Shopping Cart
- Remove All
 Your shopping cart is currently empty Your shopping cart is currently empty
Anti-Phospho-MAPK3/1 (Thr202/Tyr204) Polyclonal Antibody is a Rabbit antibody targeting Phospho-MAPK3/1 (Thr202/Tyr204). Anti-Phospho-MAPK3/1 (Thr202/Tyr204) Polyclonal Antibody can be used in IF,IHC,WB.
| Pack Size | Price | Availability | Quantity | 
|---|---|---|---|
| 50 μL | $218 | 7-10 days | |
| 100 μL | $316 | 7-10 days | 
| Description | Anti-Phospho-MAPK3/1 (Thr202/Tyr204) Polyclonal Antibody is a Rabbit antibody targeting Phospho-MAPK3/1 (Thr202/Tyr204). Anti-Phospho-MAPK3/1 (Thr202/Tyr204) Polyclonal Antibody can be used in IF,IHC,WB. | 
| Synonyms | p-MAPK3 (Thr202) + MAPK1 (Tyr204), p-MAPK3 (T202) + MAPK1 (Y204), Phospho-MAPK3 (T202) + MAPK1 (Y204), MAPK3 (p-Thr202) + MAPK1 (p-Tyr204), MAPK3 (p-T202) + MAPK1 (p-Y204) | 
| Ig Type | IgG | 
| Reactivity | Human,Mouse,Rat | 
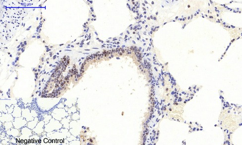
| Verified Activity | 1. Western blot analysis of extracts from 3T3 cells treated with IFNa using ERK1/2 (Phospho-Thr202/Tyr204) Antibody TMAC-01368.The lane on the left is treated with the antigen-specific peptide. 2. Immunohistochemical analysis of paraffin-embedded Rat-lung tissue. 1,ERK 1/2 (phospho Thr202/Y204) Polyclonal Antibody was diluted at 1:200 (4°C, overnight). 2, Sodium citrate pH 6.0 was used for antibody retrieval (>98°C, 20min). 3,Secondary antibody was diluted at 1:200 (room tempeRature, 30min). Negative control was used by secondary antibody only. 3. Immunofluorescence analysis of mouse-spleen tissue. 1,ERK 1/2 (phospho Thr202/Y204) Polyclonal Antibody (red) was diluted at 1:200 (4°C, overnight). 2, Cy3 labled Secondary antibody was diluted at 1:300 (room temperature, 50min).3, Picture B: DAPI (blue) 10min. Picture A: Target. Picture B: DAPI. Picture C: merge of A+B.    | 
| Application | |
| Antibody Type | Polyclonal | 
| Host Species | Rabbit | 
| Construction | Polyclonal Antibody | 
| Purification | Antibodies were produced by immunizing rabbits with synthetic phosphopeptide and KLH conjugates. Antibodies were purified by affinity-chromatography using epitope-specific phosphopeptide. Non-phospho specific antibodies were removed by chromatogramphy using non-phosphopeptide. | 
| Appearance | Liquid | 
| Formulation | Supplied at 1.0mg/mL in phosphate buffered saline (without Mg2+ and Ca2+), pH 7.4, 150mM NaCl, 0.02% sodium azide and 50% glycerol. | 
| Research Background | Serine/threonine kinase which acts as an essential component of the MAP kinase signal transduction pathway. MAPK1/ERK2 and MAPK3/ERK1 are the 2 MAPKs which play an important role in the MAPK/ERK cascade. They participate also in a signaling cascade initiated by activated KIT and KITLG/SCF. Depending on the cellular context, the MAPK/ERK cascade mediates diverse biological functions such as cell growth, adhesion, survival and differentiation through the regulation of transcription, translation, cytoskeletal rearrangements. The MAPK/ERK cascade plays also a role in initiation and regulation of meiosis, mitosis, and postmitotic functions in differentiated cells by phosphorylating a number of transcription factors. About 160 substrates have already been discovered for ERKs. Many of these substrates are localized in the nucleus, and seem to participate in the regulation of transcription upon stimulation. However, other substrates are found in the cytosol as well as in other cellular organelles, and those are responsible for processes such as translation, mitosis and apoptosis. Moreover, the MAPK/ERK cascade is also involved in the regulation of the endosomal dynamics, including lysosome processing and endosome cycling through the perinuclear recycling compartment (PNRC); as well as in the fragmentation of the Golgi apparatus during mitosis. The substrates include transcription factors (such as ATF2, BCL6, ELK1, ERF, FOS, HSF4 or SPZ1), cytoskeletal elements (such as CANX, CTTN, GJA1, MAP2, MAPT, PXN, SORBS3 or STMN1), regulators of apoptosis (such as BAD, BTG2, CASP9, DAPK1, IER3, MCL1 or PPARG), regulators of translation (such as EIF4EBP1) and a variety of other signaling-related molecules (like ARHGEF2, FRS2 or GRB10). Protein kinases (such as RAF1, RPS6KA1/RSK1, RPS6KA3/RSK2, RPS6KA2/RSK3, RPS6KA6/RSK4, SYK, MKNK1/MNK1, MKNK2/MNK2, RPS6KA5/MSK1, RPS6KA4/MSK2, MAPKAPK3 or MAPKAPK5) and phosphatases (such as DUSP1, DUSP4, DUSP6 or DUSP16) are other substrates which enable the propagation the MAPK/ERK signal to additional cytosolic and nuclear targets, thereby extending the specificity of the cascade. | 
| Conjucates | Unconjugated | 
| Others Formats | Phospho | 
| Immunogen | Peptide sequence around phosphorylation site of Threonine 202/Tyrosine 204(F-L-T(p)-E-Y(p)-V-A)Sderived from Human ERK1/2 | 
| Antigen Species | human | 
| Uniprot ID | 
| Molecular Weight | Actual: 42, 44 kDa. | 
| Stability & Storage | Store at -20°C or -80°C for 12 months. Avoid repeated freeze-thaw cycles. | 
| Transport | Shipping with blue ice. | 

Copyright © 2015-2025 TargetMol Chemicals Inc. All Rights Reserved.