Shopping Cart
Remove All
Your shopping cart is currently empty
Anti-KRT14 Antibody (3K758) is a Rabbit antibody targeting KRT14. Anti-KRT14 Antibody (3K758) can be used in ICC/IF,IHC,WB.
| Pack Size | Price | USA Warehouse | Global Warehouse | Quantity |
|---|---|---|---|---|
| 50 μL | $298 | 7-10 days | 7-10 days | |
| 100 μL | $498 | 7-10 days | 7-10 days |
| Description | Anti-KRT14 Antibody (3K758) is a Rabbit antibody targeting KRT14. Anti-KRT14 Antibody (3K758) can be used in ICC/IF,IHC,WB. |
| Synonyms | NFJ, K14, EBS4, EBS3, EBS1D, EBS1C, EBS1B, EBS1A, EBS1, CK14 |
| Ig Type | IgG |
| Clone | 3K758 |
| Reactivity | Human,Mouse,Rat |
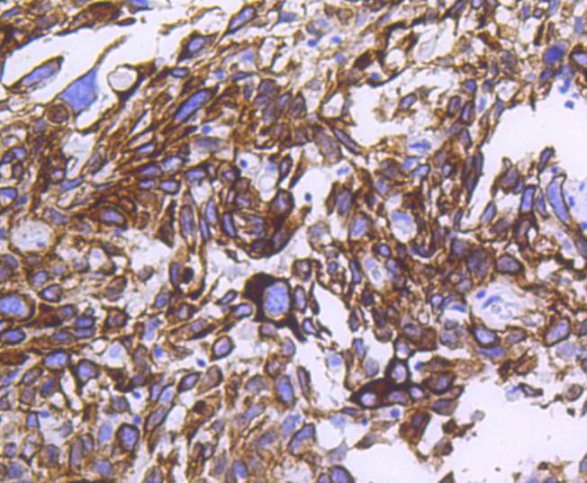
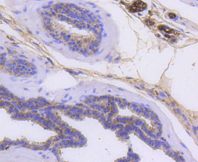
| Verified Activity | 1. Western blot analysis of Cytokeratin 14 on different lysates using anti-Cytokeratin 14 antibody at 1/1,000 dilution. Positive control: Lane 1: A431, Lane 2: Human skin. 2. Immunohistochemical analysis of paraffin-embedded mouse skin tissue using anti-Cytokeratin 14 antibody. Counter stained with hematoxylin. 3. Immunohistochemical analysis of paraffin-embedded human breast carcinoma tissue using anti-Cytokeratin 14 antibody. Counter stained with hematoxylin. 4. Immunohistochemical analysis of paraffin-embedded mouse prostate tissue using anti-Cytokeratin 14 antibody. Counter stained with hematoxylin. 5. ICC staining Cytokeratin 14 in B16-F1 cells (green). The nuclear counter stain is DAPI (blue). Cells were fixed in paraformaldehyde, permeabilised with 0.25% Triton X100/PBS. 6. ICC staining Cytokeratin 14 in SW480 cells (green). The nuclear counter stain is DAPI (blue). Cells were fixed in paraformaldehyde, permeabilised with 0.25% Triton X100/PBS. 7. ICC staining Cytokeratin 14 in HepG2 cells (green). The nuclear counter stain is DAPI (blue). Cells were fixed in paraformaldehyde, permeabilised with 0.25% Triton X100/PBS. ![]() ![]() ![]() ![]() ![]() ![]() ![]() |
| Application | |
| Recommended Dose | WB: 1:1000-2000; IHC: 1:100-500; ICC/IF: 1:100-500 |
| Antibody Type | Monoclonal |
| Host Species | Rabbit |
| Construction | Recombinant Antibody |
| Purification | ProA affinity purified |
| Appearance | Liquid |
| Formulation | 1*TBS (pH7.4), 1%BSA, 40%Glycerol. Preservative: 0.05% Sodium Azide. |
| Research Background | Cytokeratins comprise a diverse group of intermediate filament proteins (IFPs) that are expressed in pairs in both keratinized and non-keratinized epithelial tissue, where they constitute up to 85% of mature keratinocytes in the vertebrate epidermis. Cytokeratins play a critical role in differentiation and tissue specialization and function to maintain the overall structural integrity of epithelial cells. The a-helical coiled-coil dimers associate laterally end-to-end to form 10 nm diameter filaments. Cytokeratins are useful markers of tissue differentiation and, in addition, they aid in the characterization of malignant tumors. In Bowen??s disease, the characteristic malignancy of the epidermis exhibits distinct expression patterns of Cytokeratin 14. The gene encoding human Cytokeratin 14 maps to chromosome 17q12-21. Mutations in this gene lead to epidermolysis bullosa simplex, an inheritied skin disorder characterized by skin blistering due to basal keratinocyte fragility. |
| Conjucates | Unconjugated |
| Immunogen | Recombinant Protein |
| Uniprot ID |
| Molecular Weight | Theoretical: 53 kDa. |
| Stability & Storage | Store at -20°C or -80°C for 12 months. Avoid repeated freeze-thaw cycles. |
| Transport | Shipping with blue ice. |
| Size | Quantity | Unit Price | Amount | Operation |
|---|

Copyright © 2015-2026 TargetMol Chemicals Inc. All Rights Reserved.