Shopping Cart
Remove All
Your shopping cart is currently empty
Anti-IL-33 Polyclonal Antibody is a Rabbit antibody targeting IL-33. Anti-IL-33 Polyclonal Antibody can be used in IF,IHC-Fr,IHC-P,WB.
| Pack Size | Price | USA Stock | Global Stock | Quantity |
|---|---|---|---|---|
| 50 μL | $221 | 7-10 days | 7-10 days | |
| 100 μL | $372 | 7-10 days | 7-10 days | |
| 200 μL | $528 | 7-10 days | 7-10 days |
| Description | Anti-IL-33 Polyclonal Antibody is a Rabbit antibody targeting IL-33. Anti-IL-33 Polyclonal Antibody can be used in IF,IHC-Fr,IHC-P,WB. |
| Synonyms | NF-HEV, NFEHEV, interleukin 33, IL1F11, DVS27, C9orf26 |
| Ig Type | IgG |
| Reactivity | Human,Rat |
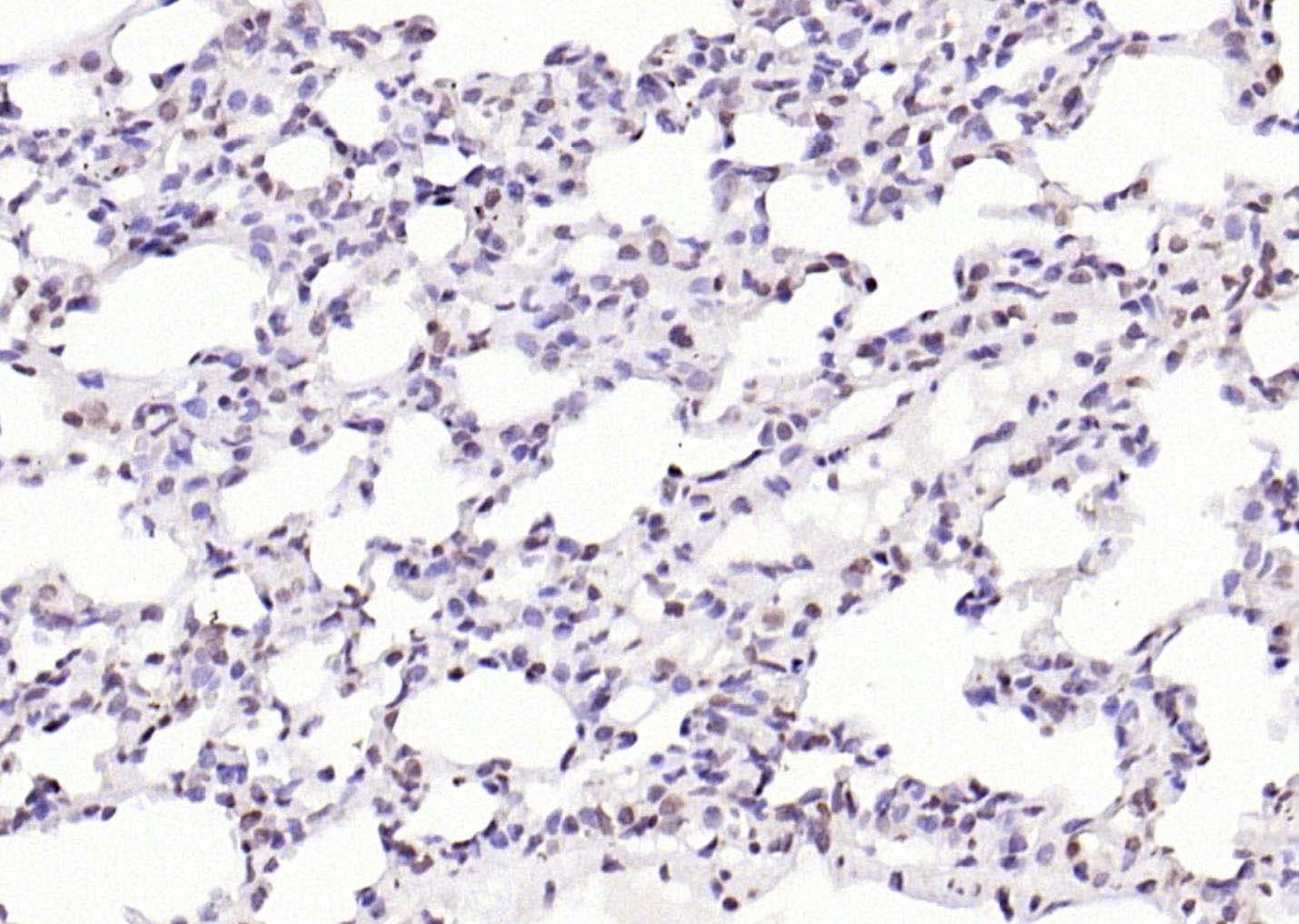
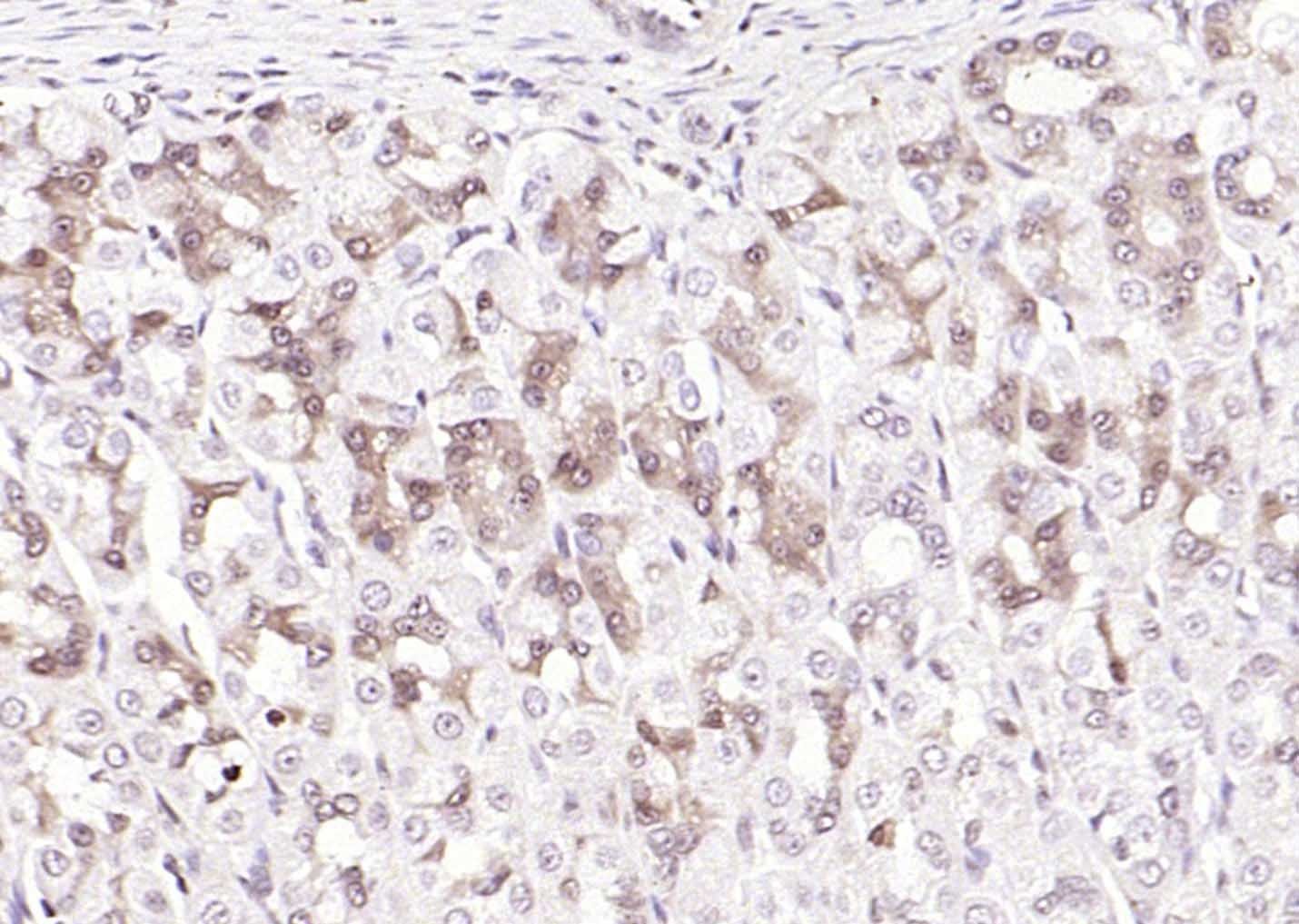
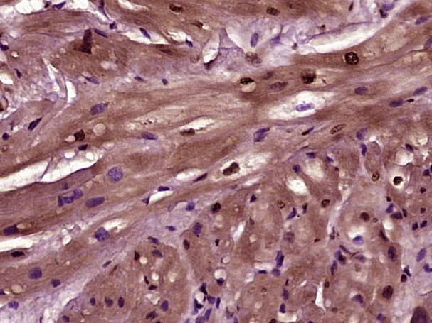
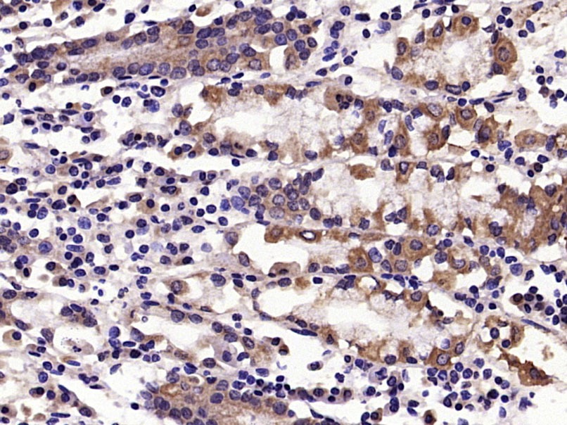
| Verified Activity | 1. Sample: 293t (Human) Cell Lysate at 30 μg Jurkat (Human) Cell Lysate at 30 μg Primary: Anti-IL33 (TMAB-00959) at 1/500 dilution Secondary: IRDye800CW Goat Anti-Rabbit IgG at 1/20000 dilution Predicted band size: 31 kDa Observed band size: 31 kDa 2. Paraformaldehyde-fixed, paraffin embedded (human heart tissue); Antigen retrieval by boiling in sodium citrate buffer (pH6.0) for 15 min; Block endogenous peroxidase by 3% hydrogen peroxide for 20 min; Blocking buffer (normal goat serum) at 37°C for 30 min; Antibody incubation with (IL33) Polyclonal Antibody, Unconjugated (TMAB-00959) at 1:400 overnight at 4°C, followed by operating according to SP Kit (Rabbit) instructionsand DAB staining. 