Shopping Cart
Remove All
Your shopping cart is currently empty
Anti-Phospho-PRKAR2A (Ser99) Antibody (9R534) is a Rabbit antibody targeting Phospho-PRKAR2A (Ser99). Anti-Phospho-PRKAR2A (Ser99) Antibody (9R534) can be used in ICC/IF,IHC,IP,WB.
| Pack Size | Price | USA Warehouse | Global Warehouse | Quantity |
|---|---|---|---|---|
| 50 μL | $298 | 7-10 days | 7-10 days | |
| 100 μL | $497 | 7-10 days | 7-10 days |
| Description | Anti-Phospho-PRKAR2A (Ser99) Antibody (9R534) is a Rabbit antibody targeting Phospho-PRKAR2A (Ser99). Anti-Phospho-PRKAR2A (Ser99) Antibody (9R534) can be used in ICC/IF,IHC,IP,WB. |
| Synonyms | PRKAR2A (p-Ser99), PRKAR2A (p-S99), p-PRKAR2A (Ser99), p-PRKAR2A (S99) |
| Ig Type | IgG |
| Clone | 9R534 |
| Reactivity | Human,Mouse,Rat,Pig |
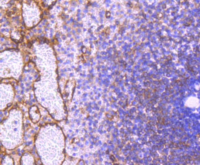
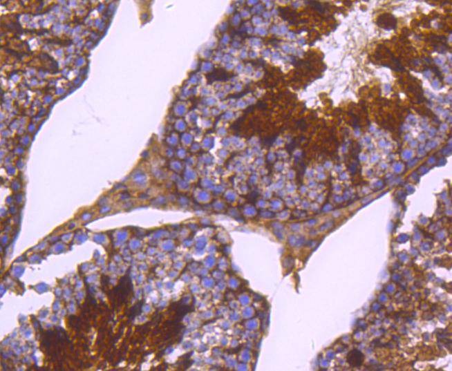
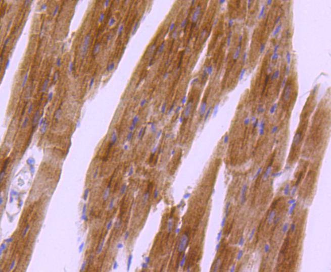
| Verified Activity | 1. Immunohistochemical analysis of paraffin-embedded human spleen tissue using anti-phospho-PKA R2 (S99) antibody. Counter stained with hematoxylin. 2. Immunohistochemical analysis of paraffin-embedded mouse testis tissue using anti-phospho-PKA R2 (S99) antibody. Counter stained with hematoxylin. 3. Immunohistochemical analysis of paraffin-embedded mouse heart tissue using anti-phospho-PKA R2 (S99) antibody. Counter stained with hematoxylin. 4. ICC staining phospho-PKA R2 (S99) in Hela cells (green). The nuclear counter stain is DAPI (blue). Cells were fixed in paraformaldehyde, permeabilised with 0.25% Triton X100/PBS. 5. ICC staining phospho-PKA R2 (S99) in MCF-7 cells (green). The nuclear counter stain is DAPI (blue). Cells were fixed in paraformaldehyde, permeabilised with 0.25% Triton X100/PBS. ![]() ![]() ![]() ![]() ![]() |
| Application | |
| Recommended Dose | WB: 1:500; IHC: 1:50-200; ICC/IF: 1:50-200 |
| Antibody Type | Monoclonal |
| Host Species | Rabbit |
| Construction | Hybridoma Monoclonal Antibody |
| Purification | ProA affinity purified |
| Appearance | Liquid |
| Formulation | 1*TBS (pH7.4), 1%BSA, 40%Glycerol. Preservative: 0.05% Sodium Azide. |
| Research Background | The second messenger cyclic AMP (cAMP) mediates diverse cellular responses to external signals such as proliferation, ion transport, regulation of metabolism and gene transcription by activation of the cAMP-dependent protein kinase (cAPK or PKA). Activation of PKA occurs when cAMP binds to the two regulatory subunits of the tetrameric PKA holoenzyme resulting in release of active catalytic subunits. Three catalytic (C) subunits have been identified, designated Cα, Cβ and Cγ, that each represent specific gene products. Cα and Cβ are closely related (93% amino acid sequence similarity), whereas Cγ displays 83% and 79% similarity to Cα and Cβ, respectively. Activation of transcription upon elevation of cAMP levels results from translocation of PKA to the nucleus where it phosphorylates the transcription factor cAMP response element binding protein (CREB) on serine 133 which in turn leads to TFIIB binding to TATA-box-binding protein TBP1, thus linking phospho-CREB to the pol II transcription initiation complex. |
| Conjucates | Unconjugated |
| Others Formats | Phospho |
| Immunogen | A synthesized phosphopeptide: human PKA R2 around the phosphorylation site of Ser99 |
| Antigen Species | human |
| Uniprot ID |
| Molecular Weight | Theoretical: 51 kDa. |
| Stability & Storage | Store at -20°C or -80°C for 12 months. Avoid repeated freeze-thaw cycles. |
| Transport | Shipping with blue ice. |
| Size | Quantity | Unit Price | Amount | Operation |
|---|

Copyright © 2015-2026 TargetMol Chemicals Inc. All Rights Reserved.