 dilution Predicted band size: 84 kDa Observed band size: 84 kDa 2. Paraformaldehyde-fixed, paraffin embedded Mouse Testicles; Antigen retrieval by boiling in sodium citrate buffer (pH6.0) for 15 min; Antibody incubation with Phospho-TBK1 (Ser172) Polyclonal Antibody, Unconjugated (TMAB-01521) at 1:200 overnight at 4°C, followed by conjugation to the SP Kit (Rabbit) and DAB staining. 3. Paraformaldehyde-fixed, paraffin embedded Rat Liver; Antigen retrieval by boiling in sodium citrate buffer (pH6.0) for 15 min; Antibody incubation with Phospho-TBK1 (Ser172) Polyclonal Antibody, Unconjugated (TMAB-01521) at 1:200 overnight at 4°C, followed by conjugation to the SP Kit (Rabbit) and DAB staining. 4. Paraformaldehyde-fixed, paraffin embedded Human Liver; Antigen retrieval by boiling in sodium citrate buffer (pH6.0) for 15 min; Antibody incubation with Phospho-TBK1 (Ser172) Polyclonal Antibody, Unconjugated (TMAB-01521) at 1:200 overnight at 4°C, followed by conjugation to the SP Kit (Rabbit) and DAB staining. 5. Paraformaldehyde-fixed, paraffin embedded Human Liver Cancer; Antigen retrieval by boiling in sodium citrate buffer (pH6.0) for 15 min; Antibody incubation with Phospho-TBK1 (Ser172) Polyclonal Antibody, Unconjugated (TMAB-01521) at 1:200 overnight at 4°C, followed by conjugation to the SP Kit (Rabbit) and DAB staining. 6. Paraformaldehyde-fixed, paraffin embedded Human Placenta; Antigen retrieval by boiling in sodium citrate buffer (pH6.0) for 15 min; Antibody incubation with Phospho-TBK1 (Ser172) Polyclonal Antibody, Unconjugated (TMAB-01521) at 1:200 overnight at 4°C, followed by conjugation to the SP Kit (Rabbit) and DAB staining. ![]() ![]() ![]() ![]() ![]() ![]() |
| Application | |
| Recommended Dose | WB: 1:500-2000; IHC-P: 1:100-500; IHC-Fr: 1:100-500; IF: 1:100-500 |
| Antibody Type | Polyclonal |
| Host Species | Rabbit |
| Subcellular Localization | Nucleus. |
| Tissue Specificity | Ubiquitous with higher expression in testis. |
| Construction | Polyclonal Antibody |
| Purification | Protein A purified |
| Appearance | Liquid |
| Formulation | 0.01M TBS (pH7.4) with 1% BSA, 0.02% Proclin300 and 50% Glycerol. |
| Concentration | 1 mg/mL |
| Research Background | The NF-kappa-B (NFKB) complex of proteins is inhibited by I-kappa-B (IKB) proteins, which inactivate NFKB by trapping it in the cytoplasm. Phosphorylation of serine residues on the IKB proteins by IKB kinases marks them for destruction via the ubiquitination pathway, thereby allowing activation and nuclear translocation of the NFKB complex. The protein encoded by this gene is similar to IKB kinases and can mediate NFKB activation in response to certain growth factors. [provided by RefSeq, Oct 2010] |
| Immunogen | KLH conjugated Synthesised phosphopeptide: human TBK1 around the phosphorylation site of Ser172 |
| Antigen Species | Human |
| Gene Name | TBK1 |
| Gene ID | |
| Protein Name | Serine/threonine-protein kinase TBK1 |
| Uniprot ID | |
| Biology Area | NFkB pathway,Other Kinases,NFkB Pathway |
| Function | Serine/threonine protein involved in the signaling cascade converging to the activation of the transcription factor NF-kappa-B. May function as an IKK kinase, playing an essential role in the transcription of a subset of TNF-alpha-induced genes. Also mediates production of RANTES/CCL5 and interferon-beta/IFNB1. Has a pivotal role in the innate immune response. Phosphorylates Borna disease virus (BDV) P protein. Phosphorylates and activates IRF3 and IRF7 and allows their nuclear localization. This leads to production of alpha/beta interferons and the development of a cellular antiviral state. It also seems to be a central factor in the induction of the antiviral interferon response. Inhibition of its interaction with IRF3, due to HCV NS3 binding or BDV P protein seems to be one mechanism of inhibition of the innate immune responses of hepatitis C virus (HCV) infection or Borna disease virus infection respectively. |
| Molecular Weight | Theoretical: 84 kDa. Actual: 84 kDa. |
| Stability & Storage | Store at -20°C or -80°C for 12 months. Avoid repeated freeze-thaw cycles. |
| Transport | Shipping with blue ice. |
| Size | Quantity | Unit Price | Amount | Operation |
|---|

Copyright © 2015-2026 TargetMol Chemicals Inc. All Rights Reserved.