Shopping Cart
Remove All
Your shopping cart is currently empty
Anti-GFAP Antibody (6C642) is a Mouse antibody targeting GFAP. Anti-GFAP Antibody (6C642) can be used in IF,IHC,WB.
| Pack Size | Price | USA Warehouse | Global Warehouse | Quantity |
|---|---|---|---|---|
| 50 μL | $217 | 7-10 days | 7-10 days | |
| 100 μL | $317 | 7-10 days | 7-10 days |
| Description | Anti-GFAP Antibody (6C642) is a Mouse antibody targeting GFAP. Anti-GFAP Antibody (6C642) can be used in IF,IHC,WB. |
| Synonyms | Glial Fibrillary Acidic Protein, GFAP |
| Clone | 6C642 |
| Reactivity | Human,Mouse,Rat |
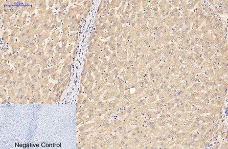
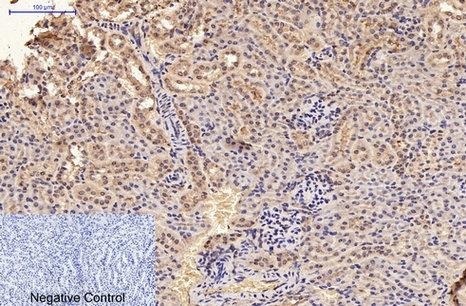
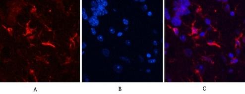
| Verified Activity | 1. Western blot analysis of lysates from 1) Rat Brain Tissue, 2)HeLa , 3)A431, 4) PC12 cells, (Green) primary antibody was diluted at 1:1000, 4°Cover night, secondary antibody was diluted at 1:10000, 37°C 1hour. (Red) Tubulin β Polyclonal Antibody antibody was diluted at 1:5000 as loading control, 4°C over night, secondary antibody was diluted at 1:10000, 37°C 1hour. 2. Immunohistochemical analysis of paraffin-embedded Mouse-kidney tissue. 1,GFAP Monoclonal Antibody was diluted at 1:200 (4°C, overnight). 2, Sodium citrate pH 6.0 was used for antibody retrieval (>98°C,2 0min). 3,Secondary antibody was diluted at 1:200 (room tempeRature, 30min). Negative control was used by secondary antibody only. 3. Immunohistochemical analysis of paraffin-embedded Human-liver tissue. 1,GFAP Monoclonal Antibody was diluted at 1:200 (4°C, overnight). 2, Sodium citrate pH 6.0 was used for antibody retrieval (>98°C, 20min). 3,Secondary antibody was diluted at 1:200 (room temperature, 30min). Negative control was used by secondary antibody only. 4. Immunofluorescence analysis of Rat-brain tissue. 1,GFAP Monoclonal Antibody (red) was diluted at 1:200 (4°C, overnight). 2, Cy3 labled Secondary antibody was diluted at 1:300 (room temperature, 50min).3, Picture B: DAPI(blue) 10min. Picture A:Target. Picture B: DAPI. Picture C: merge of A+B. 5. Immunofluorescence analysis of Mouse-brain tissue. 1,GFAP Monoclonal Antibody (red) was diluted at 1:200 (4°C, overnight). 2, Cy3 labled Secondary antibody was diluted at 1:300 (room temperature, 50min).3, Picture B: DAPI (blue) 10min. Picture A: Target. Picture B: DAPI. Picture C: merge of A+B. 6. Immunofluorescence analysis of Hela cell. 1,AR Polyclonal Antibody (red) was diluted at 1:200 (4°C overnight). GFAP Monoclonal Antibody (green) was diluted at 1:200 (4°C overnight). 2, Goat Anti Rabbit Alexa Fluor 594 was diluted at 1:1000 (room temperature, 50min). Goat Anti Mouse Alexa Fluor 488 was diluted at 1:1000 (room temperature, 50min). ![]() ![]() ![]() ![]() ![]() ![]() |
| Application | |
| Recommended Dose | WB: 1:2000-5000; IHC: 1:50-300; IF: 1:100-200 |
| Antibody Type | Monoclonal |
| Host Species | Mouse |
| Construction | Hybridoma Monoclonal Antibody |
| Purification | The antibody was affinity-purified from mouse ascites by affinity-chromatography using specific immunogen. |
| Appearance | Liquid |
| Formulation | PBS, pH 7.4, containing 0.5%BSA, 0.02% sodium azide as Preservative and 50% Glycerol. |
| Research Background | This gene encodes one of the major intermediate filament proteins of mature astrocytes. It is used as a marker to distinguish astrocytes from other glial cells during development. Mutations in this gene cause Alexander disease, a rare disorder of astrocytes in the central nervous system. Alternative splicing results in multiple transcript variants encoding distinct isoforms. [provided by RefSeq, Oct 2008], |
| Conjucates | Unconjugated |
| Uniprot ID |
| Molecular Weight | Actual: 45 kDa. |
| Stability & Storage | Store at -20°C or -80°C for 12 months. Avoid repeated freeze-thaw cycles. |
| Transport | Shipping with blue ice. |
| Size | Quantity | Unit Price | Amount | Operation |
|---|

Copyright © 2015-2026 TargetMol Chemicals Inc. All Rights Reserved.