Shopping Cart
Remove All
Your shopping cart is currently empty
Anti-hydroxyproline Polyclonal Antibody is a Rabbit antibody targeting hydroxyproline. Anti-hydroxyproline Polyclonal Antibody can be used in IF, IHC-Fr, IHC-P.
| Pack Size | Price | USA Warehouse | Global Warehouse | Quantity |
|---|---|---|---|---|
| 50 μL | $220 | 7-10 days | 7-10 days | |
| 100 μL | $374 | 7-10 days | 7-10 days | |
| 200 μL | $527 | 7-10 days | 7-10 days |
| Description | Anti-hydroxyproline Polyclonal Antibody is a Rabbit antibody targeting hydroxyproline. Anti-hydroxyproline Polyclonal Antibody can be used in IF, IHC-Fr, IHC-P. |
| Synonyms | Hyp |
| Ig Type | IgG |
| Reactivity | Species independent |
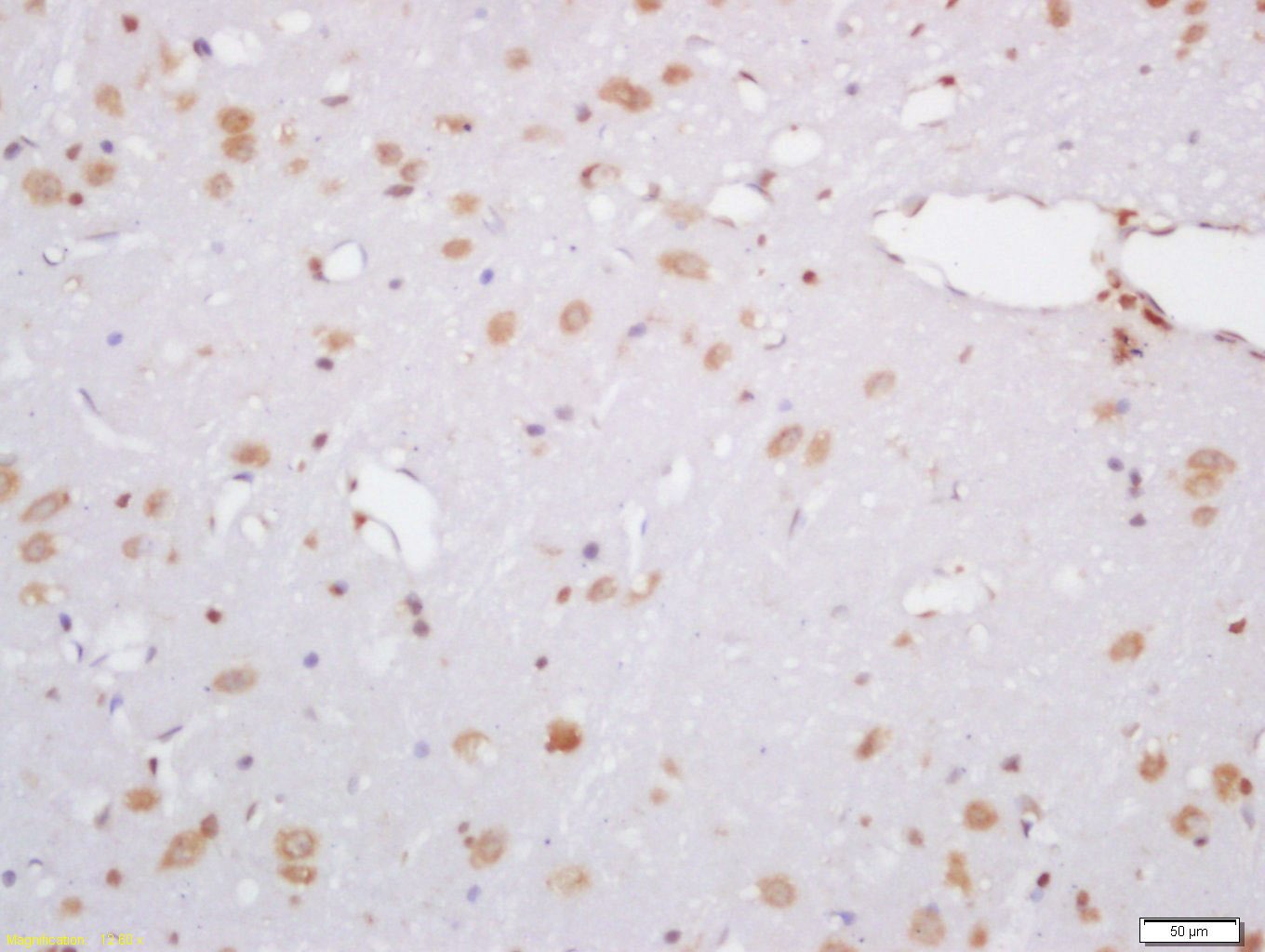
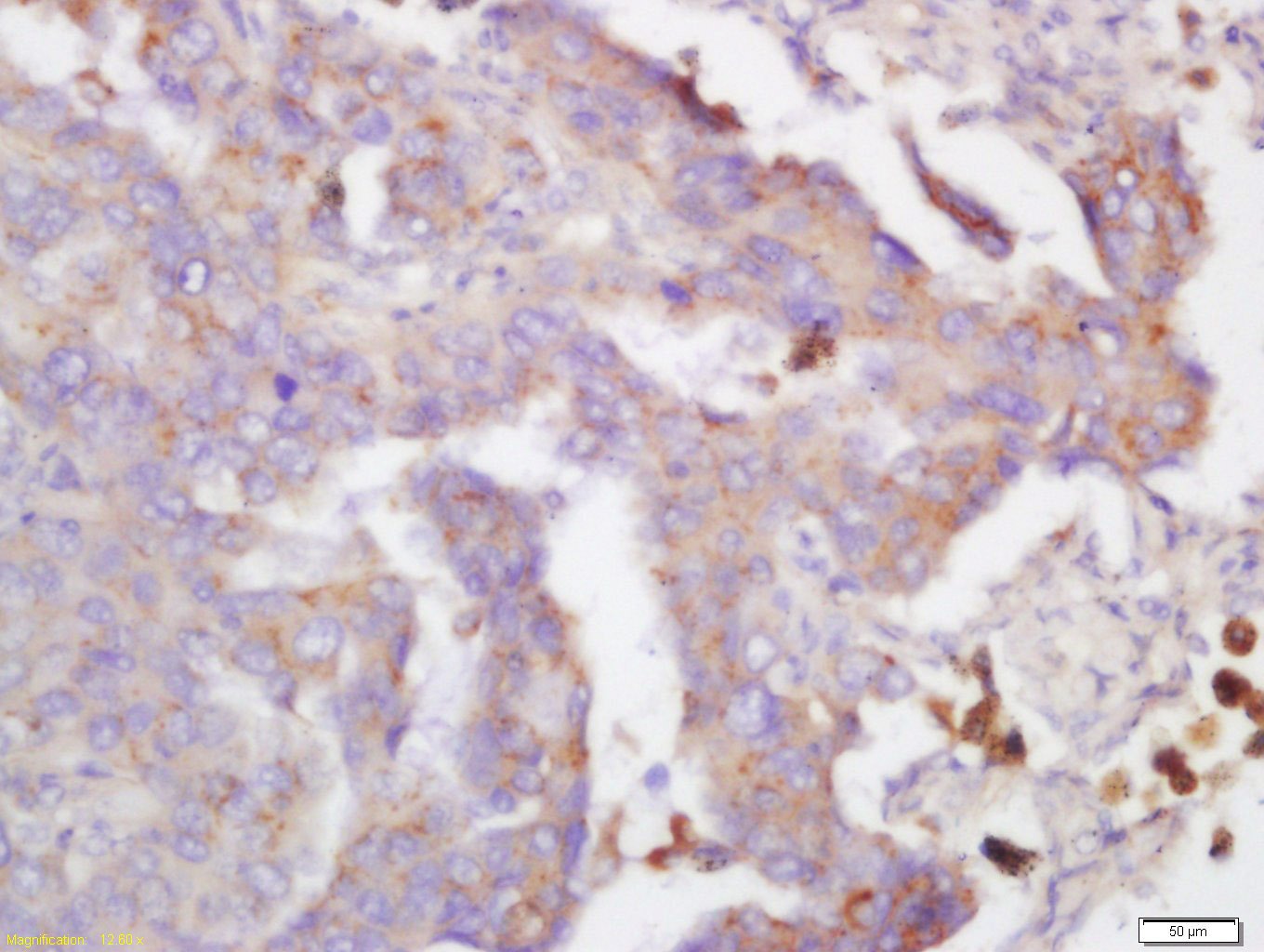
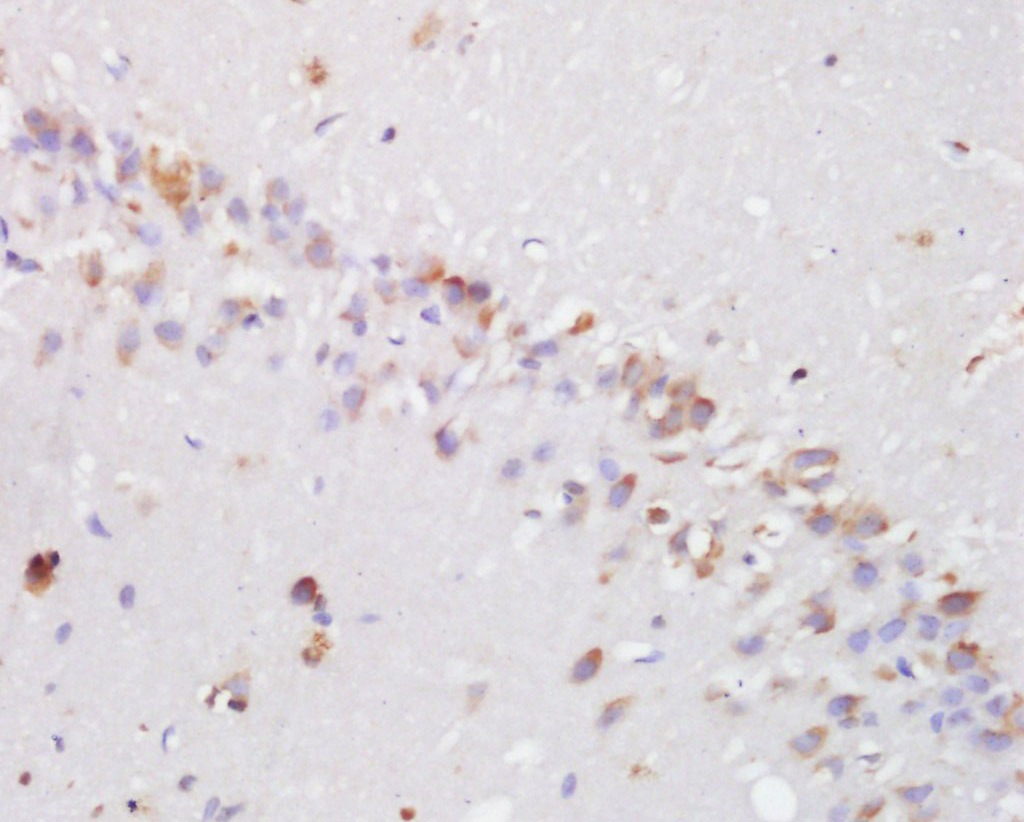
| Verified Activity | 1. Tissue/cell: rat brain tissue; 4% Paraformaldehyde-fixed and paraffin-embedded; Antigen retrieval: citrate buffer (0.01M, pH6.0), Boiling bathing for 15 min; Block endogenous peroxidase by 3% Hydrogen peroxide for 30 min; Blocking buffer (normal goat serum) at 37°C for 20 min; Incubation: Anti-hydroxyproline Polyclonal Antibody, Unconjugated (TMAB-00901) 1:200, overnight at 4°C, followed by conjugation to the secondary antibody and DAb staining. 