Shopping Cart
Remove All
Your shopping cart is currently empty
Synonyms: RKIP, Raf kinase inhibitory protein, Raf kinase inhibitor protein, R kip, Prostatic-binding protein, Prostatic binding protein, Phosphatidylethanolamine binding protein 1, Phosphatidylethanolamine binding protein, PEBP1_HUMAN, PEBP-1, Pebp1, PEBP 1, PEBP, PBP, Neuropolypeptide h3, Hippocampal cholinergic neurostimulating peptide, HEL S 96, HEL S 34, HEL 210, HCNPpp, HCNP, Epididymis secretory protein Li 96, Epididymis secretory protein Li 34, Epididymis luminal protein 210
| Pack Size | Price | USA Stock | Global Stock | Quantity |
|---|---|---|---|---|
| 50 μL | $296 | 7-10 days | 7-10 days | |
| 100 μL | $497 | 7-10 days | 7-10 days |
| Description | Anti-PBP Antibody (4X935) is a Rabbit antibody targeting PBP. Anti-PBP Antibody (4X935) can be used in ICC/IF,IHC,IP,WB. |
| Synonyms | RKIP, Raf kinase inhibitory protein, Raf kinase inhibitor protein, R kip, Prostatic-binding protein, Prostatic binding protein, Phosphatidylethanolamine binding protein 1, Phosphatidylethanolamine binding protein, PEBP1_HUMAN, PEBP-1, Pebp1, PEBP 1, PEBP, PBP, Neuropolypeptide h3, Hippocampal cholinergic neurostimulating peptide, HEL S 96, HEL S 34, HEL 210, HCNPpp, HCNP, Epididymis secretory protein Li 96, Epididymis secretory protein Li 34, Epididymis luminal protein 210 |
| Ig Type | IgG |
| Clone | 4X935 |
| Reactivity | Human,Mouse,Rat,zebrafish |
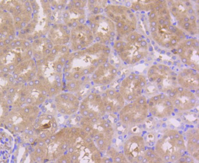
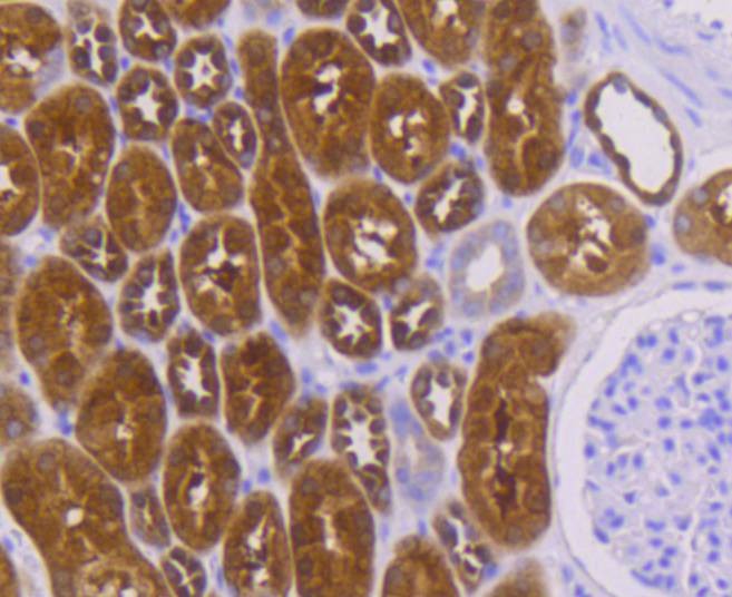
| Verified Activity | 1. Western blot analysis of PBP on mouse brain lysates using anti-PBP antibody at 1/1,000 dilution. 2. Immunohistochemical analysis of paraffin-embedded human kidney tissue using anti-PBP antibody. Counter stained with hematoxylin. 3. Immunohistochemical analysis of paraffin-embedded mouse brain tissue using anti-PBP antibody. Counter stained with hematoxylin. 4. Immunohistochemical analysis of paraffin-embedded mouse kidney tissue using anti-PBP antibody. Counter stained with hematoxylin. 5. ICC staining PBP in PC-3M cells (green). The nuclear counter stain is DAPI (blue). Cells were fixed in paraformaldehyde, permeabilised with 0.25% Triton X100/PBS. |
| Application | |
| Recommended Dose | WB: 1:1000-5000; IHC: 1:50-200; ICC/IF: 1:50-200 |
| Antibody Type | Monoclonal |
| Host Species | Rabbit |
| Construction | Recombinant Antibody |
| Purification | ProA affinity purified |
| Appearance | Liquid |
| Formulation | 1*TBS (pH7.4), 1%BSA, 40%Glycerol. Preservative: 0.05% Sodium Azide. |
| Research Background | Members of the a-chemokine subfamily of inducible, secreted, pro-inflammatory cytokines contain a similar motif, in which the first two cysteine residues are separated by a single residue (Cys-X-Cys), and are also chemotactic for neutrophils. The platelet basic protein (PBP), a member of the a(lpha)-chemokine family, resides in the a(lpha)-granules of platelets and is released upon their activation. Proteolytic cleavage of the amino terminus of PBP leads to the generation of several peptides, which include mature PBP, connective tissue-activating peptide III (CTAP III, also designated low affinity platelet factor IV (LA-PF4)), b-thromboglobulin (b-TG), and neutrophil-activating peptide 2 (NAP-2). PBP and its N-truncated derivatives mediate inflammation and wound healing. Specifically, NAP-2 activates chemotaxis and degranulation in neutrophils during inflammation. The gene encoding human PBP maps to chromosome 4q12-q13. |
| Conjucates | Unconjugated |
| Immunogen | Recombinant Protein |
| Uniprot ID |
| Molecular Weight | Theoretical: 21 kDa. |
| Stability & Storage | Store at -20°C or -80°C for 12 months. Avoid repeated freeze-thaw cycles. |
| Transport | Shipping with blue ice. |
| Size | Quantity | Unit Price | Amount | Operation |
|---|

Copyright © 2015-2026 TargetMol Chemicals Inc. All Rights Reserved.