Shopping Cart
- Remove All
 Your shopping cart is currently empty Your shopping cart is currently empty
Anti-MARCH7 Polyclonal Antibody is a Rabbit antibody targeting MARCH7. Anti-MARCH7 Polyclonal Antibody can be used in IF,IHC-Fr,IHC-P,WB.
| Pack Size | Price | Availability | Quantity | 
|---|---|---|---|
| 50 μL | $220 | 7-10 days | |
| 100 μL | $374 | 7-10 days | |
| 200 μL | $527 | 7-10 days | 
| Description | Anti-MARCH7 Polyclonal Antibody is a Rabbit antibody targeting MARCH7. Anti-MARCH7 Polyclonal Antibody can be used in IF,IHC-Fr,IHC-P,WB. | 
| Synonyms | RNF177, RING finger protein 177, Membrane-associated RING-CH protein VII, Membrane associated ring finger(C3HC4) 7 E3 ubiquitin protein ligase, Membrane associated RING finger protein 7, membrane associated ring finger C3HC4 7, Membrane associated RING CH protein VII, MARH7, March7, MARCH VII, E3 ubiquitin-protein ligase MARCH7, Axotrophin, AXOT, AXO | 
| Ig Type | IgG | 
| Reactivity | Human,Rat (predicted:Mouse,Dog,Pig,Cow,Horse,Rabbit,Sheep) | 
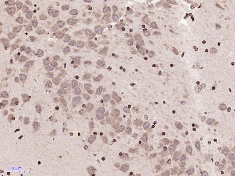
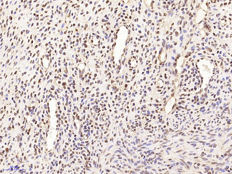
| Verified Activity | 1. Paraformaldehyde-fixed, paraffin embedded (Rat brain); Antigen retrieval by microwave in sodium citrate buffer (pH6.0); Block endogenous peroxidase by 3% hydrogen peroxide for 30 minutes; Blocking buffer (3% BSA) at RT for 30 min; Antibody incubation with (MARCH7) Polyclonal Antibody, Unconjugated (TMAB-01104) at 1:400 overnight at 4°C, followed by conjugation to the secondary antibody (labeled with HRP) and DAB staining. 2. Paraformaldehyde-fixed, paraffin embedded (Rat uterus); Antigen retrieval by microwave in sodium citrate buffer (pH6.0); Block endogenous peroxidase by 3% hydrogen peroxide for 30 minutes; Blocking buffer (3% BSA) at RT for 30 min; Antibody incubation with (MARCH7) Polyclonal Antibody, Unconjugated (TMAB-01104) at 1:400 overnight at 4°C, followed by conjugation to the secondary antibody (labeled with HRP) and DAB staining. 3. Sample: Lane 1: MCF-7 (Human) Cell Lysate at 30 μg Lane 2: U251 (Human) Cell Lysate at 30 μg Primary: Anti-MARCH7 (TMAB-01104) at 1/1000 dilution Secondary: IRDye800CW Goat Anti-Rabbit IgG at 1/20000 dilution Predicted band size: 78 kDa Observed band size: 78/74 kDa    | 
| Application | |
| Recommended Dose | WB: 1:500-2000; IHC-P: 1:100-500; IHC-Fr: 1:100-500; IF: 1:50-200 | 
| Antibody Type | Polyclonal | 
| Host Species | Rabbit | 
| Construction | Polyclonal Antibody | 
| Purification | Protein A purified | 
| Appearance | Liquid | 
| Formulation | 0.01M TBS (pH7.4) with 1% BSA, 0.02% Proclin300 and 50% Glycerol. | 
| Concentration | 1 mg/mL | 
| Research Background | Axotrophin is a stem cell gene that encodes a protein which is involved in T lymphocyte regulation (especially in regulating the proliferation) and leukemia inhibitory factor (LIF) release. LIF is a neuropoietic cytokine that is important for stem cell regulation and thymocyte stimulation. Both Axotrophin and LIF are linked to transplantation intolerance. Axotrophin is also involved in corpus callosum differentiation and may play a role in glial cell line-derived neurotrophic factor (GDNF)-dependent sensory neuron survival in the substantia gelatinosa of the adult spinal cord. Axotrophin is primarily expressed in the hippocampus, cortex, purkinje and granule cells of the cerebellum. | 
| Immunogen | KLH conjugated synthetic peptide: human MARCH7/Axotrophin | 
| Antigen Species | Human | 
| Gene Name | MARCHF7 | 
| Gene ID | |
| Protein Name | E3 ubiquitin-protein ligase MARCHF7 | 
| Uniprot ID | |
| Function | E3 ubiquitin-protein ligase which may specifically enhance the E2 activity of HIP2. E3 ubiquitin ligases accept ubiquitin from an E2 ubiquitin-conjugating enzyme in the form of a thioester and then directly transfer the ubiquitin to targeted substrates. | 
| Molecular Weight | Theoretical: 78 kDa. | 
| Stability & Storage | Store at -20°C or -80°C for 12 months. Avoid repeated freeze-thaw cycles. | 
| Transport | Shipping with blue ice. | 

Copyright © 2015-2025 TargetMol Chemicals Inc. All Rights Reserved.