Shopping Cart
Remove All
Your shopping cart is currently empty
Anti-PDGFRB Antibody (6N196) is a Rabbit antibody targeting PDGFRB. Anti-PDGFRB Antibody (6N196) can be used in IHC,IP,WB.
| Pack Size | Price | USA Warehouse | Global Warehouse | Quantity |
|---|---|---|---|---|
| 50 μL | $298 | 7-10 days | 7-10 days | |
| 100 μL | $497 | 7-10 days | 7-10 days |
| Description | Anti-PDGFRB Antibody (6N196) is a Rabbit antibody targeting PDGFRB. Anti-PDGFRB Antibody (6N196) can be used in IHC,IP,WB. |
| Synonyms | PDGFR-β, PDGFRB, PDGFR-2, PDGFR1, PDGFR, PDGF R β/CD140b, PDGF R β, PDGF R beta, JTK12, CD140B |
| Ig Type | IgG |
| Clone | 6N196 |
| Reactivity | Human,Mouse,Rat |
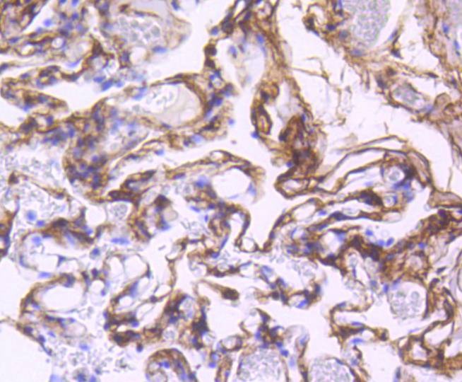
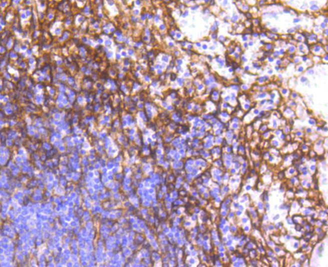
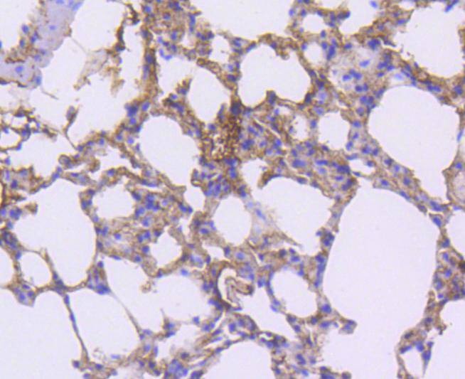
| Verified Activity | 1. Western blot analysis of PDGF Receptor beta on NIH/3T3 cell lysates using anti-PDGF Receptor beta antibody at 1/1,000 dilution. 2. Immunohistochemical analysis of paraffin-embedded human lung tissue using anti-PDGF Receptor beta antibody. Counter stained with hematoxylin. 3. Immunohistochemical analysis of paraffin-embedded human spleen tissue using anti-PDGF Receptor beta antibody. Counter stained with hematoxylin. 4. Immunohistochemical analysis of paraffin-embedded mouse lung tissue using anti-PDGF Receptor beta antibody. Counter stained with hematoxylin. 5. Immunohistochemical analysis of paraffin-embedded mouse brain tissue using anti-PDGF Receptor beta antibody. Counter stained with hematoxylin. ![]() ![]() ![]() ![]() ![]() |
| Application | |
| Recommended Dose | WB: 1:1000-5000; IHC: 1:50-200 |
| Antibody Type | Monoclonal |
| Host Species | Rabbit |
| Construction | Recombinant Antibody |
| Purification | ProA affinity purified |
| Appearance | Liquid |
| Formulation | 1*TBS (pH7.4), 1%BSA, 40%Glycerol. Preservative: 0.05% Sodium Azide. |
| Research Background | Platelet-derived growth factor (PDGF) is a mitogen for mesenchyme- and glia-derived cells. PDGF consists of two chains, A and B, which dimerize to form functionally distinct isoforms, PGDF-AA, PDGF-AB and PDGF-BB. These three isoforms bind with different affinities to two receptor types, PDGFR-α and ?Cβ, which are endowed with protein tyrosine kinase domains. PDGFR-α can bind to both A and B subunits of PDGF, while PDGFR-β can only bind the B subunit. Ligand binding promotes either homo- or heterodimerization of the PDGF receptors in a specific manner. PDGF-AA induces the dimerization of two α receptors, PDGF-AB induces dimerization of αα and αβ and PDGF-BB induces the formation of three types of dimers, αα, αβ and ββ. Translocation of the PDGFR-?? gene with the Tel gene is linked to chronic myelomonocytic leukemia (CMML), a myelodysplastic syndrome, and demonstrates the oncogenic potential of the PDGF receptors. |
| Conjucates | Unconjugated |
| Immunogen | Recombinant Protein |
| Uniprot ID |
| Molecular Weight | Theoretical: 170 kDa. |
| Stability & Storage | Store at -20°C or -80°C for 12 months. Avoid repeated freeze-thaw cycles. |
| Transport | Shipping with blue ice. |
| Size | Quantity | Unit Price | Amount | Operation |
|---|

Copyright © 2015-2026 TargetMol Chemicals Inc. All Rights Reserved.