Shopping Cart
Remove All
Your shopping cart is currently empty
Anti-MMP-3 Antibody (6H498) is a Rabbit antibody targeting MMP-3. Anti-MMP-3 Antibody (6H498) can be used in IHC,WB.
| Pack Size | Price | USA Warehouse | Global Warehouse | Quantity |
|---|---|---|---|---|
| 50 μL | $297 | 7-10 days | 7-10 days | |
| 100 μL | $496 | 7-10 days | 7-10 days |
| Description | Anti-MMP-3 Antibody (6H498) is a Rabbit antibody targeting MMP-3. Anti-MMP-3 Antibody (6H498) can be used in IHC,WB. |
| Synonyms | Transin-1, Stromelysin-1, STMY1, SL-1, MMP3, Matrix metalloproteinase-3 (MMP-3) |
| Ig Type | IgG |
| Clone | 6H498 |
| Reactivity | Human,Mouse,Rat |
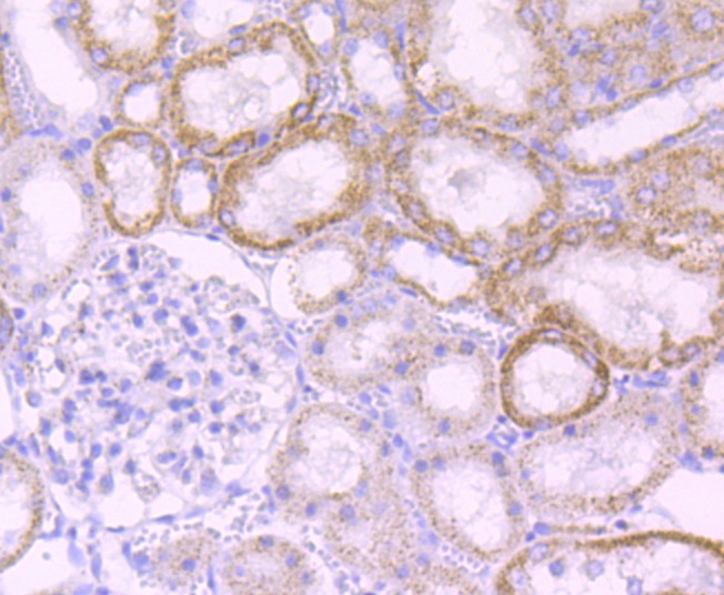
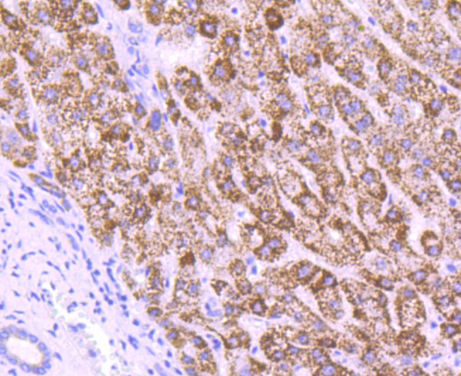
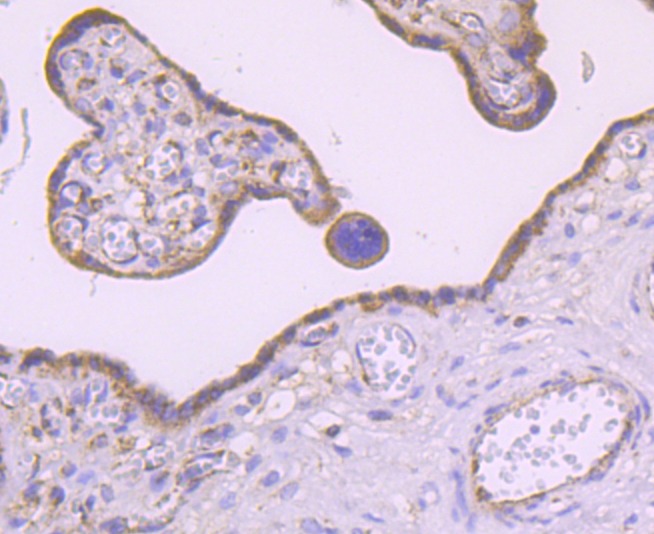
| Verified Activity | 1. Western blot analysis of MMP3 on different lysates using anti-MMP3 antibody at 1/1,000 dilution. Positive control: Lane 1: Human liver, Lane 2: Mouse lung, Lane 3: Rat liver. 2. Immunohistochemical analysis of paraffin-embedded rat kidney tissue using anti-MMP3 antibody. Counter stained with hematoxylin. 3. Immunohistochemical analysis of paraffin-embedded human liver tissue using anti-MMP3 antibody. Counter stained with hematoxylin. 4. Immunohistochemical analysis of paraffin-embedded human placenta tissue using anti-MMP3 antibody. Counter stained with hematoxylin. 5. Immunohistochemical analysis of paraffin-embedded mouse liver tissue using anti-MMP3 antibody. Counter stained with hematoxylin. ![]() ![]() ![]() ![]() ![]() |
| Application | |
| Recommended Dose | WB: 1:500-2000; IHC: 1:50-200 |
| Antibody Type | Monoclonal |
| Host Species | Rabbit |
| Construction | Recombinant Antibody |
| Purification | ProA affinity purified |
| Appearance | Liquid |
| Formulation | 1*TBS (pH7.4), 1%BSA, 40%Glycerol. Preservative: 0.05% Sodium Azide. |
| Research Background | The matrix metalloproteinases (MMP) are a family of peptidase enzymes responsible for the degradation of extracellular matrix components, including collagen, gelatin, fibronectin, laminin and proteoglycan. Transcription of MMP genes is differentially activated by phorbol ester, lipopolysaccharide (LPS) or staphylococcal enterotoxin B (SEB). MMP catalysis requires both calcium and zinc. MMP-3, MMP-10 and MMP-11 (also designated stromelysin-1, -2 and -3 respectively) activate procollagenase. MMP-3 activation of procollagenase can occur via two pathways. Direct activation by MMP-3 is slow and activation by MMP-3 in conjunction with tissue or plasma proteinases is rapid. MMP-10 is expressed in small intestine, and at lower levels in lung and heart. MMP-11 is specifically expressed in stromal cells of breast carcinomas and contributes to epithelial cell malignancies. |
| Conjucates | Unconjugated |
| Immunogen | Recombinant Protein |
| Uniprot ID |
| Stability & Storage | Store at -20°C or -80°C for 12 months. Avoid repeated freeze-thaw cycles. |
| Transport | Shipping with blue ice. |
| Size | Quantity | Unit Price | Amount | Operation |
|---|

Copyright © 2015-2026 TargetMol Chemicals Inc. All Rights Reserved.