Shopping Cart
Remove All
Your shopping cart is currently empty
Synonyms: VR1, VR 1, Vanilloid receptor subtype 1, Vanilloid receptor 1, TRPV1, TRPV 1, Transient receptor potential cation channel subfamily V member 1, OTRPC1, Osm-9-like TRP channel 1, DKFZp434K0220, Capsaicin receptor
| Pack Size | Price | USA Stock | Global Stock | Quantity |
|---|---|---|---|---|
| 50 μL | $220 | 7-10 days | 7-10 days | |
| 100 μL | $373 | 7-10 days | 7-10 days | |
| 200 μL | $528 | 7-10 days | 7-10 days |
| Description | Anti-TRPV1 Polyclonal Antibody is a Rabbit antibody targeting TRPV1. Anti-TRPV1 Polyclonal Antibody can be used in IF,IHC-Fr,IHC-P,WB. |
| Synonyms | VR1, VR 1, Vanilloid receptor subtype 1, Vanilloid receptor 1, TRPV1, TRPV 1, Transient receptor potential cation channel subfamily V member 1, OTRPC1, Osm-9-like TRP channel 1, DKFZp434K0220, Capsaicin receptor |
| Ig Type | IgG |
| Reactivity | Mouse (predicted:Human,Dog,Pig,Cow,Horse,Rabbit,Sheep,Rat) |
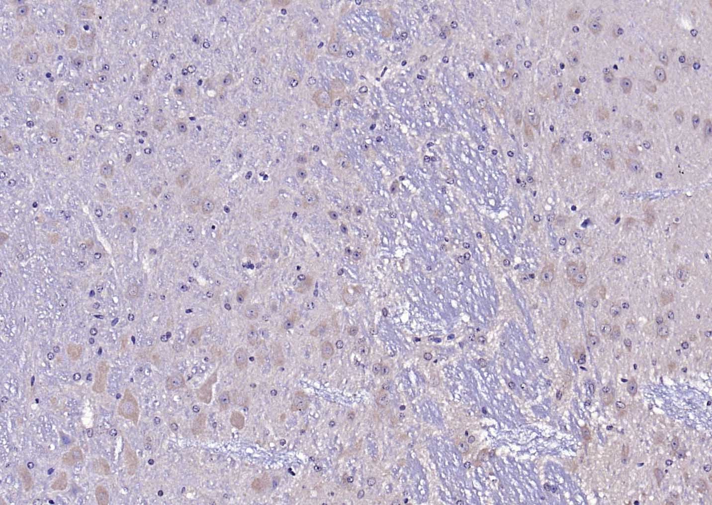
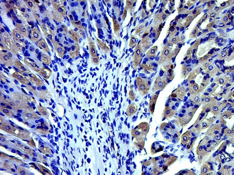
| Verified Activity | 1. Paraformaldehyde-fixed, paraffin embedded (Mouse stomach); Antigen retrieval by boiling in sodium citrate buffer (pH6.0) for 15 min; Block endogenous peroxidase by 3% hydrogen peroxide for 20 min; Blocking buffer (normal goat serum) at 37°C for 30 min; Antibody incubation with (TRPV1) Polyclonal Antibody, Unconjugated (TMAB-01905) at 1:400 overnight at 4°C, followed by operating according to SP Kit (Rabbit) instructionsand DAB staining. 2. Sample: Spinal cord (Mouse) Lysate at 40 μg Primary: Anti-TRPV1 (TMAB-01905) at 1/1000 dilution Secondary: IRDye800CW Goat Anti-Rabbit IgG at 1/20000 dilution Predicted band size: 92 kDa Observed band size: 92 kDa 3. Paraformaldehyde-fixed, paraffin embedded (Mouse brain); Antigen retrieval by boiling in sodium citrate buffer (pH6.0) for 15 min; Block endogenous peroxidase by 3% hydrogen peroxide for 20 min; Blocking buffer (normal goat serum) at 37°C for 30 min; Antibody incubation with (TRPV1) Polyclonal Antibody, Unconjugated (TMAB-01905) at 1:400 overnight at 4°C, followed by operating according to SP Kit (Rabbit) instructionsand DAB staining. 4. Paraformaldehyde-fixed, paraffin embedded (mouse brain); Antigen retrieval by boiling in sodium citrate buffer (pH6.0) for 15 min; Block endogenous peroxidase by 3% hydrogen peroxide for 20 min; Blocking buffer (normal goat serum) at 37°C for 30 min; Antibody incubation with (TRPV1) Polyclonal Antibody, Unconjugated (TMAB-01905) at 1:200 overnight at 4°C, followed by operating according to SP Kit (Rabbit) instructionsand DAB staining. |
| Application | |
| Recommended Dose | WB: 1:500-2000; IHC-P: 1:100-500; IHC-Fr: 1:100-500; IF: 1:100-500 |
| Antibody Type | Polyclonal |
| Host Species | Rabbit |
