Shopping Cart
Remove All
Your shopping cart is currently empty
Anti-5HT2C Receptor Polyclonal Antibody is a Rabbit antibody targeting 5HT2C Receptor. Anti-5HT2C Receptor Polyclonal Antibody can be used in IF,IHC-Fr,IHC-P,WB.
| Pack Size | Price | USA Stock | Global Stock | Quantity |
|---|---|---|---|---|
| 50 μL | $220 | 7-10 days | 7-10 days | |
| 100 μL | $373 | 7-10 days | 7-10 days | |
| 200 μL | $529 | 7-10 days | 7-10 days |
| Description | Anti-5HT2C Receptor Polyclonal Antibody is a Rabbit antibody targeting 5HT2C Receptor. Anti-5HT2C Receptor Polyclonal Antibody can be used in IF,IHC-Fr,IHC-P,WB. |
| Synonyms | Serotonin receptor 2C, Serotonin 5-HT-2C receptor, serotonin 2c receptor, serotonin 1c receptor, HTR2C, Htr1c, 5-hydroxytryptamine(serotonin) receptor 2C, G protein-coupled, 5-hydroxytryptamine receptor 2C, 5-hydroxytryptamine receptor 1C, 5Hydroxytryptamine 2C receptor, 5-HTR2C, 5HTR2C, 5-HT-2C, 5-HT2C, 5HT2C, 5-HT-1C receptor, 5-HT1C, 5 Hydroxytryptamine 2C receptor |
| Ig Type | IgG |
| Reactivity | Human,Mouse (predicted:Rat,Dog,Pig,Cow,Horse) |
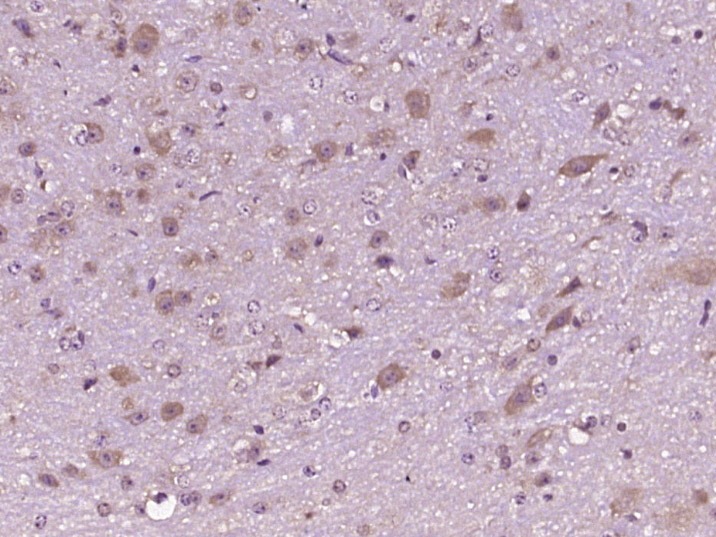
| Verified Activity | 1. Paraformaldehyde-fixed, paraffin embedded (mouse cerebellum tissue); Antigen retrieval by boiling in sodium citrate buffer (pH6.0) for 15 min; Block endogenous peroxidase by 3% hydrogen peroxide for 20 min; Blocking buffer (normal goat serum) at 37°C for 30 min; Antibody incubation with 5HTR2C Polyclonal Antibody, Unconjugated (TMAB-00010) at 1:400 overnight at 4°C, followed by operating according to SP Kit (Rabbit) instructionsand DAB staining. 2. Sample: Lane 1: Human SH-SY5Y cell lysates Lane 2: Human A431 cell lysates Primary: Anti-5HT2C Receptor (TMAB-00010) at 1/1000 dilution Secondary: IRDye800CW Goat Anti-Rabbit IgG at 1/20000 dilution Predicted band size: 52 kDa Observed band size: 59 kDa ![]() ![]() |
| Application | |
| Recommended Dose | WB: 1:500-2000; IHC-P: 1:100-500; IHC-Fr: 1:100-500; IF: 1:100-500 |
| Antibody Type | Polyclonal |
| Host Species | Rabbit |
| Subcellular Localization | Cell membrane; Multi-pass membrane protein. |
| Construction | Polyclonal Antibody |
| Purification | Protein A purified |
| Appearance | Liquid |
| Formulation | 0.01M TBS (pH7.4) with 1% BSA, 0.02% Proclin300 and 50% Glycerol. |
| Concentration | 1 mg/mL |
| Research Background | Serotonin (5-hydroxytryptamine, 5-HT), a neurotransmitter, elicits a wide array of physiological effects by binding to several receptor subtypes, including the 5-HT2 family of seven-transmembrane-spanning, G-protein-coupled receptors, which activate phospholipase C and D signaling pathways. This gene encodes the 2C subtype of serotonin receptor and its mRNA is subject to multiple RNA editing events, where genomically encoded adenosine residues are converted to inosines. RNA editing is predicted to alter amino acids within the second intracellular loop of the 5-HT2C receptor and generate receptor isoforms that differ in their ability to interact with G proteins and the activation of phospholipase C and D signaling cascades, thus modulating serotonergic neurotransmission in the central nervous system. Studies in humans have reported abnormalities in patterns of 5-HT2C editing in depressed suicide victims. [provided by RefSeq, Jul 2008]. |
| Immunogen | KLH conjugated synthetic peptide: human 5HTR2C |
| Antigen Species | Human |
| Gene Name | HTR2C |
| Gene ID | |
| Protein Name | 5-hydroxytryptamine receptor 2C |
| Uniprot ID | |
| Biology Area | Obesity,Metabolism,Serotonin Receptors,GPCR |
| Function | This is one of the several different receptors for 5-hydroxytryptamine (serotonin), a biogenic hormone that functions as a neurotransmitter, a hormone, and a mitogen. This receptor mediates its action by association with G proteins that activate a phosphatidylinositol-calcium second messenger system. |
| Molecular Weight | Theoretical: 52 kDa. Actual: 59 kDa. |
| Stability & Storage | Store at -20°C or -80°C for 12 months. Avoid repeated freeze-thaw cycles. |
| Transport | Shipping with blue ice. |
| Size | Quantity | Unit Price | Amount | Operation |
|---|

Copyright © 2015-2026 TargetMol Chemicals Inc. All Rights Reserved.