3. Sample: Raji (Human) Cell Lysate at 30 μg Primary: Anti-IL33 (TMAB-00959) at 1/500 dilution Secondary: IRDye800CW Goat Anti-Rabbit IgG at 1/20000 dilution Predicted band size: 18 kDa Observed band size: 25 kDa 4. Sample: Jurkat (Human) Cell Lysate at 30 μg Primary: Anti-IL33 (TMAB-00959) at 1/500 dilution Secondary: IRDye800CW Goat Anti-Rabbit IgG at 1/20000 dilution Predicted band size: 18 kDa Observed band size: 25 kDa 5. Paraformaldehyde-fixed, paraffin embedded (human tonsil); Antigen retrieval by boiling in sodium citrate buffer (pH6.0) for 15 min; Block endogenous peroxidase by 3% hydrogen peroxide for 20 min; Blocking buffer (normal goat serum) at 37°C for 30 min; Antibody incubation with (IL33) Polyclonal Antibody, Unconjugated (TMAB-00959) at 1:200 overnight at 4°C, followed by operating according to SP Kit (Rabbit) instructionsand DAB staining. 6. Paraformaldehyde-fixed, paraffin embedded (Human stomach); Antigen retrieval by microwave in sodium citrate buffer (pH6.0); Block endogenous peroxidase by 3% hydrogen peroxide for 30 minutes; Blocking buffer (3% BSA) at RT for 30 min; Antibody incubation with (IL33) Polyclonal Antibody, Unconjugated (TMAB-00959) at 1:400 overnight at 4°C, followed by conjugation to the secondary antibody (labeled with HRP) and DAB staining. 7. Paraformaldehyde-fixed, paraffin embedded (rat lung); Antigen retrieval by boiling in sodium citrate buffer (pH6.0) for 15 min; Block endogenous peroxidase by 3% hydrogen peroxide for 20 min; Blocking buffer (normal goat serum) at 37°C for 30 min; Antibody incubation with (IL33) Polyclonal Antibody, Unconjugated (TMAB-00959) at 1:200 overnight at 4°C, followed by operating according to SP Kit (Rabbit) instructionsand DAB staining. 