Shopping Cart
Remove All
Your shopping cart is currently empty
Anti-XRN2 Antibody (1B629) is a Mouse antibody targeting XRN2. Anti-XRN2 Antibody (1B629) can be used in IHC,WB.
| Pack Size | Price | USA Warehouse | Global Warehouse | Quantity |
|---|---|---|---|---|
| 50 μL | $297 | 7-10 days | 7-10 days | |
| 100 μL | $428 | 7-10 days | 7-10 days |
| Description | Anti-XRN2 Antibody (1B629) is a Mouse antibody targeting XRN2. Anti-XRN2 Antibody (1B629) can be used in IHC,WB. |
| Synonyms | XRN 2, DHP protein, DHM1 like protein, 5' 3' exoribonuclease 2 |
| Clone | 1B629 |
| Reactivity | Human |
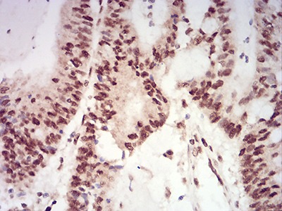
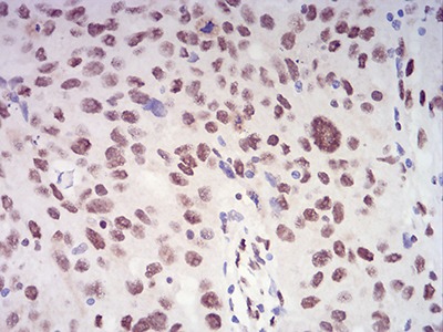
| Verified Activity | 1. Western blot analysis of XRN2 on human XRN2 recombinant protein using anti-XRN2 antibody at 1/1,000 dilution. 2. Western blot analysis of XRN2 on HEK293 (1) and XRN2-hIgGFc transfected HEK293 (2) cell lysate using anti-XRN2 antibody at 1/1,000 dilution. 3. Western blot analysis of XRN2 on different cell lysate using anti-XRN2 antibody at 1/1,000 dilution. Positive control: Lane1: Raw264.7, Lane2: HEK293, Lane3: NTERA-2, Lane4: LNcap, Lane5: HepG2, Lane6: HEK293, Lane7: Hela. 4. Immunohistochemical analysis of paraffin-embedded human colon cancer tissue using anti-XRN2 antibody. Counter stained with hematoxylin. 5. Immunohistochemical analysis of paraffin-embedded human ovarian cancer tissue using anti- XRN2 antibody. Counter stained with hematoxylin. ![]() ![]() ![]() ![]() ![]() |
| Application | |
| Recommended Dose | WB: 1:500-2000; IHC: 1:200-500 |
| Antibody Type | Monoclonal |
| Host Species | Mouse |
| Construction | Hybridoma Monoclonal Antibody |
| Purification | ProA affinity purified |
| Appearance | Liquid |
| Formulation | 1*TBS (pH7.4), 1%BSA, 40%Glycerol. Preservative: 0.05% Sodium Azide. |
| Research Background | Degradation of mRNA is a critical aspect of gene expression that occurs via the exoribonuclease. Exoribonuclease 2 (XRN2) is the human homologue of the Saccharomyces cerevisiae RAT1, which functions as a nuclear 5' to 3' exoribonuclease and is essential for mRNA turnover and cell viability. XRN2 also processes rRNAs and small nucleolar RNAs (snoRNAs) in the nucleus. XRN2 moves along with RNA polymerase II and gains access to the nascent RNA transcript after the endonucleolytic cleavage at the poly(A) site or at a second cotranscriptional cleavage site (CoTC). CoTC is an autocatalytic RNA structure that undergoes rapid self-cleavage and acts as a precursor to termination by presenting a free RNA 5' end to be recognized by XRN2. XRN2 then travels in a 5'-3' direction like a guided torpedo and facilitates the dissociation of the RNA polymerase elongation complex. |
| Conjucates | Unconjugated |
| Immunogen | Recombinant Protein |
| Uniprot ID |
| Molecular Weight | Theoretical: 109 kDa. |
| Stability & Storage | Store at -20°C or -80°C for 12 months. Avoid repeated freeze-thaw cycles. |
| Transport | Shipping with blue ice. |
| Size | Quantity | Unit Price | Amount | Operation |
|---|

Copyright © 2015-2026 TargetMol Chemicals Inc. All Rights Reserved.