Shopping Cart
Remove All
Your shopping cart is currently empty
Anti-CD74 Polyclonal Antibody is a Rabbit antibody targeting CD74. Anti-CD74 Polyclonal Antibody can be used in ELISA,IF,IHC-Fr,IHC-P.
| Pack Size | Price | USA Warehouse | Global Warehouse | Quantity |
|---|---|---|---|---|
| 50 μL | $220 | 7-10 days | 7-10 days | |
| 100 μL | $372 | 7-10 days | 7-10 days | |
| 200 μL | $528 | 7-10 days | 7-10 days |
| Description | Anti-CD74 Polyclonal Antibody is a Rabbit antibody targeting CD74. Anti-CD74 Polyclonal Antibody can be used in ELISA,IF,IHC-Fr,IHC-P. |
| Synonyms | Ii, Ia-γ, Ia-GAMMA, HLADG, DHLAG, CLIP, CD74 molecule, major histocompatibility complex, class II invariant chain |
| Ig Type | IgG |
| Reactivity | Mouse |
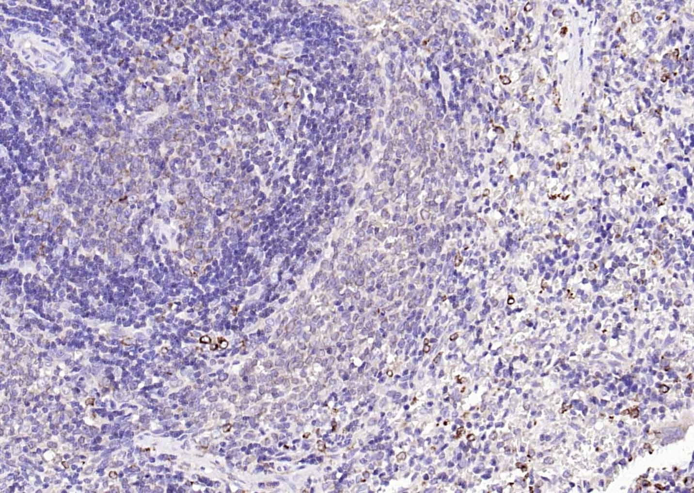
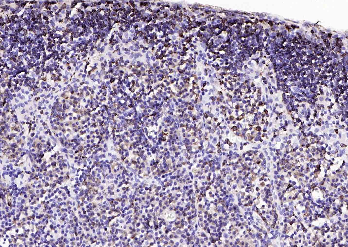
| Verified Activity | 1. Paraformaldehyde-fixed, paraffin embedded Mouse Spleen; Antigen retrieval by boiling in sodium citrate buffer (pH6.0) for 15 min; Antibody incubation with CD74 Polyclonal Antibody, Unconjugated (TMAB-00387) at 1:200 overnight at 4°C, followed by conjugation to the secondary antibody and DAB staining. 2. Paraformaldehyde-fixed, paraffin embedded Mouse Lymph; Antigen retrieval by boiling in sodium citrate buffer (pH6.0) for 15 min; Antibody incubation with CD74 Polyclonal Antibody, Unconjugated (TMAB-00387) at 1:200 overnight at 4°C, followed by conjugation to the secondary antibody and DAB staining. 3. Paraformaldehyde-fixed, paraffin embedded Mouse Thymus; Antigen retrieval by boiling in sodium citrate buffer (pH6.0) for 15 min; Antibody incubation with CD74 Polyclonal Antibody, Unconjugated (TMAB-00387) at 1:200 overnight at 4°C, followed by conjugation to the secondary antibody and DAB staining. ![]() ![]() ![]() |
| Application | |
| Recommended Dose | IHC-P: 1:100-500; IHC-Fr: 1:100-500; IF: 1:100-500; ELISA: 1:5000-10000 |
| Antibody Type | Polyclonal |
| Host Species | Rabbit |
| Subcellular Localization | Cell membrane; Single-pass type II membrane protein (Potential). Endoplasmic reticulum membrane. Golgi apparatus, trans-Golgi network. Endosome. Lysosome. Note=Transits through a number of intracellular compartments in the endocytic pathway. It can either undergo proteolysis or reach the cell membrane. |
| Construction | Polyclonal Antibody |
| Purification | Protein A purified |
| Appearance | Liquid |
| Formulation | 0.01M TBS (pH7.4) with 1% BSA, 0.02% Proclin300 and 50% Glycerol. |
| Concentration | 1 mg/mL |
| Research Background | CD74, also known as the MHC class II associated invariant chain (Ii), is a type II transmembrane protein which binds to the peptide binding groove of newly synthesized MHC class II alpha/beta heterodimers and prevents their premature association with endogenous polypeptides. CD74 is produced in molar excess over MHC class II and some of this is expressed by an unknown pathway on the cell surface independent of, or in association with, MHC class II molecules. The half life of CD74 on the cell surface is only 3 to 4 min after which it is internalized. It has been proposed that cell surface CD74 binds The protein encoded by this gene associates with class II major histocompatibility complex (MHC) and is an important chaperone that regulates antigen presentation for immune response. It also serves as cell surface receptor for the cytokine macrophage migration inhibitory factor (MIF) which, when bound to the encoded protein, initiates survival pathways and cell proliferation. This protein also interacts with amyloid precursor protein (APP) and suppresses the production of amyloid beta (Abeta). Multiple alternatively spliced transcript variants encoding different isoforms have been identified. [provided by RefSeq, Aug 2011] |
| Immunogen | KLH conjugated synthetic peptide: human CD74 |
| Antigen Species | Human |
| Gene Name | CD74 |
| Gene ID | |
| Protein Name | HLA class II histocompatibility antigen gamma chain |
| Uniprot ID | |
| Biology Area | SARS Coronavirus,CD |
| Function | Plays a critical role in MHC class II antigen processing by stabilizing peptide-free class II alpha/beta heterodimers in a complex soon after their synthesis and directing transport of the complex from the endoplasmic reticulum to the endosomal/lysosomal system where the antigen processing and binding of antigenic peptides to MHC class II takes place. Serves as cell surface receptor for the cytokine MIF. |
| Molecular Weight | Theoretical: 34 kDa. Actual: 35 kDa. |
| Stability & Storage | Store at -20°C or -80°C for 12 months. Avoid repeated freeze-thaw cycles. |
| Transport | Shipping with blue ice. |
| Size | Quantity | Unit Price | Amount | Operation |
|---|

Copyright © 2015-2025 TargetMol Chemicals Inc. All Rights Reserved.