Shopping Cart
Remove All
Your shopping cart is currently empty
Anti-Histone H2A.Z Antibody (8L132)is a Rabbit antibody targeting Histone H2A.Z. Anti-Histone H2A.Z Antibody (8L132) can be used in ICC/IF,IHC,WB.
| Pack Size | Price | USA Warehouse | Global Warehouse | Quantity |
|---|---|---|---|---|
| 50 μL | $296 | 7-10 days | 7-10 days | |
| 100 μL | $498 | 7-10 days | 7-10 days |
| Description | Anti-Histone H2A.Z Antibody (8L132)is a Rabbit antibody targeting Histone H2A.Z. Anti-Histone H2A.Z Antibody (8L132) can be used in ICC/IF,IHC,WB. |
| Synonyms | Histone H2A/m, Histone H2A/a, Histone H2A.2, Histone H2A type 1-B/E, HIST1H2AE, HIST1H2AB, H2AFM, H2AFA, AND |
| Ig Type | IgG |
| Clone | 8L132 |
| Reactivity | Human,Mouse,Rat |
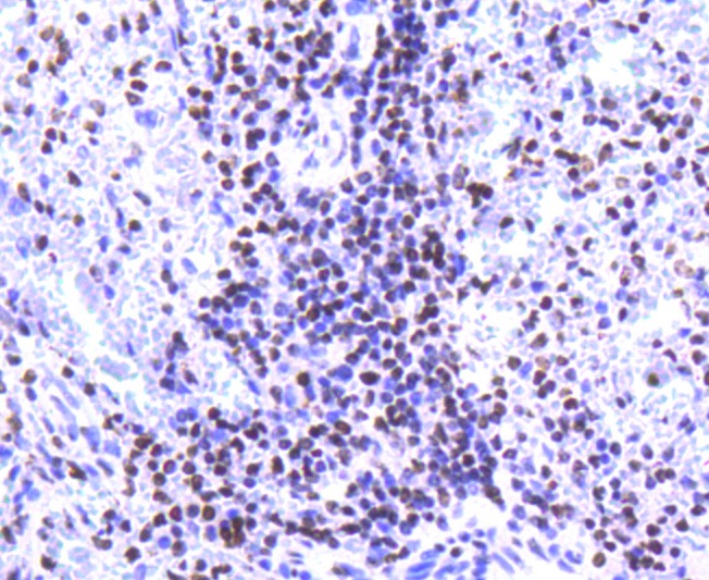
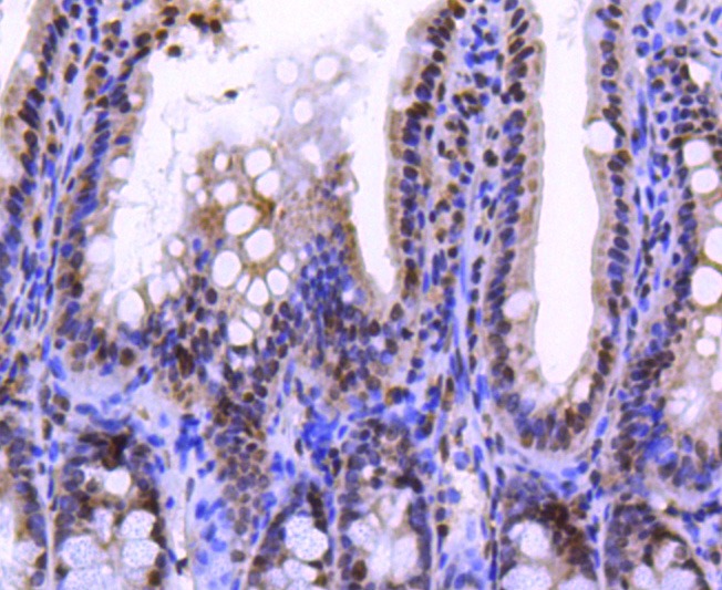
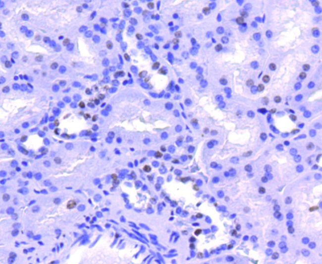
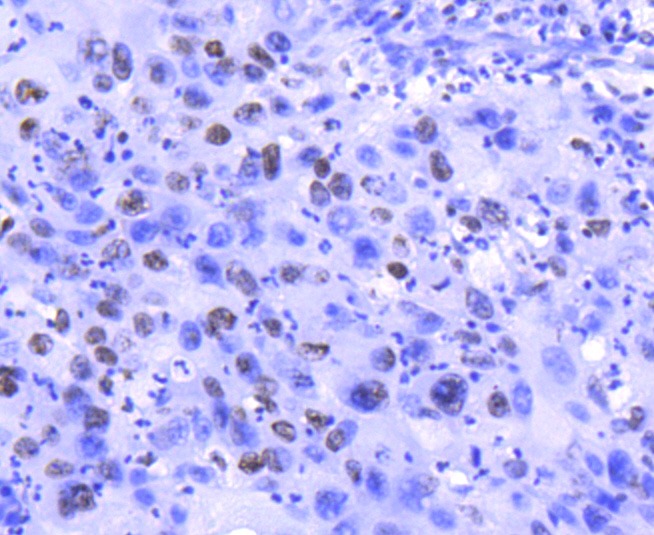
| Verified Activity | 1. Immunohistochemical analysis of paraffin-embedded human spleen tissue using anti-PARK7 antibody. Counter stained with hematoxylin. 2. Immunohistochemical analysis of paraffin-embedded mouse colon tissue using anti-PARK7 antibody. Counter stained with hematoxylin. 3. Immunohistochemical analysis of paraffin-embedded human lung cancer tissue using anti-PARK7 antibody. Counter stained with hematoxylin. 4. Immunohistochemical analysis of paraffin-embedded human kidney tissue using anti-PARK7 antibody. Counter stained with hematoxylin. 5. ICC staining Histone H2A.Z in Hela cells (green). The nuclear counter stain is DAPI (blue). Cells were fixed in paraformaldehyde, permeabilised with 0.25% Triton X100/PBS. ![]() ![]() ![]() ![]() ![]() |
| Application | |
| Recommended Dose | WB: 1:500-1000; IHC: 1:50-200; ICC/IF: 1:50-200 |
| Antibody Type | Monoclonal |
