Shopping Cart
Remove All
Your shopping cart is currently empty
Anti-TOP1 Antibody (4H437) is a Rabbit antibody targeting TOP1. Anti-TOP1 Antibody (4H437) can be used in FCM,ICC/IF,IHC,WB.
| Pack Size | Price | USA Warehouse | Global Warehouse | Quantity |
|---|---|---|---|---|
| 50 μL | $297 | 7-10 days | 7-10 days | |
| 100 μL | $497 | 7-10 days | 7-10 days |
| Description | Anti-TOP1 Antibody (4H437) is a Rabbit antibody targeting TOP1. Anti-TOP1 Antibody (4H437) can be used in FCM,ICC/IF,IHC,WB. |
| Ig Type | IgG |
| Clone | 4H437 |
| Reactivity | Human,Mouse |
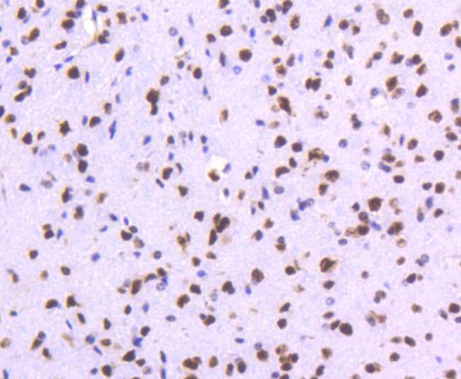
| Verified Activity | 1. Western blot analysis of TOP1 on different lysates using anti-TOP1 antibody at 1/1,000 dilution. Positive control: Lane 1: HepG2, Lane 2: Jurkat, Lane 3: MCF-7. 2. Immunohistochemical analysis of paraffin-embedded mouse brain tissue using anti-TOP1 antibody. Counter stained with hematoxylin. 3. ICC staining TOP1 in Hela cells (green). The nuclear counter stain is DAPI (blue). Cells were fixed in paraformaldehyde, permeabilised with 0.25% Triton X100/PBS. 4. ICC staining TOP1 in SHG-44 cells (green). The nuclear counter stain is DAPI (blue). Cells were fixed in paraformaldehyde, permeabilised with 0.25% Triton X100/PBS. 5. ICC staining TOP1 in 293 cells (green). The nuclear counter stain is DAPI (blue). Cells were fixed in paraformaldehyde, permeabilised with 0.25% Triton X100/PBS. 6. Flow cytometric analysis of HepG2 cells with TOP1 antibody at 1/50 dilution (red) compared with an unlabelled control (cells without incubation with primary antibody; black). Alexa Fluor 488-conjugated goat anti rabbit IgG was used as the secondary antibody. ![]() ![]() ![]() ![]() ![]() ![]() |
| Application | |
| Recommended Dose | WB: 1:1000-5000; IHC: 1:50-200; ICC/IF: 1:50-500; FCM: 1:50-100 |
| Antibody Type | Monoclonal |
| Host Species | Rabbit |
| Construction | Recombinant Antibody |
| Purification | ProA affinity purified |
| Appearance | Liquid |
| Formulation | 1*TBS (pH7.4), 1%BSA, 40%Glycerol. Preservative: 0.05% Sodium Azide. |
| Research Background | DNA topoisomerases play essential roles in many DNA metabolic processes including DNA repair. Topoisomerases can introduce DNA damage upon exposure to drugs that stabilize the covalent protein-DNA intermediate of the topoisomerase reaction. Lesions in DNA are also able to trap topoisomerase-DNA intermediates. DNA topoisomerase I (Top1) catalyzes the relaxation of supercoiled DNA by a mechanism of transient DNA strand cleavage characterized by the formation of a phosphotyrosyl bond between the DNA end and active site tyrosine. The antitumor agent camptothecin (CPT) reversibly stabilizes the covalent enzyme-DNA intermediate by inhibiting DNA religation. When a replication fork collides with a DNA Top1 cleavage complex, the covalently bound enzyme must be removed from the DNA 3' end before recombination-dependent replication restart. The tyrosyl-DNA phosphodiesterase Tdp1 and the structure-specific endonuclease Rad1-Rad10 function as primary alternative pathways of Top1 repair in Saccharomyces cerevisiae. In the budding yeast S. cerevisiae, DNA topoisomerases I and II can functionally substitute for each other in removing positive and negative DNA supercoils. |
| Conjucates | Unconjugated |
| Immunogen | Recombinant Protein |
| Uniprot ID |
| Molecular Weight | Theoretical: 91 kDa. |
| Stability & Storage | Store at -20°C or -80°C for 12 months. Avoid repeated freeze-thaw cycles. |
| Transport | Shipping with blue ice. |
| Size | Quantity | Unit Price | Amount | Operation |
|---|

Copyright © 2015-2026 TargetMol Chemicals Inc. All Rights Reserved.