Shopping Cart
Remove All
Your shopping cart is currently empty
Anti-Endoglin/CD105 Polyclonal Antibody is a Rabbit antibody targeting Endoglin/CD105. Anti-Endoglin/CD105 Polyclonal Antibody can be used in IF,IHC-Fr,IHC-P.
| Pack Size | Price | USA Warehouse | Global Warehouse | Quantity |
|---|---|---|---|---|
| 50 μL | $220 | 7-10 days | 7-10 days | |
| 100 μL | $373 | 7-10 days | 7-10 days | |
| 200 μL | $529 | 7-10 days | 7-10 days |
| Description | Anti-Endoglin/CD105 Polyclonal Antibody is a Rabbit antibody targeting Endoglin/CD105. Anti-Endoglin/CD105 Polyclonal Antibody can be used in IF,IHC-Fr,IHC-P. |
| Synonyms | ORW1, ORW, HHT1, ENG, Endoglin, END, CD105 |
| Ig Type | IgG |
| Reactivity | Mouse |
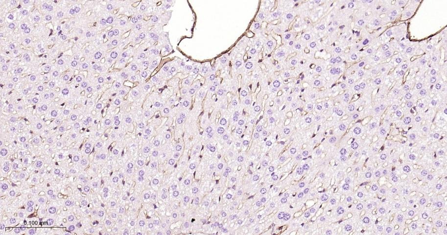
| Verified Activity | 1. Paraformaldehyde-fixed, paraffin embedded Mouse Liver; Antigen retrieval by boiling in sodium citrate buffer (pH6.0) for 15 min; Antibody incubation with CD105 Polyclonal Antibody, Unconjugated (TMAB-00608) at 1:300 overnight at 4°C, followed by conjugation to the secondary antibody and DAB staining. 2. Paraformaldehyde-fixed, paraffin embedded Mouse Spleen; Antigen retrieval by boiling in sodium citrate buffer (pH6.0) for 15 min; Antibody incubation with CD105 Polyclonal Antibody, Unconjugated (TMAB-00608) at 1:300 overnight at 4°C, followed by conjugation to the secondary antibody and DAB staining. 3. Paraformaldehyde-fixed, paraffin embedded Mouse Kidney; Antigen retrieval by boiling in sodium citrate buffer (pH6.0) for 15 min; Antibody incubation with CD105 Polyclonal Antibody, Unconjugated (TMAB-00608) at 1:300 overnight at 4°C, followed by conjugation to the secondary antibody and DAB staining. 4. Paraformaldehyde-fixed, paraffin embedded Mouse Lung; Antigen retrieval by boiling in sodium citrate buffer (pH6.0) for 15 min; Antibody incubation with CD105 Polyclonal Antibody, Unconjugated (TMAB-00608) at 1:300 overnight at 4°C, followed by conjugation to the secondary antibody and DAB staining. ![]() ![]() ![]() ![]() |
| Application | |
| Recommended Dose | IHC-P: 1:100-500; IHC-Fr: 1:100-500; IF: 1:100-500 |
| Antibody Type | Polyclonal |
| Host Species | Rabbit |
| Subcellular Localization | Membrane; Single-pass type I membrane protein. |
| Tissue Specificity | Endoglin is restricted to endothelial cells in all tissues except bone marrow. |
| Construction | Polyclonal Antibody |
| Purification | Protein A purified |
| Appearance | Liquid |
| Formulation | 0.01M TBS (pH7.4) with 1% BSA, 0.02% Proclin300 and 50% Glycerol. |
| Concentration | 1 mg/mL |
| Research Background | This gene encodes a homodimeric transmembrane protein which is a major glycoprotein of the vascular endothelium. This protein is a component of the transforming growth factor beta receptor complex and it binds to the beta1 and beta3 peptides with high affinity. Mutations in this gene cause hereditary hemorrhagic telangiectasia, also known as Osler-Rendu-Weber syndrome 1, an autosomal dominant multisystemic vascular dysplasia. This gene may also be involved in preeclampsia and several types of cancer. Alternatively spliced transcript variants encoding different isoforms have been found for this gene. [provided by RefSeq, May 2013] |
| Immunogen | KLH conjugated synthetic peptide: mouse CD105 |
| Antigen Species | Mouse |
| Gene Name | ENG |
| Gene ID | |
| Protein Name | Endoglin |
| Uniprot ID | |
| Biology Area | Tumor biomarkers,Endothelial Cell Markers,Endothelial Cells,Endothelium,Endothelial Cells,Endothelial Markers,Surface Molecules |
| Function | Major glycoprotein of vascular endothelium. May play a critical role in the binding of endothelial cells to integrins and/or other RGD receptors. |
| Molecular Weight | Theoretical: 70 kDa. Actual: 90 kDa. |
| Stability & Storage | Store at -20°C or -80°C for 12 months. Avoid repeated freeze-thaw cycles. |
| Transport | Shipping with blue ice. |
| Size | Quantity | Unit Price | Amount | Operation |
|---|

Copyright © 2015-2026 TargetMol Chemicals Inc. All Rights Reserved.