Shopping Cart
Remove All
Your shopping cart is currently empty
Anti-TLR8 Polyclonal Antibody is a Rabbit antibody targeting TLR8. Anti-TLR8 Polyclonal Antibody can be used in IF,IHC-Fr,IHC-P,WB.
| Pack Size | Price | USA Stock | Global Stock | Quantity |
|---|---|---|---|---|
| 50 μL | $221 | 7-10 days | 7-10 days | |
| 100 μL | $373 | 7-10 days | 7-10 days | |
| 200 μL | $528 | 7-10 days | 7-10 days |
| Description | Anti-TLR8 Polyclonal Antibody is a Rabbit antibody targeting TLR8. Anti-TLR8 Polyclonal Antibody can be used in IF,IHC-Fr,IHC-P,WB. |
| Synonyms | Toll-like receptor 8, TLR8, CD288 |
| Ig Type | IgG |
| Reactivity | Human,Mouse,Rat (predicted:Dog,Pig,Horse) |
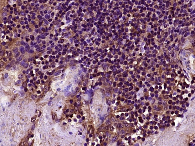
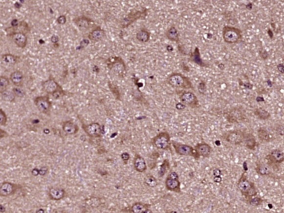
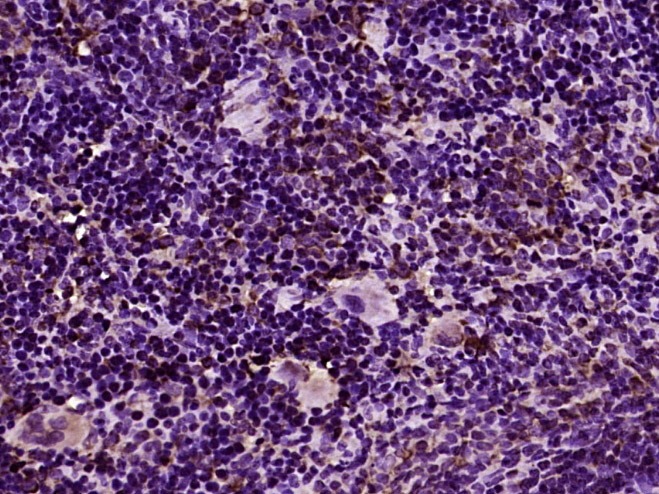
| Verified Activity | 1. Paraformaldehyde-fixed, paraffin embedded (mouse brain tissue); Antigen retrieval by boiling in sodium citrate buffer (pH6.0) for 15 min; Block endogenous peroxidase by 3% hydrogen peroxide for 20 min; Blocking buffer (normal goat serum) at 37°C for 30 min; Antibody incubation with (TLR8) Polyclonal Antibody, Unconjugated (TMAB-01860) at 1:400 overnight at 4°C, followed by operating according to SP Kit (Rabbit) instructionsand DAB staining. 2. Paraformaldehyde-fixed, paraffin embedded (rat spleen tissue); Antigen retrieval by boiling in sodium citrate buffer (pH6.0) for 15 min; Block endogenous peroxidase by 3% hydrogen peroxide for 20 min; Blocking buffer (normal goat serum) at 37°C for 30 min; Antibody incubation with (TLR8) Polyclonal Antibody, Unconjugated (TMAB-01860) at 1:400 overnight at 4°C, followed by operating according to SP Kit (Rabbit) instructionsand DAB staining. 3. Paraformaldehyde-fixed, paraffin embedded (human tonsil tissue); Antigen retrieval by boiling in sodium citrate buffer (pH6.0) for 15 min; Block endogenous peroxidase by 3% hydrogen peroxide for 20 min; Blocking buffer (normal goat serum) at 37°C for 30 min; Antibody incubation with (TLR8) Polyclonal Antibody, Unconjugated (TMAB-01860) at 1:400 overnight at 4°C, followed by operating according to SP Kit (Rabbit) instructionsand DAB staining. 4. Sample: Lane 1: Mouse Raw264.7 cell lysates Lane 2: Human MDA-MB-231 cell lysates Primary: Anti-TLR8 (TMAB-01860) at 1/1000 dilution Secondary: IRDye800CW Goat Anti-Rabbit IgG at 1/20000 dilution Predicted band size: 117 kDa Observed band size: 135 kDa ![]() ![]() ![]() ![]() |
| Application | |
| Recommended Dose | WB: 1:500-2000; IHC-P: 1:100-500; IHC-Fr: 1:100-500; IF: 1:100-500 |
| Antibody Type | Polyclonal |
| Host Species | Rabbit |
| Subcellular Localization | Membrane. |
| Tissue Specificity | Detected in brain, heart, lung, liver, placenta, in monocytes, and at lower levels in CD11c+ immature dendritic cells. |
| Construction | Polyclonal Antibody |
| Purification | Protein A purified |
| Appearance | Liquid |
| Formulation | 0.01M TBS (pH7.4) with 1% BSA, 0.02% Proclin300 and 50% Glycerol. |
| Concentration | 1 mg/mL |
| Research Background | The Toll-like Receptors (TLR) are a family of human receptors that share homology with the Drosophila Toll Receptors, which are involved in mediating dorsoventral polarization in developing Drosophila embryos and participate in host immunity. The TLR family members are characterized by a highly conserved Toll homology (TH) domain, which is essential for Toll-induced signal transductions. TLRs are type I transmembrane receptors that contain an extracellular domain consisting of several leucine-rich regions and a single cytoplasmic Toll/IL-1R like domain. Three TLR family members, TLR7, TLR8 and TLR9, belong to a subfamily of TLRs which are differentially expressed. TLR7 is expressed in lung, placenta and spleen. TLR8 is expressed in lung and peripheral blood leukocytes, and TLR9 is predominantly expressed in spleen, lymph nodes, bone marrow and peripheral blood leukocytes. TLR7, TLR8 and TLR9 stimulate the NFkB signaling pathway, suggesting that they play a role in the immune response. |
| Immunogen | KLH conjugated synthetic peptide: human TLR 8 |
| Antigen Species | Human |
| Gene Name | TLR8 |
| Gene ID | |
| Protein Name | Toll-like receptor 8 |
| Uniprot ID | |
| Biology Area | Receptors,Macrophage / Inflamm.,TLR Signaling,Defensin |
| Function | Key component of innate and adaptive immunity. TLRs (Toll-like receptors) control host immune response against pathogens through recognition of molecular patterns specific of microorganisms. Acts via MYD88 and TRAF6, leading to NF-kappa-B activation, cytokine secretion and the inflammatory response. |
| Molecular Weight | Theoretical: 117 kDa. Actual: 135 kDa. |
| Stability & Storage | Store at -20°C or -80°C for 12 months. Avoid repeated freeze-thaw cycles. |
| Transport | Shipping with blue ice. |
| Size | Quantity | Unit Price | Amount | Operation |
|---|

Copyright © 2015-2026 TargetMol Chemicals Inc. All Rights Reserved.