2. Tissue/cell: rat brain tissue; 4% Paraformaldehyde-fixed and paraffin-embedded; Antigen retrieval: citrate buffer (0.01M, pH6.0), Boiling bathing for 15 min; Block endogenous peroxidase by 3% Hydrogen peroxide for 30 min; Blocking buffer (normal goat serum) at 37°C for 20 min; Incubation: Anti-hydroxyproline Polyclonal Antibody, Unconjugated (TMAB-00901) 1:200, overnight at 4°C, followed by conjugation to the secondary antibody and DAb staining. 3. Tissue/cell: human lung carcinoma; 4% Paraformaldehyde-fixed and paraffin-embedded; Antigen retrieval: citrate buffer (0.01M, pH6.0), Boiling bathing for 15 min; Block endogenous peroxidase by 3% Hydrogen peroxide for 30 min; Blocking buffer (normal goat serum) at 37°C for 20 min; Incubation: Anti-hydroxyproline Polyclonal Antibody, Unconjugated (TMAB-00901) 1:200, overnight at 4°C, followed by conjugation to the secondary antibody and DAb staining. ![]() ![]() ![]() |
| Application | |
| Recommended Dose | IHC-P: 1:100-500; IHC-Fr: 1:100-500; IF: 1:100-500 |
| Antibody Type | Polyclonal |
| Host Species | Rabbit |
| Construction | Polyclonal Antibody |
| Purification | Protein A purified |
| Appearance | Liquid |
| Formulation | 0.01M TBS (pH7.4) with 1% BSA, 0.02% Proclin300 and 50% Glycerol. |
| Concentration | 1 mg/mL |
| Research Background | Hydroxyproline, a non-essential amino acid derived from proline, with no known therapeutic use. Hydroxproline is used as a major component of structural protiens such as collagen, connective tissues, plant cell walls, tendons and ligaments and provides skin elasticity. Vitiman C is required for the conversion process from proline to hydroxyproline, a deficincy in vitiman C can lead to defects in collagen synthesis, thus, resulting in easy bruising, internal bleeding, breakdown of connective tissue of the ligaments and tendons, and increased risk to blood vessel damage. An unusual feature of this amino acid is that, it is not incorporated into collagen during biosynthesis at the ribosomal level, but is formed from proline by a posttranslational modification by an enzymatic hydroxylation reaction. |
| Immunogen | KLH conjugated hydroxyproline |
| Stability & Storage | Store at -20°C or -80°C for 12 months. Avoid repeated freeze-thaw cycles. |
| Transport | Shipping with blue ice. |
| Size | Quantity | Unit Price | Amount | Operation |
|---|

Copyright © 2015-2026 TargetMol Chemicals Inc. All Rights Reserved.