8. Paraformaldehyde-fixed, paraffin embedded (rat stomach); Antigen retrieval by boiling in sodium citrate buffer (pH6.0) for 15 min; Block endogenous peroxidase by 3% hydrogen peroxide for 20 min; Blocking buffer (normal goat serum) at 37°C for 30 min; Antibody incubation with (IL33) Polyclonal Antibody, Unconjugated (TMAB-00959) at 1:200 overnight at 4°C, followed by operating according to SP Kit (Rabbit) instructionsand DAB staining. ![]() ![]() ![]() ![]() ![]() ![]() ![]() ![]() |
| Application | |
| Recommended Dose | WB: 1:500-2000; IHC-P: 1:100-500; IHC-Fr: 1:100-500; IF: 1:100-500 |
| Antibody Type | Polyclonal |
| Host Species | Rabbit |
| Subcellular Localization | Nucleus. Chromosome. Cytoplasmic vesicle, secretory vesicle. Secreted. Note=Associates with heterochromatin and mitotic chromosomes. Translocation from the nucleus occurs upon biomechanical strain, depends on an intact microtubule network, and is ATP-dependent. |
| Tissue Specificity | Expressed at high level in high endothelial venules found in tonsils, Peyer patches and mesenteric lymph nodes. Almost undetectable in placenta. |
| Construction | Polyclonal Antibody |
| Purification | Protein A purified |
| Appearance | Liquid |
| Formulation | 0.01M TBS (pH7.4) with 1% BSA, 0.02% Proclin300 and 50% Glycerol. |
| Concentration | 1 mg/mL |
| Research Background | IL33 is a cytokine which belongs to the IL-1 superfamily, and it induces helper T cells to produce type 2 cytokines. This cytokine was previously named NF-HEV 'nuclear factor (NF) in high endothelial venules' (HEVs), as it was originally identified in these specialized cells. IL33 mediates its biological effects by interacting with the receptors ST2 and