| Host Species | Rabbit |
| Construction | Recombinant Antibody |
| Purification | ProA affinity purified |
| Appearance | Liquid |
| Formulation | 1*TBS (pH7.4), 1%BSA, 40%Glycerol. Preservative: 0.05% Sodium Azide. |
| Research Background | Histone H2A.Z/H2A.F/Z (H2A/z) is a 128 amino acid protein encoded by the human gene H2AFZ. Eukaryotic histones are basic and water soluble nuclear proteins that form hetero-octameric nucleosome particles by wrapping 146 base pairs of DNA sequentially in a left-handed super-helical turn to form chromosomal fiber. Two molecules of each of the four core histones (H2A, H2B, H3 and H4) form the octamer, which is comprised of two H2A-H2B dimers and two H3-H4 dimers, creating two nearly symmetrical halves by tertiary structure. H2A.Z/H2A.F/Z is a variant Histone H2A which replaces conventional H2A in a subset of nucleosomes. Nucleosomes wrap and compact DNA into chromatin, limiting DNA accessibility to the cellular machineries which require DNA as a template. Histones thereby play a central role in tran-scription regulation, DNA repair, DNA replication and chromosomal stability. DNA accessibility is regulated via a complex set of posttranslational modifications of histones, also called histone code, and nucleosome remodeling. H2A.Z/H2A.F/Z may be involved in the formation of constitutive heterochromatin and may be required for chromosome segregation during cell division. |
| Conjucates | Unconjugated |
| Immunogen | Recombinant Protein |
| Uniprot ID |
| Molecular Weight | Theoretical: 13 kDa. |
| Stability & Storage | Store at -20°C or -80°C for 12 months. Avoid repeated freeze-thaw cycles. |
| Transport | Shipping with blue ice. |
| Size | Quantity | Unit Price | Amount | Operation |
|---|

Copyright © 2015-2026 TargetMol Chemicals Inc. All Rights Reserved.