| Subcellular Localization | Cell junction, synapse, postsynaptic cell membrane; Multi-pass membrane protein (By similarity). Cell projection, dendritic spine membrane; Multi-pass membrane protein. |
| Tissue Specificity | Widely expressed at low levels. Expression is elevated in dorsal root ganglia. In skin, expressed in cutaneous sensory nerve fibers, mast cells, epidermal keratinocytes, dermal blood vessels, the inner root sheet and the infundibulum of hair follicles, di |
| Construction | Polyclonal Antibody |
| Purification | Protein A purified |
| Appearance | Liquid |
| Formulation | 0.01M TBS (pH7.4) with 1% BSA, 0.02% Proclin300 and 50% Glycerol. |
| Concentration | 1 mg/mL |
| Research Background | The detection of noxious stimuli (chemical, mechanical, or thermal) occurs predominantly at the peripheral terminals of primary afferent neurons. This information is ultimately transmitted to the central nervous system to evoke a perception of pain which initiates appropriate protective reflexes. The receptor for capsaicin, VR1 (vanilloid receptor 1; TRPV1 is a nonselective cation channel that resembles members of the transient receptor potential (TRP) family of ion channels. The vanilloid receptor 1 protein functions both as a receptor for capsaicin and a transducter of noxious thermal stimuli. VR1 protein is localized to small-diameter sensory neurons within the dorsal root ganglia and nerve terminals in the dorsal horn. |
| Immunogen | KLH conjugated synthetic peptide: human TRPV1 |
| Antigen Species | Human |
| Gene Name | TRPV1 |
| Gene ID | |
| Protein Name | Transient receptor potential cation channel subfamily V member 1 |
| Uniprot ID | |
| Biology Area | More Ion Channels,Nociception |
| Function | Receptor-activated non-selective calcium permeant cation channel involved in detection of noxious chemical and thermal stimuli. Seems to mediate proton influx and may be involved in intracellular acidosis in nociceptive neurons. May be involved in mediation of inflammatory pain and hyperalgesia. Sensitized by a phosphatidylinositol second messenger system activated by receptor tyrosine kinases, which involves PKC isozymes and PCL. Acts as ionotropic endocannabinoid receptor with central neuromodulatory effects. Triggers a form of long-term depression (TRPV1-LTD) mediated by the endocannabinoid anandamine in the hippocampus and nucleus accubens by affecting AMPA receptors endocytosis. |
| Molecular Weight | Theoretical: 92 kDa. Actual: 92 kDa. |
| Stability & Storage | Store at -20°C or -80°C for 12 months. Avoid repeated freeze-thaw cycles. |
| Transport | Shipping with blue ice. |
| Size | Quantity | Unit Price | Amount | Operation |
|---|

Copyright © 2015-2026 TargetMol Chemicals Inc. All Rights Reserved.