Shopping Cart
Remove All
Your shopping cart is currently empty
Anti-Elastin Polyclonal Antibody is a Rabbit antibody targeting Elastin. Anti-Elastin Polyclonal Antibody can be used in IF,IHC-Fr,IHC-P,WB.
| Pack Size | Price | USA Stock | Global Stock | Quantity |
|---|---|---|---|---|
| 50 μL | $220 | 7-10 days | 7-10 days | |
| 100 μL | $373 | 7-10 days | 7-10 days | |
| 200 μL | $529 | 7-10 days | 7-10 days |
| Description | Anti-Elastin Polyclonal Antibody is a Rabbit antibody targeting Elastin. Anti-Elastin Polyclonal Antibody can be used in IF,IHC-Fr,IHC-P,WB. |
| Synonyms | Tropoelastin, Eln, Elastin |
| Ig Type | IgG |
| Reactivity | Human,Mouse,Rat (predicted:Dog,Pig,Cow) |
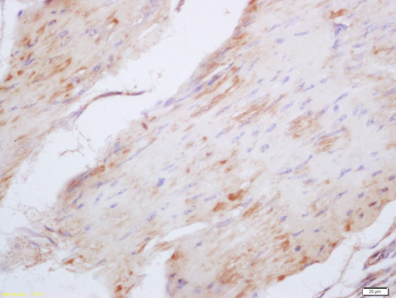
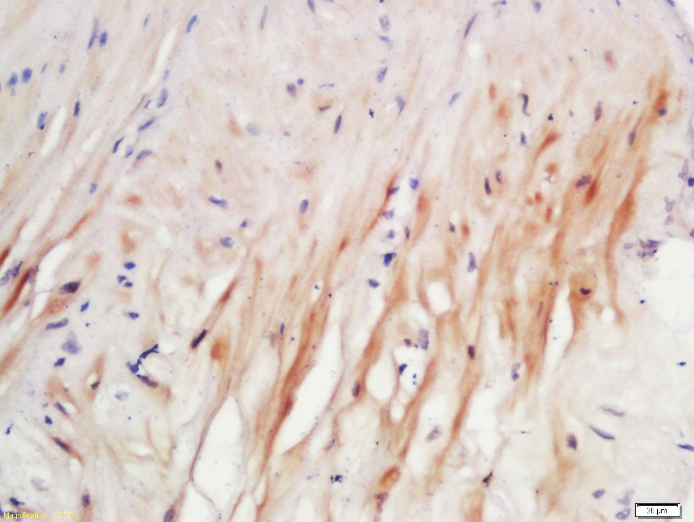
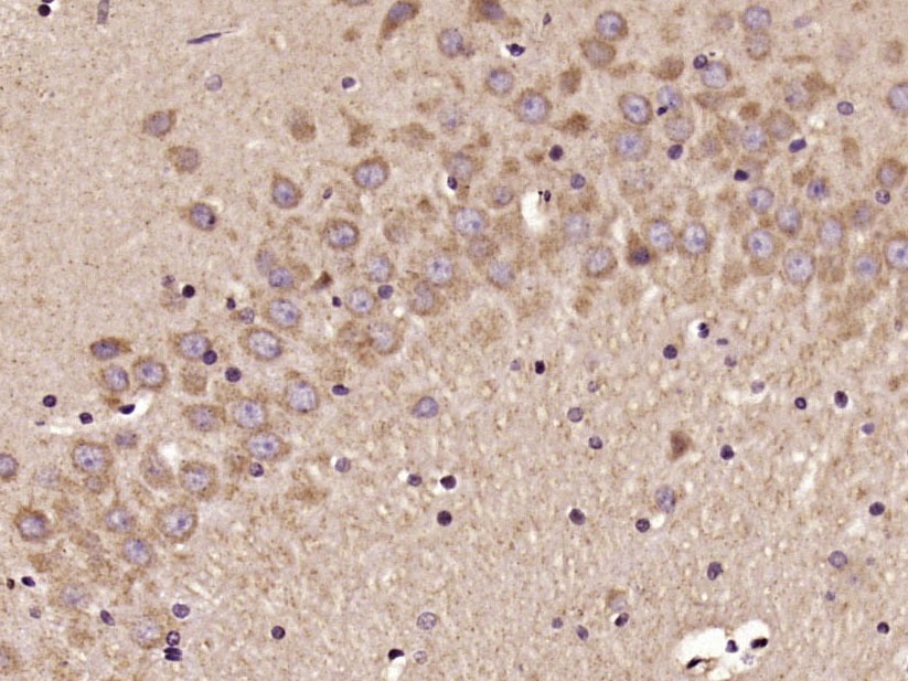
| Verified Activity | 1. Paraformaldehyde-fixed, paraffin embedded (Rat brain); Antigen retrieval by boiling in sodium citrate buffer (pH6.0) for 15 min; Block endogenous peroxidase by 3% hydrogen peroxide for 20 min; Blocking buffer (normal goat serum) at 37°C for 30 min; Antibody incubation with (Elastin) Polyclonal Antibody, Unconjugated (TMAB-00604) at 1:500 overnight at 4°C, followed by a conjugated secondary for 20 min and DAB staining. 2. Tissue/cell: mouse stomach wall; 4% Paraformaldehyde-fixed and paraffin-embedded; Antigen retrieval: citrate buffer (0.01M, pH6.0), Boiling bathing for 15 min; Block endogenous peroxidase by 3% Hydrogen peroxide for 30 min; Blocking buffer (normal goat serum) at 37°C for 20 min; Incubation: Anti-Elastin Polyclonal Antibody, Unconjugated (TMAB-00604) 1:200, overnight at 4°C, followed by conjugation to the secondary antibody and DAb staining. 3. Tissue/cell: human cervical cancer; 4% Paraformaldehyde-fixed and paraffin-embedded; Antigen retrieval: citrate buffer (0.01M, pH6.0), Boiling bathing for 15 min; Block endogenous peroxidase by 3% Hydrogen peroxide for 30 min; Blocking buffer (normal goat serum) at 37°C for 20 min; Incubation: Anti-Elastin Polyclonal Antibody, Unconjugated (TMAB-00604) 1:200, overnight at 4°C, followed by conjugation to the secondary antibody and DAb staining. 4. Sample: Lane 1: Lung (Mouse) Lysate at 40 μg Lane 2: Liver (Mouse) Lysate at 40 μg Lane 3: Uterus (Rat) Lysate at 40 μg Lane 4: Liver (Rat) Lysate at 40 μg Primary: Anti-Elastin (TMAB-00604) at 1/1000 dilution Secondary: IRDye800CW Goat Anti-Rabbit IgG at 1/20000 dilution Predicted band size: 50-80 kDa Observed band size: 75 kDa 5. Sample: Lung (Mouse) Lysate at 40 μg Primary: Anti-Elastin (TMAB-00604) at 1/1000 dilution Secondary: IRDye800CW Goat Anti-Rabbit IgG at 1/20000 dilution Predicted band size: 80 kDa Observed band size: 80 kDa 6. Sample: Uterus (Mouse) Lysate at 40 μg Primary: Anti-Elastin (TMAB-00604) at 1/1000 dilution Secondary: IRDye800CW Goat Anti-Rabbit IgG at 1/20000 dilution Predicted band size: 80 kDa Observed band size: 80 kDa ![]() ![]() ![]() ![]() ![]() ![]() |
