Shopping Cart
Remove All
Your shopping cart is currently empty
Anti-OCT4 Antibody (4Q101) is a Rabbit antibody targeting 45934. Anti-OCT4 Antibody (4Q101) can be used in ChIP,ICC/IF,IHC,IP,WB.
| Pack Size | Price | USA Warehouse | Global Warehouse | Quantity |
|---|---|---|---|---|
| 50 μL | $298 | 7-10 days | 7-10 days | |
| 100 μL | $496 | 7-10 days | 7-10 days |
| Description | Anti-OCT4 Antibody (4Q101) is a Rabbit antibody targeting 45934. Anti-OCT4 Antibody (4Q101) can be used in ChIP,ICC/IF,IHC,IP,WB. |
| Ig Type | IgG |
| Clone | 4Q101 |
| Reactivity | Human,Mouse |
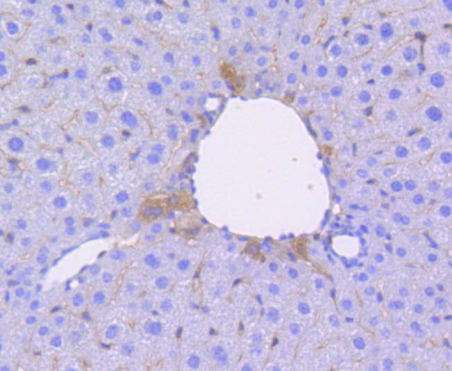
| Verified Activity | 1. Western blot analysis of Oct4 on different lysates using anti-Oct4 antibody at 1/1,000 dilution. Positive control: Lane 1: F9, Lane 2: NCCIT, Lane 3: hES. 2. Immunohistochemical analysis of paraffin-embedded mouse liver tissue using anti-Oct4 antibody. Counter stained with hematoxylin. 3. ICC staining Oct4 in N2A cells (green). The nuclear counter stain is DAPI (blue). Cells were fixed in paraformaldehyde, permeabilised with 0.25% Triton X100/PBS. 4. ICC staining Oct4 in MCF-7 cells (green). The nuclear counter stain is DAPI (blue). Cells were fixed in paraformaldehyde, permeabilised with 0.25% Triton X100/PBS. ![]() ![]() ![]() ![]() |
| Application | |
| Recommended Dose | WB: 1:1000-5000; IHC: 1:50-200; ICC/IF: 1:50-200 |
| Antibody Type | Monoclonal |
| Host Species | Rabbit |
| Construction | Recombinant Antibody |
| Purification | ProA affinity purified |
| Appearance | Liquid |
| Formulation | 1*TBS (pH7.4), 1%BSA, 40%Glycerol. Preservative: 0.05% Sodium Azide. |
| Research Background | POU5F1 (POU domain, class 5, transcription factor 1), also known as octamer-binding transcription factor-3 (Oct-3, OTF3), octamer-binding transcription factor-4 (Oct-4, Otf-4) and Oct-3/4, modulates embryonic stem (ES) cell populations by influencing lineage commitment. Oct-3/4 sustains stem-cell self-renewal and differentiation pathways. Transcription factors containing the POU homeodomain regulate tissue-specific gene expression in lymphoid and pituitary differentiation and in early mammalian development. Oct-3/4 is capable of inducing rapid proliferation and tumorigenic properties of ES cells through activation of the UTF1 gene. In humans, two Oct-3/4 isoforms contribute to influencing the undifferentiated phenotype of ES cells. Oct-3/4 pseudogenes localizing to human chromosomes 10 and 8 are reported to be transcribed in certain cancer cell lines and tissues. |
| Conjucates | Unconjugated |
| Immunogen | Recombinant Protein |
| Uniprot ID |
| Molecular Weight | Theoretical: 39 kDa. |
| Stability & Storage | Store at -20°C or -80°C for 12 months. Avoid repeated freeze-thaw cycles. |
| Transport | Shipping with blue ice. |
| Size | Quantity | Unit Price | Amount | Operation |
|---|

Copyright © 2015-2026 TargetMol Chemicals Inc. All Rights Reserved.