IL-1 Receptor Accessory Protein, activating intracellular molecules in the NF-kappaB and MAP kinase signaling pathways that drive production of type 2 cytokines (e.g. IL-4, IL-5 and IL-13) from polarized Th2 cells. The induction of type 2 cytokines by IL-33 in vivo is believed to induce the the severe pathological changes observed in mucosal organs following administration of IL33. |
| Immunogen | KLH conjugated synthetic peptide: human IL-33 Propeptide |
| Antigen Species | Human |
| Gene Name | IL33 |
| Gene ID | |
| Protein Name | Interleukin-33 |
| Uniprot ID | |
| Biology Area | Cytokines,Hypertrophy,Interleukins |
| Function | Cytokine that binds to and signals through IL1RL1/ST2 and its stimulation recruits MYD88, IRAK1, IRAK4, and TRAF6, followed by phosphorylation of MAPK3/ERK1 and/or MAPK1/ERK2, MAPK14, and MAPK8. Induces T-helper type 2-associated cytokines. Acts as a chemoattractant tor Th2 cells, and may function as an 'alarmin', that amplifies immune responses during tissue injury. In quiescent endothelia the uncleaved form is constitutively and abundantly expressed, and acts as a chromatin-associated nuclear factor with transcriptional repressor properties, it may sequester nuclear NF-kappaB/RELA, lowering expression of its targets. This form is rapidely lost upon angiogenic or proinflammatory activation. |
| Molecular Weight | Theoretical: 31 kDa. Actual: 31 kDa. |
| Stability & Storage | Store at -20°C or -80°C for 12 months. Avoid repeated freeze-thaw cycles. |
| Transport | Shipping with blue ice. |
| Size | Quantity | Unit Price | Amount | Operation |
|---|

Copyright © 2015-2026 TargetMol Chemicals Inc. All Rights Reserved.