| Application | |
| Recommended Dose | WB: 1:500-2000; IHC-P: 1:100-500; IHC-Fr: 1:100-500; IF: 1:100-500 |
| Antibody Type | Polyclonal |
| Host Species | Rabbit |
| Subcellular Localization | Secreted, extracellular space, extracellular matrix. Note=Extracellular matrix of elastic fibers. |
| Tissue Specificity | Expressed within the outer myometrial smooth muscle and throughout the arteriolar tree of uterus (at protein level). Also expressed in the large arteries, lung and skin. |
| Construction | Polyclonal Antibody |
| Purification | Protein A purified |
| Appearance | Liquid |
| Formulation | 0.01M TBS (pH7.4) with 1% BSA, 0.02% Proclin300 and 50% Glycerol. |
| Concentration | 1 mg/mL |
| Research Background | This gene encodes a protein that is one of the two components of elastic fibers. Elastic fibers comprise part of the extracellular matrix and confer elasticity to organs and tissues including the heart, skin, lungs, ligaments, and blood vessels. The encoded protein is rich in hydrophobic amino acids such as glycine and proline, which form mobile hydrophobic regions bounded by crosslinks between lysine residues. Degradation products of the encoded protein, known as elastin-derived peptides or elastokines, bind the elastin receptor complex and other receptors and stimulate migration and proliferation of monocytes and skin fibroblasts. Elastokines can also contribute to cancer progression. Deletions and mutations in this gene are associated with supravalvular aortic stenosis (SVAS) and autosomal dominant cutis laxa. [provided by RefSeq, Aug 2017]. |
| Immunogen | KLH conjugated synthetic peptide: human Elastin |
| Antigen Species | Human |
| Gene Name | ELN |
| Gene ID | |
| Protein Name | Elastin |
| Uniprot ID | |
| Function | Major structural protein of tissues such as aorta and nuchal ligament, which must expand rapidly and recover completely. Molecular determinant of the late arterial morphogenesis, stabilizing arterial structure by regulating proliferation and organization of vascular smooth muscle. |
| Molecular Weight | Theoretical: 68 kDa. Actual: 75-80 kDa. |
| Stability & Storage | Store at -20°C or -80°C for 12 months. Avoid repeated freeze-thaw cycles. |
| Transport | Shipping with blue ice. |
| Size | Quantity | Unit Price | Amount | Operation |
|---|

Copyright © 2015-2026 TargetMol Chemicals Inc. All Rights Reserved.