Shopping Cart
Remove All
Your shopping cart is currently empty
Anti-Oct1 Antibody (1A605) is a Rabbit antibody targeting 45931. Anti-Oct1 Antibody (1A605) can be used in IHC,WB.
| Pack Size | Price | USA Warehouse | Global Warehouse | Quantity |
|---|---|---|---|---|
| 50 μL | $298 | 7-10 days | 7-10 days | |
| 100 μL | $498 | 7-10 days | 7-10 days |
| Description | Anti-Oct1 Antibody (1A605) is a Rabbit antibody targeting 45931. Anti-Oct1 Antibody (1A605) can be used in IHC,WB. |
| Synonyms | POU2F1, POU domain, class 2, transcription factor 1, POU domain class 2 transcription factor 1, POU class 2 homeobox 1, PO2F1_HUMAN, PO2F1, PO21, OTTHUMP00000032351, OTTHUMP00000032350, OTTHUMP00000032348, OTF-1, OTF1, OTF 1, Octamer-binding transcription factor 1, Octamer-binding protein 1, Octamer binding transcription factor 1, Octamer binding protein 1, Oct-1, OCT1, Oct 1B, Oct 1, NF-A1, NF A1, FLJ42836 |
| Ig Type | IgG |
| Clone | 1A605 |
| Reactivity | Human,Mouse,Rat |
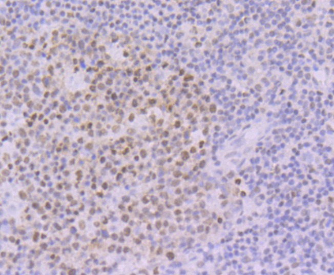
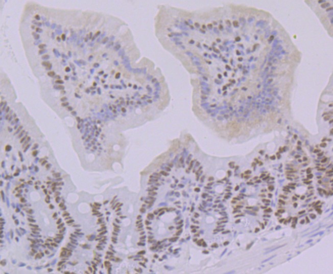
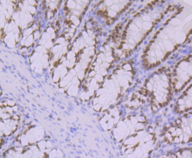
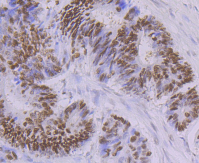
| Verified Activity | 1. Western blot analysis of Oct-1 on SH-SY-5Y cell (1) and A431 cell (2) lysate using anti-Oct-1 antibody at 1/1,000 dilution. 2. Immunohistochemical analysis of paraffin-embedded rat large intestine tissue using anti-Oct-1 antibody. Counter stained with hematoxylin. 3. Immunohistochemical analysis of paraffin-embedded human tonsil tissue using anti-Oct-1 antibody. Counter stained with hematoxylin. 4. Immunohistochemical analysis of paraffin-embedded human colon cancer tissue using anti-Oct-1 antibody. Counter stained with hematoxylin. 5. Immunohistochemical analysis of paraffin-embedded mouse colon tissue using anti-Oct-1 antibody. Counter stained with hematoxylin. ![]() ![]() ![]() ![]() ![]() |
| Application | |
| Recommended Dose | WB: 1:500-2000; IHC: 1:50-200 |
| Antibody Type | Monoclonal |
| Host Species | Rabbit |
| Construction | Recombinant Antibody |
| Purification | ProA affinity purified |
| Appearance | Liquid |
| Formulation | 1*TBS (pH7.4), 1%BSA, 40%Glycerol. Preservative: 0.05% Sodium Azide. |
| Research Background | POU domain proteins contain a bipartite DNA binding domain divided by a flexible linker that enables them to adopt various monomer configurations on DNA. The versatility of POU protein operation is additionally conferred at the dimerization level. The POU dimer from the Oct-1 gene formed on the palindromic Oct factor-recognition element (PORE), which is comprised of an inverted pair of homeodomain-binding sites separated by exactly 5 bp (ATTTGAAATGCAAAT), could recruit the transcriptional co-activator OBF1. Studies of tissue-specific expression of immunoglobulin promoters demonstrate the importance of an octamer, ATTTGCAT, and the proteins that bind to it. This is a regulatory element important for tissue- and cell-specific transcription, as well as for transcription of a number of housekeeping genes. The Oct-1 gene encodes one protein, NF-A1, which is found in nuclear extracts from all cell types and thus is not specific to lymphoid cells as is the protein NF-A2, which is encoded by the Oct-2 gene. |
| Conjucates | Unconjugated |
| Immunogen | Recombinant Protein: human Oct-1 aa 1-150 |
| Antigen Species | human |
| Uniprot ID |
| Molecular Weight | Theoretical: 76 kDa. |
| Stability & Storage | Store at -20°C or -80°C for 12 months. Avoid repeated freeze-thaw cycles. |
| Transport | Shipping with blue ice. |
| Size | Quantity | Unit Price | Amount | Operation |
|---|

Copyright © 2015-2026 TargetMol Chemicals Inc. All Rights Reserved.